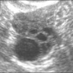
Поликистоз (УЗ-признаки)
Как известно, регуляция менструального цикла осуществляется сложным взаимодействием гормонов гипоталамуса, гипофиза, яичников, щитовидной железы. При нарушении баланса хотя бы одного вида гормонов нарушается работа яичников и менструальный цикл.
Поликистоз яичников (ПЯ) — одно из гормональных заболеваний, приводящее к тому, что в организме не происходит овуляция (выход яйцеклетки из яичника) и развивается бесплодие. Поликистоз яичников характеризуется нарушением менструального цикла, избыточным оволосением и ожирением (вследствие гормонального дисбаланса) и образованием множественных кист на яичниках, увеличения их размеров, уплотнением оболочки. Первым признаком поликистоза яичников в подростковом возрасте может быть аменорея (отсутствие месячных), нерегулярные или обильные месячные, однако, в полной мере поликистоз проявляется в более зрелом возрасте, когда женщина
не может забеременеть или выносить ребенка.
Поликистоз яичников код по мкб 10
Поликистоз яичников (склерокистозная болезнь яичников, синдром поликистоза яичников) характеризуется состоянием хронической олигоовуляции и/или ановуляции, что проявляется олигоменореей и/или аменореей, гипертрихозом, бесплодием и ожирением. Статистические данные. Синдром обнаруживают у 3–7% женщин репродуктивного возраста. Этиология. Центральная патология, обусловленная повышением секреции люлиберина, ЛГ и уровня андрогенов. Генетические аспекты • Недостаточность 17--гидроксистероид дегидрогеназы (КФ 1.1.1.62, тестикулярная форма — КФ 1.1.1.63 и КФ 1.1.1.64) — семейная форма поликистозной болезни яичника (также нарушения половой дифференцировки в виде мужского псевдогермафродитизма с гинекомастией [*264300, ]). Идентификация генных дефектов и конкретной клинической формы затруднена. Патогенез. Основное звено — увеличение содержания в крови андрогенов. • Предполагают, что основное нарушение локализовано в гипоталамо-гипофизарной системе (постоянная, а не циклическая гиперпродукция ЛГ) или же происходит избыточная секреция андрогенов в яичниках. Обнаружены отклонения синтеза андрогенов в надпочечниках, что может быть пусковым моментом; есть сообщения об исчезновении синдрома поликистоза яичников после удаления андрогенсекретирующей аденомы надпочечников •• Повышенное содержание андростендиона (превращается в жировой и других тканях в эстрон) и других андрогенов препятствуют созреванию фолликулов, вследствие чего возникает ановуляция •• Повышенный уровень циркулирующего эстрона приводит к секреции гипофизом избытка ЛГ и снижает образование ФСГ ••• Повышенный уровень ЛГ вызывает гиперплазию тека- и стромальных клеток яичников, а также дополнительно повышенную продукцию андрогенов ••• Пониженный уровень дополнительно ФСГ препятствует созреванию фолликулов. • Ожирение увеличивает и без того повышенные уровни половых стероидов как за счёт уменьшения содержания связывающего половые гормоны глобулина, что повышает уровень свободного тестостерона, так и за счёт увеличения превращения андростендиона в эстрон. • Прекращение развития фолликулов приводит к увеличению яичников, утолщению капсулы, появлению множественных мелких фолликулярных кист. Патоморфология. Яичники имеют характерный внешний вид — гладкая утолщённая капсула перламутрового цвета с множественными мелкими кистами (образованы атретическими фолликулами), хорошо видимыми на разрезе. Белочная оболочка яичника утолщена. Клиническая картина. Выделяют • первичный поликистоз яичников — болезнь поликистозных яичников • вторичный поликистоз яичников — синдром поликистозных яичников. • Первичный поликистоз яичников •• Бесплодие и нарушения менструального цикла (аменорея или олигоменорея) в результате хронической ановуляции •• Редко кровотечения вследствие длительной и нециклической эстрогенной стимуляции эндометрия •• Гиперпластические процессы в эндометрии (25% пациенток), увеличение риска развития карциномы эндометрия •• Двустороннее увеличение яичников в 2–6 раз по сравнению с нормой. • Вторичный поликистоз яичников •• Повышенная жирность кожи, акне и гирсутизм вследствие избытка андрогенов •• Признаки истинной вирилизации (огрубение голоса, увеличение клитора) •• Менструальный цикл нарушен по типу олигоменореи, часто возникают ановуляции и недостаточность лютеиновой фазы цикла •• Беременность наступает редко, часто заканчивается выкидышем на ранних сроках. • Ожирение наблюдают у 40% пациенток независимо от вида поликистоза. Лабораторные исследования • Увеличенное соотношение ЛГ/ФСГ (в 2 и более раз). Содержание ЛГ обычно увеличено, ФСГ — на нижней границе нормы • Содержание тестостерона и андростендиона в крови чаще повышено. Реже наблюдают повышенное содержание андрогенов, преимущественно надпочечникового генеза (дегидроэпиандростерон и сульфат дегидроэпиандростерона) • Концентрация эстрона в крови обычно высокая, эстрадиола — в пределах нормы. Специальные исследования — УЗИ органов таза позволяет выявить увеличенные яичники с многочисленными мелкими кистами фолликулов.
ЛЕЧЕНИЕ Цели • Уменьшение выраженности симптомов гиперандрогенемии • Восстановление овуляции и фертильности. Уменьшение выраженности проявлений гиперандрогенемии • Пероральные контрацептивы с антиандрогенными свойствами (этинилэстрадиол+ципротерон, этинилэстрадиол+диеногест) • Препараты ГК, например дексаметазон 0,5 мг на ночь (т.к. пик выброса АКТГ приходится на раннее утро) • Спиронолактон по 100 мг 1–2 р/сут — уменьшает синтез андрогенов в яичниках и надпочечниках и ингибирует связывание андрогенов с рецепторами в волосяных фолликулах и других мишенях • Эффекты гормональной терапии в отношении нежелательного роста волос на лице и теле редко развиваются быстро — улучшение наблюдают не ранее чем через 3–6 мес. Часто необходимо искусственное удаление волос: выбривание, электролиз, химическая эпиляция. Восстановление овуляции и фертильности • Кломифен по 50 мг 1–2 р/сут с 5 по 9 день от начала менструального цикла, индуцированного прогестероном, блокируя связывание эстрогена с рецепторами в клетках-мишенях (гипоталамус и гипофиз), стимулирует образование ЛГ и ФСГ и созревание фолликулов и овуляцию • Менотропины 75–150 ЕД/сут в/м ежедневно до повышения содержания эстрогенов в крови и подтверждения с помощью УЗИ созревания фолликулов в яичниках. Через 24–48 ч после окончания инъекций препарата далее для стимуляции овуляции вводят ХГТ по 1500–3000 ЕД/сут в/м в течение 3 дней. Из-за риска гиперстимуляции яичников и возникновения многоплодной беременности подобную терапию проводят лишь при неэффективности других подходов • При хронической ановуляции и аномальном менструальном кровотечении — прогестин (например, медроксипрогестерон 10 мг в течение 10 дней каждые 1–3 мес) или циклическая терапия эстрогеном-прогестином (прерывают персистирующую пролиферацию эндометрия).
