Если в биоматериале человека во время проведения анализа обнаружен псевдомицелий, значит его организм поражён грибком рода Candida.
Этот микроорганизм относится к условно-патогенной микрофлоре и живёт на коже и слизистых оболочках примерно 80% населения планеты.
Но в норме его количество контролируется полезной микрофлорой, и следов грибка в анализах быть не должно.
Нити псевдомицелия в мазках или кале – свидетельство неполадок в организме.
Что могут рассказать мазки?
Дрожжевые грибы рода кандида живут на слизистой влагалища любой женщины. Данный подвид условно-патогенных микроорганизмов при нормальном количестве не вызывает негативных реакций и не провоцирует заболевание молочница. Нормой содержания candida albicans является показатель до 10в 4 степени КОЕ/мл. Любое превышенное количество грибков считается опасным и может в любой момент вызывать молочницу.
При проведении анализов иногда находят псевдомицелий дрожжевых грибковых спор, в этом случае морфология подтверждает развитие патологии. Аномальное размножение имеет следующие причины:
- период полового созревания;
- беременность;
- климакс;
- лечение некоторыми лекарствами: антибиотиками, кортикостероидами, гормональными контрацептивами .
Кроме того, развитие грибковых микроорганизмов может быть спровоцировано дефицитом или избытком эстрогена. Множественные патогенные микроорганизмы поражают пациентов с заболеваниями:
- сахарный диабет;
- туберкулез;
- ЗППП;
- хламидиоз;
- трихомониаз;
- гонорея;
- генитальный герпес.
Если обнаружены кандиды в мазке, что это такое разберется только специалист. Возможно появление спор вследствие внешних провоцирующих факторов: жары, темного белья из синтетики, частых спринцеваний, заражения при половом контакте, стрессов, снижение иммунитета.
Важно! Беременность – частая причина появления кандиды на слизистых оболочках. В процессе вынашивания ребенка, гормональный фон претерпевает изменения, влияющие на влагалищную среду. Повышенный уровень сахара, наблюдаемый в период беременности, также провоцирует появление кандидоза у женщин. Необходимо не только выявление заболевания на ранних стадиях, но и полное излечение кандидоза.
Мазок на кандиды расскажет о том, насколько опасно превышено количество спор грибка. При бактериологическом анализе и обнаружении превышения нормы, значительно возрастает риск опасных последствий. Дрожжи в мазке – основной признак молочницы, при нелечении приводящей к бесплодию.
Причины появления кокобацил в мазке у женщин
Нити псевдомицелия и бластоспоры в мазке у взрослых и детей
Кандидоз (candidosis; синонимы: кандидамикоз, поверхностный бластомикоз, соормикоз, candidiasis, moniliasis, oidiomycosis) — инфекционное заболевание кожи, слизистых оболочек и внутренних органов, вызываемое нитями дрожжеподобных грибков (грибы рода Candida).
Что такое нити гриба псевдомицелия
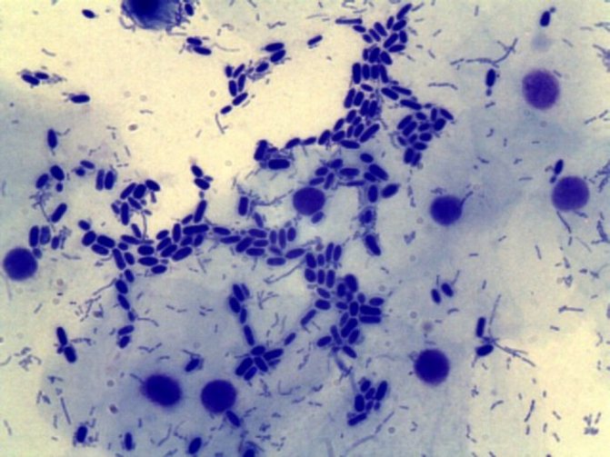
Грибок представляет собой одноклеточный аэробный (нуждающийся для жизнедеятельности в воздухе) организм округлой или удлиненной формы. Диаметр его составляет около 1.5-10 мкм.
Что же делать в такой ситуации ? Для начала советуем почитать эту статью. В данной статье подробно описываются методы борьбы с паразитами. Также рекомендуем обратиться к специалисту. Читать статью >>>
Кандиды не образуют истинного мицелия, но образует псевдомицелий. В отличие от истинного мицелия нити псевдомицелия не имеют общей оболочки и перегородок, а просто плотно соприкасаются между собой.