МКБ-10 • E28.2 Синдром поликистоза яичников
Примечание. Синдром Стайна–Левенталя (#184700, синдром поликистоза яичников с гиперандрогенемией, полиморфизм локуса CYP11A [118485, 15q23–q24], ; гетерогенное). Множественные кисты яичников, гиперплазия стромы и клеток теки в атретических фолликулах; увеличенная активность 5-редуктазы печени; обычно проявляется гирсутизмом, ожирением, нарушением менструаций, бесплодием и увеличением яичников.
Лечение
Физические упражнения и низкокалорийная диета с целью нормализации массы тела.
КОКи / гестагены во 2-ю фазу менструального цикла с 16 по 25день, аналогичные натуральному прогестерону (I-A): дидрогестерон по 10 мг 2 раза в день /натуральный микронизированный прогестерон по 100 мг 3 раза в день вагинально /per os в течение 3-х менструальных циклов[8,11].
Препараты (действующие вещества), применяющиеся при лечении
| Главные “маркеры” | ||
| Идиопатический гирсутизм | родственники-мужчины с ранним началом облысения (андрогенной алопеции) и/или с семейным типом избыточного оволосения по мужской линии | |
| Неклассический вариант ВДКН | дискриминационный порог 17-оксипрогестерон выше 2–3 мкг/л (6,9–10,4 нМоль/л) | |
| Гиперпролактинемический гипогонадизм | Повышение ПРЛ | |
| Первичный гипотиреоз | Повышение ТТГ | |
| Вирилизирующие опухоли | Клиника быстрого прогрессирования симптомов гиперандрогении: вирилизация наружных половых органов и гортани (клиторомегалия, ларингомегалия, барифония) и объемные образования надпочечников/яичника, повышение тестостерона со значительным превышением (15,58 ± 0,92 нмоль/л при норме 1,47 ± 0,41), дексаметазоновая проба. | |
| Тотальный гиперкортицизм | «Кушингоидизация» внешности с перераспределением жира по верхнему типу + стероидные стрии, , геморрагии, остеопороз, резкое повышение АД, повышение кортизола. | |
| Синдром HAIRAN | Негроидный акантоз, ГА, инсулин натощак более 60 мЕ/мл или на фоне толерантности к глюкозе с исследованием инсулина более 300 мЕ/мл. | |
| ВГКН | СПКЯ | |
| Морфотип | Интерсексуальный | Женский |
| Гирсутизм | II–III степени | Скудный — I степени |
| Менструальный цикл | Неустойчивый, реже «нестойкая» олигоменорея | Олиго/аменорея с менархе |
| Генеративная функция | Бесплодие I — 90% | |
| ТФД | НЛФ, периодически ановуляция | Ановуляция |
| ЛГ/ФСГ | >2,5 — 70% | |
| ДГЭАС | у 100% | у 30-35% |
| УЗИ | Норма или мультифолликулярные яичники | Чаще множество фолликул, располагаются по периферии, с утолщенной капсулой яичника |
| НОЭС | СПКЯ | |
| Морфотип | «Кушингоидный» | «Кушингоидный» у 80% |
| Гирсутизм | Вторично на фоне прибавки массы тела | С менархе |
| Нарушение менструальной функции | Вторично на фоне прибавки массы тела | С менархе |
| Генеративная функция | Бесплодие II — 80% | Бесплодие I — 90% |
| Бромокриптин (Bromocriptine) |
| Бусерелин (Buserelin) |
| Дексаметазон (Dexamethasone) |
| Дидрогестерон (Didrogesteron) |
| Диеногест (Dienogest) |
| Кломифен (Clomiphene) |
| Лейпрорелин (Leuprorelin) |
| Лейпрорелин (Leuprorelin) |
| Метформин (Metformin) |
| Прогестерон (Progesterone) |
| Спиронолактон (Spironolactone) |
| Трипторелин (Triptorelin) |
| Ципротерон (Cyproterone) |
| Ципротерон (Cyproterone) |
| Этинилэстрадиол (Ethinylestradiol) |
Поликистоз яичников
Поликистоз яичников – это довольно распространенное гормональное заболевание у женщин, приводящее к бесплодию. Данное нарушение характеризуется отсутствием или нерегулярностью овуляции на конкретной фазе цикла. Это обусловлено увеличением яичников и содержанием в них большого количества маленьких неразвивающихся фолликул, заполненных жидкостью, которые называют кистами. Гормональный дисбаланс, который провоцируется данным заболеванием, приводит к различным внешним и внутренним нарушениям женского организма.
Номенклатура
Другие названия для этого синдрома следующие:
- болезнь поликистозных яичников (некорректно, поскольку это состояние характеризуется не как болезнь, отдельная нозологическая форма, а как клинический синдром, причины которого могут быть различны);
- функциональная яичниковая гиперандрогения (или функциональный яичниковый гиперандрогенизм);
- гиперандрогенная хроническая ановуляция;
- яичниковый дисметаболический синдром;
- синдром поликистоза яичников;
- поликистоз яичников.
Причины поликистоза яичников
Точные причины поликистоза яичников до сих пор остаются неизвестными, однако ясно, что при данном заболевании в женском организме происходит выработка лишнего количества андрогенов (мужских гормонов). Это объясняется высоким уровнем инсулина в крови, на который организм реагирует избыточной продукцией андрогенов. Данный факт приводит к нарушению баланса женских и мужских гормонов, чем и обусловлена редкая овуляция или ее отсутствие вообще. Среди самых распространенных причин поликистоза яичников можно назвать следующие:
- Наследственность;
- Нервные стрессы и эмоциональные перенапряжения;
- Простудные заболевания (в частности, ангина);
- Смена климата.
Чаще всего причинами поликистоза яичников выступают нарушения функций следующих органов:
- Яичников;
- Щитовидной железы;
- Гипоталамуса;
- Гипофиза;
- Надпочечников.
Своевременное выявление причины поликистоза яичников и ее лечение помогает избежать различных осложнений, которые характерны для данного заболевания. Следует отметить, что в их число входят некоторые сердечно-сосудистые болезни, а также сахарный диабет.
Диагностика
УЗИ позволяет обнаружить поликистоз яичников. Яичники увеличены в размерах, содержат множественные кисты, нет ДФ, капсула яичников уплотнена (гипертекоз). Однако, не всем женщинам с кистами яичников ставят диагноз «поликистоз яичников» и наоборот — при ПЯ кисты могут выглядеть нормальными. Поэтому ПЯ диагностируют не только на основе результатов УЗИ, но и при наличии других симптомов — нарушения менструального цикла и гормонального дисбаланса.
При исследовании крови на гормоны обнаруживается избыток андрогенов, пролактина, дисбаланс ФСГЛГ и другие нарушения. Могут быть понижены гормоны Т3 и Т4 (щитовидной железы).
Внешние признаки женщины: акне, усиленный волосяной покров, сальность кожи и волос, ожирение косвенно указывают на поликистоз.
Нарушение менструального цикла: длительные задержки, отсутствие месячных.
Симптомы поликистоза яичников
Клинически поликистоз яичников проявляется по-разному в зависимости от причины возникновения. Однако существуют конкретные признаки данного заболевания, по которым можно судить о его наличии у женщины:
- Отсутствие или нерегулярная менструация (иногда задержки до 35 дней);
- Усиленный рост волос чаще всего на лице, в районе груди и живота, реже – на спине, в области паха, на руках и ногах;
- Маточные кровотечения;
- Прыщи и угревая сыпь;
- Тонкие волосы или облысение;
- Ожирение в области бедер и талии и общее увеличение массы тела;
- Повышенное артериальное давление;
- Увеличение яичников и образование в них кист;
- Невынашивание беременности или бесплодие.
В отдельных случаях симптомом поликистоза яичников может выступать также потемнение кожи на затылке, в подмышечных впадинах, на внутренней стороне бедер, в паховой области, под молочными железами. Такое явление в медицине называют акантокератодермией.
Кроме того, некоторые симптомы поликистоза яичников схожи с такими признаками сахарного диабета, как повышенное мочеотделение, увеличение массы тела, хронические кожные инфекции и кандидоз или вагинальная молочница.
Вместе с этим можно утверждать, что самыми верными симптомами поликистоза яичников являются нарушения менструального цикла или отсутствие менструации вообще, а также увеличение яичников, которое чаще всего выявляется с помощью УЗ-обследования.
Обычно данное заболевание развивается в период полового созревания или конкретно с началом менструации. Промежуток между менструациями, который составляет более 35 дней, или количество менструаций менее 8 раз в год уже говорят о наличии серьезных нарушений в женском организме. Если наблюдаются подобные отклонения, вероятность развития поликистоза яичников возрастает.
Диета при склерокистозе яичников
Правильно питание – это первый этап терапии. Цель диеты – добиться снижения массы тела и повысить чувствительность клеток к инсулину.
- Частое дробное питание: 6 раз в день небольшими порциями.
- Отказ от острой, пряной, жареной пищи. Под запрет попадают также маринады, копчености, соленья.
- Приоритет отдается блюдам, приготовленным на пару или запеченным в духовом шкафу.
- Суточная калорийность пищи – не более 2000 ккал.
- Общий объем жидкости – не менее 2 литров.
Лечение поликистоза яичников
На сегодняшний день лечение поликистоза яичников осуществляется двумя способами: консервативный и оперативный. Первый способ предполагает применение различных гормональных препаратов, стимулирующих рост и развитие одного или нескольких зрелых фолликулов в яичниках, тем самым вызывая овуляцию. Эффективность консервативного метода составляет около 50%.
Второй способ лечения поликистоза яичников практикуется еще с начала века и представляет собой хирургическое вмешательство на яичники, которое позволяет добиться овуляции (эффективность составляет около 90%) и восстановления детородной функции (происходит в 70% случаев).
Консервативный способ направлен на устранение у женщины клинических проявлений заболевания. В отдельных случаях при лечении поликистоза яичников назначается применение оральных контрацептивов в течение 2-3 месяцев, которые обладают антиандрогенными свойствами. В этот период работа яичников приводится в норму, а овуляция восстанавливается. Таким образом, вопрос, можно ли забеременеть при поликистозе яичников, может иметь положительный ответ. Такой способ используется и для женщин, которые не планируют беременность, поскольку он устраняет гормональные нарушения в целом.
Если же данный метод оказывается неэффективным, тогда проводится общепринятая методика, направленная на стимуляцию овуляции. Данный курс длится от 4 месяцев до полугода. Он предполагает применение конкретных гормонов в первую фазу цикла, затем стимулятор овуляции при развитии фолликула, а потом различные препараты, призванные поддерживать его функции. При лечении поликистоза яичников нередко используются лекарственные средства для снижения веса. В некоторых случаях именно снижение массы тела помогает восстановить овуляцию.
Оперативный метод лечения заболевания основан на разрушении или удалении части яичника, которая синтезирует андрогены. Следует сказать, что эффект у данного способа довольно кратковременный, поскольку яичник быстро восстанавливается. Поэтому, если была проведена подобная операция, при поликистозе яичников можно забеременеть в течение 4-5 месяцев, пока восстановления не произошло.
Данный метод осуществляется с помощью клиновидной резекции или лапароскопической электрокоагуляции яичников. В первом случае удаляется небольшая часть яичников с обеих сторон, овуляция восстанавливается в 85% случаев. Второй метод считается более щадящим, так как при нем на яичниках просто делаются насечки в нескольких местах. Это значительно снижает риск возникновения спаек в малом тазу.