Candida
Псевдомицелий представляет собой нити из слабосвязанных между собой удлиненных клеток с бластоспорами – своеобразными «почками», присоединенными к перетяжкам псевдомицелия.
Размножается Candida бесполым путем (почкованием) и образует бластоспоры. Оптимальными для развития являются условия: температура 20-37°С и pH 5.8-6.5.
Микроорганизмы могут длительно переносить смещение в кислую сторону, 2.5-3.0, однако развитие их при неблагоприятных условиях замедляется. Длительная температура выше 50°С губительна для Candida. При кипячении они гибнут в течение нескольких минут.
Бластоспоры и нити псевдомицелия дрожжеподобных грибов Candida
Как и грибы Candida, бластоспоры обнаруженные в мазке, свидетельствуют о заражении организма кандидозом – заболеванием, которое поражает слизистые и ткани организма.
В результате мазка медик может получить информацию о балансе бактерий и наличии бластоспор в матке и влагалище. Повышение лейкоцитов и эритроцитов свидетельствует о наличии в организме воспалительных процессов.
Бластоспоры
Бластоспоры обнаруживаются в мазке в случае поражения организма кандидозом.
Клетки данного вида представляют собой зародыши круглой или овальной формы, образовавшиеся от материнского организма путем почкования. Бластоспоры обычно находятся в местах соединения клеток.
Нити псевдомицелия в мазке на флору в большом, в умеренном и скудном количестве
Для лабораторного подтверждения кандидоза используют посев и микроскопическое выявление Candida в мазке на флору. Используются также выявление ДНК Candida методом ПЦР.
Определение IgG в крови дает положительный результат (большое кол-во нитей псевдомицелия) в большинстве случаев системного кандидоза (чувствительность и специфичность теста составляют около 80%).
Но результатов серологического тестирования для подтверждения диагноза инвазивного кандидоза недостаточно.
Положительный результат теста не исключает причин появления специфических IgG, обусловленных колонизацией слизистых (поверхностный кандидоз).
Отрицательный результат теста (умеренное и скудное кол-во грибка) достаточно веско свидетельствует против наличия глубокого кандидоза (негативная предсказательная ценность теста — 96%).
Результаты исследования следует интерпретировать с осторожностью у лиц с иммуносупрессией и нарушением образования антител.
При сепсисе иммунитет может быть настолько ослаблен, что антитела к Candida в детектируемом количестве не образуются.
Нити псевдомицелия в кале у ребенка и взрослого
Грибки кандидам могут обнаруживаться как в кале у взрослого, так и у ребенка в ходе бактериологического исследования пробы. Чаще всего их обнаружение служит симптомом того, что развивается сильный дисбактериоз.
Дисбактериоз может возникнуть в результате приема антибиотиков, которые убивают полезные бактерии в кишечники и вызывают серьезные нарушения его микрофлоры. В результате этих нарушений слизистая становится уязвима для грибов, так как полезные бактерии, которые могли бы ее защитить, погибли в результате приема антибиотиков.
При наличии нитей грибов в кале, у больного человека наблюдается жидкий стул с характерными комочками слизи, болезненность в области пупка, частая диарея (до 10 раз/сутки), повышенная температура тела, плохой аппетит. В случае если кандидоз никак не лечили в течение длительного времени, у больного может возникнуть зуд заднего прохода.
Дрожжеподобные грибы в кале под микроскопом
Опасности кандидоза особенно подвержены дети в первые годы своей жизни. В частности, это груднички, которые питаются грудным молоком мамы. Если обнаружили кандиду в кале у грудничка, это означает, что у ребенка кишечный кандидоз, который он приобрел еще, будучи в утробе матери.
Если у грудничка в области анального отверстия можно заметить влажные бугорки, которые размножаются очень быстро, сливаясь в одно целое — ребенок болен.
В таких случаях незамедлительно нужно обращаться к врачу.
Что назначают для лечения
Для эффективного лечения заболевания следует устранить или уменьшить влияние факторов, способных провоцировать развитие кандидоза, что подразумевает продуманное назначение антибиотиков, гормональных препаратов, иммунодепрессантов, отказ от вредных привычек.
Для лечения применяют противогрибковые препараты местно (в виде мази, крема, раствора, вагинальных таблеток или свечей) и внутрь (в виде таблеток, капсул, суспензии).
К таковым относятся такие препараты, как флуконазол и др. Назначают антимикотические лекарства, действующими веществами которых являются:
- Иконазол;
- Клотримазол;
- Миконазол;
- Кетоконазол.