Примечания
- Azziz R (March 2006). «Diagnosis of Polycystic Ovarian Syndrome: The Rotterdam Criteria Are Premature». Journal of Clinical Endocrinology & Metabolism91 (3): 781–5. DOI:10.1210/jc.2005-2153. PMID 16418211.
- Carmina E (February 2004). «Diagnosis of polycystic ovary syndrome: from NIH criteria to ESHRE-ASRM guidelines.». Minerva ginecologica56 (1): 1–6. PMID 14973405.
- Hart R, Hickey M, Franks S (October 2004). «Definitions, prevalence and symptoms of polycystic ovaries and polycystic ovary syndrome». Best Practice & Research Clinical Obstetrics & Gynaecology18 (5): 671–83. DOI:10.1016/j.bpobgyn.2004.05.001. PMID 15380140.
- Christine Cortet-Rudelli, Didier Dewailly. Diagnosis of Hyperandrogenism in Female Adolescents. Hyperandrogenism in Adolescent Girls . Armenian Health Network, Health.am (Sep 21 2006). Проверено 21 ноября 2006. Архивировано 27 января 2012 года.
- Nafiye Y, Sevtap K, Muammer D, Emre O, Senol K, Leyla M (April 2010). «The effect of serum and intrafollicular insulin resistance parameters and homocysteine levels of nonobese, nonhyperandrogenemic polycystic ovary syndrome patients on in vitro fertilization outcome». Fertil. Steril.93 (6): 1864–9. DOI:10.1016/j.fertnstert.2008.12.024. PMID 19171332.
- Fruzzetti F, Bersi C, Parrini D, Ricci C, Genazzani AR (May 2002). «Effect of long-term naltrexone treatment on endocrine profile, clinical features, and insulin sensitivity in obese women with polycystic ovary syndrome». Fertil. Steril.77 (5): 936–44. PMID 12009347.
- Fulghesu AM, Ciampelli M, Guido M, et al. (February 1998). «Role of opioid tone in the pathophysiology of hyperinsulinemia and insulin resistance in polycystic ovarian disease». Metab. Clin. Exp.47 (2): 158–62. PMID 9472963.
- Gogokhiia NA, Natmeladze KM, Mikaberidze KhL (2005). «» (Russian). Georgian Med News (124-125): 65–7. PMID 16148382.
- Hernández I, Parra A, Méndez I, et al. (2000). «Hypothalamic dopaminergic tone and prolactin bioactivity in women with polycystic ovary syndrome». Arch. Med. Res.31 (2): 216–22. PMID 10880731.
- Zironi C, Pantaleoni M, Zizzo G, Coletta F, Velardo A (October 1991). «» (Italian). Minerva Ginecol43 (10): 443–7. PMID 1685015.
- Unfer V, Carlomagno G, Dante G, Facchinetti F. Effects of myo-inositol in women with PCOS: a systematic review of randomized controlled trials. Gynecol Endocrinol. 2012;28(7):509-15.
Как определить вид — характерные особенности
В медицине существуют различные классификации образований по разным признакам. Бывают одно- и двухсторонние кисты, то есть поражающие один или два яичника (левый и правый).
В зависимости от содержимого внутри опухоли, различают следующие виды кист:
Функциональная (фолликулярная). Образуется внутри фолликула после выхода яйцеклетки. Является гормонозависимой, то есть исчезает при изменении гормонального фона, например, в конце цикла.Параовариальная. Образуется в ткани придатка (между яичником и маточной трубой). Причиной является врожденная аномалия. При воздействии тепла (баня, сауна) секрет накапливается в опухоли, увеличивая ее размеры. При этом такая киста не оказывает отрицательного влияния на женское здоровье, не провоцирует бесплодие и не перерождается в рак.
Киста желтого тела.
Желтое тело образуется на месте лопнувшего фолликула и продолжает продуцировать гормоны, необходимые для зачатия и сохранения беременности. Если яйцеклетка не оплодотворилась, то желтое тело должно рассосаться. Иногда этого не происходит из-за физиологического гормонального сбоя и образуется киста.
Это врожденная патология, при которой во время внутриутробного развития клетки из одного пласта переходят в другой пласт и продолжают свой рост. В результате формируется киста, заполненная частицами волос, хрящей, кожи. Как правило, дермоидная киста имеет небольшие размеры, медленно растет в течение жизни. Имеет высокий риск перерождения в раковую опухоль.
Появляется из клеток эндометрия, которые попадают в трубы. Диагностируется у женщин, страдающих эндометриозом. Эта киста является гормонопродуцирующей, влияющей на способность к зачатию. Имеет способность к злокачественному перерождению.
Все об эндометриоидной кисте узнайте здесь.
Образуется внутри тела яичника, увеличивая его размер. Склонна к разрывам и нагноениям.
Состоит из плотной соединительной ткани, образуется в протоке органа. Не является гормонально активной, часто протекает бессимптомно.
Это предшественница кистозного образования. Образуется в результате внедрения поверхностного эпителия яичника в ткань органа.
Наиболее редкий вид образования. Чаще бывают двусторонними. На появление кисты оказывает влияние ХГЧ (хорионический гонадотропин). Обычно текалютеиновые кисты появляются при многоплодной беременности или после уколов ХГЧ во время лечения бесплодия.
Представляет собой образование с перегородками внутри. Наиболее опасный вид кист, та как имеет тенденцию к перерождению. Характеризуется выраженной симптоматикой, частыми случаями нагноения и разрывов.
Профилактика
- нормализация рациона. Питание должно содержать достаточное количество витаминов, минералов и питательных веществ;
- обеспечение нормального сна и отдыха;
- нормирование физических нагрузок. Их повышенное количество негативно сказывается на выработке ключевых гормонов;
- избегание стрессовых ситуаций;
- контроль за весом, избавление от лишних килограммов, они отрицательно сказываются на женском здоровье.
Вопрос о лечении дисфункции яичников или игнорировании симптомов не должен возникать у женщины. Лучше не принимать лекарства, а предотвращать появление проблем такого характера.
Полезное видео по теме:
Диагностика заболевания: как отличить кисту от кисты?
Для того, чтобы определить, к какому типу образования относится та или иная киста, необходимо провести инструментальное диагностическое исследование:
КТ, МРТ. С помощью магнитно-резонансной или компьютерной томографии получают послойные снимки, по которым четко определяют тип кисты, степень поражения яичника.
Перерождение в рак
Существуют опасения о том, что киста яичника может переродиться в раковую опухоль. Такие опасения оправданы только частично. Тенденцией к перерождению обладают не все виды кист. Кроме того, для этого нужны определенные провоцирующие факторы.
По статистике, киста трансформируется в онкологическую опухоль в 0,2% случаев. Риск повышается с возрастом.
Наиболее часто перерождается не киста, а кистома, представляющая собой доброкачественную опухоль. Обычно это происходит на фоне применения гормонозаместительной терапии.
У женщин детородного возраста перерождение кисты маловероятно. Настораживают ситуации, когда киста диагностируется у девочки до начала полового созревания или у женщины в период менопаузы. В таких случаях риск перерождения выше.
Эхогенность
Термином «эхогенность» обозначают степень плотности тканей. Повышение эхогенности говорит о наличии какого-то образования в органе. Применительно к яичникам, это могут быть опухоли — злокачественные или доброкачественные.
Кисты яичников определяются как анэхогенные образования, то есть на мониторе УЗИ они отображаются черным цветом. Другими словами, киста яичника не отражает ультразвуковые волны. Чем больше жидкости внутри, тем меньше будет эхогенность. Таким образом, анэхогенное образование яичников — это киста.
Киста яичника — самая частая патология женской репродуктивной сферы. Многие виды кист не представляют опасность и не имеют выраженной симптоматики. Некоторые — существенно ухудшают качество жизни и должны быть удалены хирургическим путем. Риск перерождения кисты в рак не превышает 1%.
Киста яичника – код по МКБ 10
При классификации различных заболеваний медики привыкли пользоваться специально созданным справочником МКБ 10. Под этой аббревиатурой подразумевается Международная классификация болезней, пересмотренная в 10 раз.
В целом эти новообразования представляют собой полости, заполненные жидким секретом. Иногда в них присутствуют кровь, гной и даже такие нетипичные для яичника включения, как волосы, ногти и т.д. В большинстве случаев кисты не проявляют себя, пока не достигнут определенных размеров. Характерными признаками формирования кистозных полостей в яичниках являются:
дискомфорт внизу живота;
межменструальные кровотечения различной интенсивности;
искажение менструального цикла;изменение характера менструации.
Зачем сдавать мочу на цитологию?
Цитологическое исследование мочи, или анализ урины на атипичные клетки, представляет собой изучение структуры элементов этой биологической жидкости под микроскопом. Оценка материала проводится для установления наличия или отсутствия в клетках признаков злокачественного перерождения и других патологических процессов. Метод позволяет вовремя обнаружить или контролировать заболевания органов мочевыделительной системы.
Назначение исследования
Моча на цитологию сдается при таких состояниях:
- подозрение на новообразование в мочевом пузыре, а также почках, мочеточниках, уретре, предстательной железе (простате). Показанием является гематурия – наличие в урине клеток крови – эритроцитов. В некоторых случаях анализ назначают при нарушении мочеиспускания;
- контроль возможного рецидива рака мочевыводящих путей;
- невозможность использовать кольпоскопию и другие методы для изучения состояния половой системы у женщин (у девственниц, во время менструации, при обширных воспалениях). В этом случае исследуются клетки мочи.
Лабораторное цитологическое исследование проводят, чтобы диагностировать онкологические заболевания мочеполовой сферы
Цитология осадка урины не может диагностировать такие доброкачественные опухоли мочевого пузыря, как липому, фиброму, лейомиому, нейрофиброматоз, а также патологическое разрастание тканей – эндометриоз. Однако метод позволяет вовремя выявить папилломы, предупредив их перерождение, а также обнаружить раковые клетки.
Как подготовиться к цитологическому анализу мочи
Исследование не требует специальной подготовки. Перед процедурой желательно провести гигиену половых органов, а затем собрать урину в стерильный контейнер, герметично закрывающийся крышкой.
Время забора жидкости зависит от направления исследования:
- Для анализа гормональных сдвигов на протяжении менструального цикла женщины требуется первая порция утренней мочи, содержащая больше всего клеточных элементов, хотя иногда используется материал, взятый в другое время суток.
- Для обнаружения атипичных клеток, наоборот, не рекомендуется изучать утреннюю урину, лучше подождать 3 часа после первого мочеиспускания и помочиться в емкость, собрав всю выделяемую жидкость.
- Самые точные результаты при опухолях мочевого пузыря получаются при цитологии мочи, выделенной путем аспирации через катетер – когда жидкость отсасывают шприцем из полости органа.
Этот метод проводит оценку микрофлоры человека
О чем расскажет цитологический тест
На атипичные клетки
Диагностика новообразований мочевыводящих путей основана на слущивании клеток этих опухолей и попадании их в урину:
- При доброкачественном процессе в материале выявляют отдельные клетки или целые пласты переходного эпителия (слоя, выстилающего внутреннюю поверхность мочевого пузыря), строение которого напоминает нормальный эпителий органа. Форма этих элементов часто веретенообразная, вместе с ними в моче фиксируют наличие эритроцитов.
- При раке мочевого пузыря клетки переходного эпителия имеют выраженные признаки атипии – их строение отличается даже друг от друга. Одновременно в образце присутствуют эритроциты в большом количестве и некротические массы.
В лаборатории из осадка материала готовят нативные (неизмененные) и окрашенные специальными способами мазки. Затем под микроскопом изучают морфологический состав клеток. Кроме наличия доброкачественной или злокачественной опухоли, цитологический анализ помогает обнаружить другие поражения мочевыводящих путей, например, воспалительный процесс.
Кроме этого, цитологию делают тем больным, кто находится на завершающей стадии лечения заболевания
Результаты исследования на атипичные клетки могут быть такими:
- Неудовлетворительный образец – собранная моча не подходит для исследования (содержит недостаточное число клеток или примеси, которых не должно быть в материале). Нужно повторить диагностику.
- Анализ отрицательный – раковые клетки в урине отсутствуют.
- Атипичная цитология мочи – в клетках образца найдены некоторые изменения, но без злокачественных признаков.
- Подозрительная цитология – клеточный материал не является нормальным, возможен рак.
- Положительный анализ – в урине присутствуют клетки злокачественной опухоли.
Чувствительность метода составляет около 90%. Однако исследование может иметь погрешности, на это влияют инфекционные поражения мочевыводящих путей, недостаточное количество клеток, камни в мочевом пузыре или почках, внутрипузырные инстилляции (вливание медикаментов). Если анализ окажется положительным, для подтверждения диагноза прибегают к цистоскопии – биопсии (отщипыванию) тканей мочевого пузыря с последующим микроскопическим исследованием.
Преимущество данного анализа в том, что цитологический тест по сравнению с другими исследованиями не требует много времени
На колебания гормонального фона
Содержание разных клеток в осадке мочи меняется в зависимости от фазы месячного цикла женщины, поэтому проведение цитологического исследования помогает определить уровень половых стероидных гормонов в организме.
В этом случае также изучают нативные и окрашенные мазки, а затем подсчитывают количество в них клеток разных типов, среди которых:
- базальные;
- промежуточные;
- базофильные (ороговевающие);
- ацидофильные (ороговевшие);
- безъядерные ацидофильные.
Прочие показатели
Микроскопия осадка мочи входит в состав общего анализа урины и может выявить и другие патологии. Например, при уровне лейкоцитов выше нормы говорят о воспалительном процессе, а обнаружение бактерий или грибков свидетельствует об инфекциях мочеполовых путей.
Где можно сдать мочу на цитологию
Направление на анализ урины на атипичные клетки дает уролог или нефролог. Исследование проводится как в государственных, так и в частных клиниках. Результаты готовы через 1-3 дня, в срочных случаях их выдают в течение часа.
Уроцитограмму для изучения женских половых гормонов назначает обычно гинеколог. Как и мазок из влагалища, анализ делают в большинстве поликлиник, а также в частных лабораториях.
Доброкачественные новообразование яичника (D27)
К числу представителей этой группы относятся кисты:
Эндометриодные кисты
Такие новообразования являются результатом развития эндометриоза. При сливании эндометриоидных очагов образуются кисты, которые зачастую содержат менструальную кровь.
Достаточно часто образованию эндометриоидной кисты яичника предшествует проведение медицинских манипуляций на внутренних половых органах, включая аборты и диагностические выскабливания. Но в ряде случаев она возникает на фоне полного здоровья, а при тщательном обследовании обнаруживаются эндокринные патологии или банальное истощение нервной системы частыми стрессами.
Увеличение новообразования в размерах часто приводит к разрушению фолликулов, появлению фолликулярных кист и спаек между органами малого таза и стенками фаллопиевых труб. Если этот процесс вовремя не остановить, женщина рискует столкнуться с проблемой бесплодия.
Параовариальные кисты
Библиография (на английском)
- Ehrmann DA. Polycystic ovary syndrome. N Engl J Med 2005; 352 :1223-36. PMID 15788499.
Медицинская информация
- Центр по изучению синдрома поликистозных яичников при Чикагском Университете
- Введение в проблему поликистоза яичников от д-ра Джона Эдена POSAA
- Новости о синдроме поликистозных яичников и бесплодии
- Международный совет по распространению информации о бесплодии — Часто задаваемые вопросы о поликистозе яичников.
- Статья «Гиперандрогенные состояния и синдром поликистозных яичников».
Невоспалительные поражения яичников (N83)
Представителями этой группы заболеваний являются:
Фолликулярные кисты
Новообразования такого вида обычно имеют тонкие гладкие стенки, они лишены камер и перегородок. Размер фолликулярных кист колеблется от 2 до 7 см, хотя иногда встречаются и более крупные полости. Чаще всего они поражают один из яичников, но независимо от того, будет ли обнаружена киста правого или левого яичника, код по МКБ 10 она все равно будет иметь N83.0, так как она формируется из нераскрывшегося фолликула.
Но иногда из-за недостатка соответствующих гормонов фолликул остается целым. В таких ситуациях он остается в яичнике и начинает расти за счет накапливания жидкого секрета, тем самым трансформируясь в кисту.
Таким образом, причины формирования фолликулярной кисты яичника могут крыться в наличии патологий органов эндокринной системы или воспалительных заболеваний гинекологического характера. Поэтому столкнуться с данной проблемой может абсолютно любая женщина детородного возраста.
Кисты желтого тела
Желтое тело представляет собой временную железу, образованную на месте разрушившегося фолликула. Оно продуцирует прогестерон – гормон, необходимый для наступления и нормального протекания беременности.
Подобные новообразования обычно однокамерные, а их размеры не превышают 8 см. Как правило, кисты желтого тела самостоятельно рассасываются в течение 2–3 менструальных циклов или после наступления беременности, хотя в определенных случаях требуется проведение гормональной терапии или хирургическое удаление новообразования.
Как и в случае фолликулярной кисты, в ткани желтого тела также может происходить кровоизлияние. Результатом этого станет формирование геморрагической кисты, требующей немедленного лечения.
Ретенционные кисты
Ретенционными кистами называют округлые новообразования с бесцветной или несколько синеватой оболочкой, возникающие в железах или их протоках. Они могут быть врожденными или приобретенными.
- В первом случае причиной формирования кисты является сращивание протоков желез еще во время внутриутробного развития девочки.
- Во втором они являются следствием закупорки выводного протока сгустком продуцируемого секрета, рубцом или каким-либо инородным телом.
Как бы там ни было, неуклонное накопление жидкости приводит к растягиванию стенок железы и формированию кисты. То есть в эту категорию новообразований попадают:
- фолликулярные;
- параовариальные кисты;
- кисты желтого тела.
Таким образом, поставить диагноз ретенционная киста яичника и присвоить код по МКБ 10 N83.2 врач может при обнаружении полостного новообразования в тканях органа, точно установить характер которого по тем или иным причинам невозможно.
Дермоидные кисты
Дермоидные кисты являются одними из наиболее опасных новообразований такого рода, так как в 8% случаев они перерождаются в злокачественные опухоли и становятся причиной развития плоскоклеточного рака!
Выводы
В противном случае кисты могут нагнаиваться, разрываться, что приведет к развитию опасных для жизни осложнений. Кроме того, некоторые виды новообразований имеют своеобразную ножку, которая может перекручиваться. Это является показанием для проведения экстренной операции. Поэтому при обнаружении кисты яичника следует не пренебрегать профилактическими осмотрами и в точности выполнять все рекомендации врача.
Как лечить дермоидную кисту яичника
Согласно международной классификации болезней киста яичника МКБ 10 относится к образованиям аномального характера доброкачественного вида. Данная аномалия поражает ткани репродуктивных парных органов, а состоит из капсулы, наполненной жидкостью секреции. Капсула кисты яичника код МКБ формируется из мягких тканей, которые являются видоизмененной пленкой нераскрывшегося фолликула или желтого тела. Именно клетки, которые создают тело аномального образования, продуцируют выработку жидкости, которая заполняет ее.
Чаще всего кисты на яичниках обнаруживается при проведении УЗ-обследования или томографии других соседних внутренних органов: органов брюшной полости или мочеполовой системы. Проблема сложной диагностики кисты яичников код МКБ 10 доброкачественного типа заключается в том, что такого рода атипичные тела очень редко выказывают симптомы своего наличия на ранних стадиях развития. В большинстве случаев недуги диагностируются уже тогда, когда становятся аномально большими и начинают выражаться конкретными симптомами: причиняют дискомфорт соседним органам и системам, провоцируют воспалительные процессы, инфекции, заражения и отслоения тканей, некроз.
Определения
Существуют два наиболее употребительных в клинической практике определения синдрома поликистозных яичников.
Первое определение выработано в 1990 году консенсусом экспертной комиссии, сформированной Американским Национальным институтом здравоохранения (NIH). Согласно этому определению, пациентке должен быть поставлен диагноз поликистоза яичников, если у неё одновременно присутствуют:
- Симптомы избыточной активности или избыточной секреции андрогенов (клинические и/или биохимические);
- Олигоовуляция или ановуляция
и если при этом исключены другие причины, способные вызывать поликистоз яичников.
Второе определение сформулировано в 2003 году консенсусом европейских экспертов, сформированным в Роттердаме[3]. По этому определению, диагноз ставится, если у пациентки присутствуют одновременно любые два из трёх следующих признаков:
- Симптомы избыточной активности или избыточной секреции андрогенов (клинические или биохимические);
- Олигоовуляция или ановуляция;
- Поликистозные яичники при ультразвуковом исследовании органов брюшной полости
и если при этом исключены другие причины, способные вызывать поликистоз яичников.
Роттердамское определение значительно шире и включает в группу страдающих этим синдромом значительно больше пациенток. В частности, оно включает в себя и пациенток без клинических или биохимических признаков избытка андрогенов (поскольку обязательными являются любые два из трёх признаков, а не все три), в то время как в американском определении избыточная секреция или избыточная активность андрогенов является обязательным условием для диагноза поликистоза яичников. Критики Роттердамского определения утверждают, что находки, полученные при изучении пациенток с избытком андрогенов, не обязательно могут быть экстраполированы на пациенток без симптомов избытка андрогенов[4][5].
Киста яичника код по МКБ 10 и возможные осложнения
Стоит сказать, что в большинстве случае капсула инородного тела кисты яичника МКБ заполняется прозрачной или жёлтой жидкостью и не является токсичной и опасной при вытекании. Однако в некоторых случаях, при механических повреждениях или деформации образования, его тело может повредиться, а клетки, из которых состоят стенки капсулы, могут провоцировать кровоизлияние и гематому. В случаях таких повреждений капсула заполняется кровью или гнойным веществом и может значительно увеличиться в размерах.
Большинство опухолей доброкачественного характера на последних этапах своего развития имеют риск разрыва. Разрыв или апоплексия кисты яичника код по МКБ 10 – это опасный и крайне токсичный процесс не только для органов репродуктивной системы, но и для всего организма. Протекания жидкости на здоровые ткани провоцирует обширный букет нехороших симптомов и состояний. В таком случае у больной:
- возникают острые болевые ощущения;
- повреждаются здоровые ткани яичников, надпочечников, маточных труб, матки, мочевого пузыря;
- происходит отслоение клеток здоровых органов;
- наступает интоксикация организма и летальный исход.
В случае, если опухоль разорвалась или произошел перекрут кисты яичника код по МКБ 10, пациентку нужно срочно доставить к хирургу, чтобы удалить инородное тело со всеми его придатками. Время, потраченное на приезд к врачу, определяет вероятность безопасного окончания операции и целостность репродуктивных органов. Токсичная жидкость из капсулы может распространяться по ЖКТ, провоцировать воспаления в мочеполовой системе и брюшной полости, вызывать фимоз и гематомы.
ВАЖНО ЗНАТЬ!
Причины возникновения
Причинами возникновения печеночного поликистоза являются генные мутации. Это могут быть спонтанные мутации при развитии плода. В подавляющем большинстве случаев генетические дефекты передаются от родителей, причем как от матери, так и от отца. Характер наследования – аутосомно-доминантный. У новорожденного уже есть кисты, сформированные билиарным эпителием.
Установлено, что треть случаев болезни, обусловлены генными дефектами RKCSH и SEC63. В остальных случаях также виноваты нарушения в генетическом коде, но не установлены конкретные гены.
В процессе роста организма человека, роста печени, полости также увеличиваются в размерах, способствуя развитию клинической картины.
Лечение яичных кист по МКБ
Если у пациентки случился по МКБ 10 перекрут кисты яичника, и она не обратилась в клинику вовремя, удаление опухоли будет скорее всего сопровождаться отсечением пораженных органов и придатков. Нередко случается так, что после разрыва в маточных трубах женщины образуется большое количество аномальных узелком и жгутиков, из-за которых фолликул не может продвинуться к матке и осуществить оплодотворение. Такие атипичные образования невозможно удалить хирургическим путем, поэтому они нередко становятся причиной бесплодия.
Киста яичника код по МКБ 10 на репродуктивных органах удаляется, если ее стенки оказывают патогенное влияние на соседние органы. Если же аномальное тело имеет небольшие размеры и не причиняет дискомфорта человеку, его рост контролируется курсами приема медикаментозных средств и регулярными УЗ-обследованиями.
Стоит сказать, что существует определенный вид МКБ 10 кист яичника неуточненных (фолликулярные кисты). Этот вид доброкачественных образований в 98% случаев не выказывает симптомов своего наличия и рассасывается самостоятельно в процессе менструаций и овуляционного цикла. Однако, аномальные образования патогенного типа способны вырастать до 15-20 см в диаметре и значительно ухудшать самочувствие пациента. Большие инородные тела отсекают хирургическим путем. При этом удаляется не только капсула, но и образованные ею соединительные ткани, нити и системы для предотвращения рецидива заболевания и устранения опасных осложнений и последствий.
В зависимости от вида капсулы, тканей, которые формируют опухоль, причин ее появления и особенностей роста, все инородные тела на репродуктивных органах женщины традиционно делят на несколько групп. Перечислим их ниже.
Лечение склерокистоза яичников народными средствами
Рецепты альтернативной медицины применяются только в комплексе с традиционными методиками терапии. Популярностью пользуются такие народные средства:
- Свежий сок ягод калины в смеси с медом.
- Отвар цветков пиона.
- Сок лопуха.
- Тампоны с мумие.
- Настойка из боровой матки или красной щетки.
Различные лекарственные травы применяются и соло, и в комплексных сборах. Курс лечения составляет не менее 3 месяцев. Важно помнить: народные средства не избавляют от склерокистоза, но помогают нормализовать гормональный фон. Подобные методы применяются в комплексном лечении с целью стимуляции иммунитета и повышения общего тонуса организма.
Пять лет назад мне выставили диагноз склерокистоз яичников. Лечилась гормонами, принимала Диане-35 и другие средства, но забеременеть пока не удалось. Врач направляет на операцию, но я не решаюсь. Хочу попробовать пить женские травы – боровую матку и красную щетку. Помогут ли народные методы лечения от склерокистоза яичников или придется соглашаться на операцию?
Народные средства, в том числе травяные сборы, помогают восстановить гормональный фон и запустить овуляцию, но эффективны они только в комплексе с медикаментозными препаратами. Если за 5 лет добиться успеха не удалось, стоит задуматься об операции. Народные рецепты в этом случае вряд ли помогут зачать ребенка.
Разновидности опухолей яичников
- Фолликулярные образования. Такие кисты яичника код по МКБ 10, как правило, формируются бессимптомно и исчезают на протяжении нескольких месяцев после появления самостоятельно. Причина формирования данного типа инородных тел заключается в дисфункции фолликулов во время менструаций. Вместо того чтобы разорваться и выделиться из организма, фолликулы прикрепляются к стенкам яичников и растут. Однако фолликулярные кисты не являются опасными для организма. Они не содержат токсичных веществ и не оказывают патогенного воздействия на соседние органы и системы.
- Образования желтого тела. Данная аномалия также является относительно безобидным для женского организма. В большинстве случаев она незаметно появляется и исчезает в течение нескольких менструальных циклов с момента появления. Капсулы желтого тела формируются из клеток, которые выделяются при лопанье фолликула в процессе его продвижения по маточным трубам. Аномальная смена направления фолликула приводит к тому, что он не выделяется из организма, но формирует соединительную ножку и крепится с ее помощью к верхней части яичников. Такие опухоли чаще всего формируются по причине временных гормональных сбоев, после курса приема антибиотиков или перенесенных стрессов.
- Паровариальная киста яичника код по МКБ 10. Является врожденной дисфункцией придатков яичников, которая может формироваться на протяжении всей жизни женщины без патогенного влияния на репродуктивную систему. Причину появления данного вида аномальных образований выяснить пока не удалось. Известно лишь, что данный тип опухолей формируется между фаллопиевыми трубами и яичниками из тканей репродуктивных органов вследствие генетического сбоя при эмбриональном развитии плода. Если капсула вырастает большой, ее удаляют хирургическим методом вместе с пораженными тканями.
- Дермоидная капсула формируется также с рождения из остатков эпителия, волосяных частиц, частей зубов, клеток и кровяных сгустков. Такая опухоль считается максимально опасной из-за повышенного содержания токсичных веществ и гноя в капсуле. При разрыве дермоидное образование причиняет огромный вред соседним органам и системам. Аномалия может спровоцировать перитонит брюшной полости или заражение всего организма. Дермоидная киста яичника код по МКБ 10 подлежит срочному удалению сразу после подтверждения диагноза.
Хирургическое лечение при склерокистозе яичников
При отсутствии эффекта от консервативной терапии назначается операция. Хирургическое вмешательство проводится путем лапароскопии. Доктор делает несколько проколов брюшной стенки, вводит инструмент и выполняет одну из следующих процедур:
- Клиновидная резекция яичника – иссечение части органа.
- Каутеризация яичника – разрушение стромы органа с помощью лазера или электроножа.
Выбор метода лечения определяется техническими возможностями клиники. После лапароскопии уменьшается объем тканей яичника, продуцирующих андрогены, и разрушается его плотная капсула. Все это создает оптимальные условия для созревания яйцеклетки и овуляции.
Беременность после лапароскопии наступает в течение 6-12 месяцев. Если на протяжении первых трех циклов овуляции добиться не удается, показано дополнительное назначение гормонов. В ход идет как Кломифен, так и комбинированные оральные контрацептивы с высоким содержанием эстрогенов (Диане-35). При упорной ановуляции в течение года женщина направляется на ЭКО.
Диагностика кист яичников по МКБ
Как уже говорилось, определить вовремя наличие опухоли в репродуктивной системе практически невозможно до того момента, пока аномальное тело не начнет оказывать влияние на соседние органы и системы и проявлять симптомы своего развития. Чаще всего причиной обращения к гинекологу при заболевании являются хронические тянущие боли и ощущения сдавленности внизу живота и таза.
Капсула опухоли может придавливать органы мочеполовой системы и желудочно-кишечного тракта. Из-за этого пациентка испытывает постоянные проблемы при мочеиспускании, боли при наполнении мочевого пузыря, хроническое несварение желудка, диарею, запоры, постоянное вздутие. Большие аномальные образования можно определить методом пальпации низа живота и зоны пупка.
Однако максимально действенными и результативными способами выявления недугов на сегодняшний день являются УЗ-сканирование и томография. Оба метода помогают не только поставить диагноз, но и точно определить характеристики аномалии: размеры, характер формирования, область поражения и степень опасности.