Также применяют антибактериальные средства (натамицин, нистатин, леворин).
Дополнительно рекомендуется назначение иммуномодуляторов, общеукрепляющих препаратов, физиотерапии, а также пребиотиков (лактулоза) и пробиотиков для нормализации кислотности, состава микрофлоры кожи и слизистых оболочек.
Обязательное лечение воспалительных процессов, в том числе инфекций, передающихся половым путем. При частых рецидивах необходимо дополнительное обследование.
Антипаразитарный комплекс® – Надежное и безопасное избавление от паразитов за 21 день!
- В состав входят только природные компоненты;
- Не вызывает побочных эффектов;
- Абсолютно безопасен;
- Защищает от паразитов печень, сердце, легкие, желудок, кожу;
- Выводит из организма продукты жизнедеятельности паразитов.
- Эффективно уничтожает большую часть видов гельминтов за 21 день.
Сейчас действует льготная программа на бесплатную упаковку. Читать мнение экспертов.
Симптомы кандидоза
Дрожжевая инфекция проявляется достаточно явными и характерными признаками:
- Творожистые выделения из репродуктивных органов – это бели с некоторой примесью и явным кислым запахом;
- Зуд и жжение половых органов;
- Неприятные ощущения при мочеиспускании, во время полового акта.
Важно! Грибок candida albicavs вызывает хроническое заболевание, при котором не бывает сопутствующих симптомов, только небольшой зуд.
Бели и выделения не всегда однотонны, могут иметь желтый, зеленоватый оттенок, но запах остается, как и зуд. Налет иногда скапливается в определенных местах, где затем образуются трещины. Симптомы молочницы проявляются и внешне – опухают наружные половые органы, они краснеют, начинают зудеть. В ночное время зуд усиливается, вызывая нестерпимое желание расчесать область, однако делать этого нельзя, чтобы не травмировать кожу, не спровоцировать внесение дополнительной инфекции.
В период за 3-5 дней до менструального цикла симптоматика усиливается, это связано с изменением микрофлоры влагалища. Часто обострение клинической картины наблюдается после принятия водных процедур, принятия алкоголя, спринцевания.
Важно! Не всегда клинические симптомы указывают только на молочницу, развитие грибков кандида – сопутствующий симптом венерических заболеваний. Лечить такие патологии следует не только посредством приема противогрибковых препаратов, а комплексно и под наблюдением доктора.
Поскольку заболевание молочница у женщин протекает с сильной негативной симптоматикой, следует при первых же признаках немедленно обратиться к доктору и принять все меры для устранения инфекции и причин ее появления.
Правила женской интимной гигиены
Лечение кандидоза предполагает соблюдение особых правил интимной гигиены:
- Перед введением свечей влагалище освобождают от творожистых масс спринцеванием, а затем качественным подмыванием. Перед процедурой тщательно моют руки с использованием антисептических растворов.
- Подмывание проводят с использованием интимного геля, пенки с уровнем кислотности рН-4-5. Обычное мыло пересушивает слизистую влагалища, способствует раздражению, поэтому его использовать нельзя.
- Антибактериальные препараты для гигиены влагалища не используют, поскольку они усугубляют местный дисбактериоз, препятствуют заселению тканей полезной микрофлорой.
- Спринцевание проводят слабым раствором соды, не чаще двух раз в сутки. Злоупотребление спринцеванием приведёт к усугублению течения грибкового заболевания.
- Не стоит принимать ванны, которые вымывают из влагалища полезные микроорганизмы и распространяют грибок на соседние органы. Достаточно душа.
- Интимная гигиена женщины предполагает использование индивидуальных средств, полотенец. После процедур сантехнику промывают антисептическими растворами, чтобы предотвратить вторичное заражение.
- Нижнее бельё рекомендуется менять не реже 2 раз в день или после каждой гигиенической процедуры. Бельё дезинфицируют глажкой.
- Прокладки меняют каждые 2 часа. Тампоны при кандидозе противопоказаны.
- Рекомендуется ежедневное проглаживание постельного белья либо его смена.
Лечение кандидоза требует тщательного соблюдения рекомендаций врача и правил интимной гигиены. Только комплекс процедур избавит организм от патогенов и восстановит полезную микрофлору влагалища.
>
Анализы при молочнице кандидоза
Выявление молочницы требует обследования у профильного доктора. Только врач может направить пациента на все необходимые процедуры. Анализы и диагностика требуют временных затрат, кандидоз выявляется посредством следующих исследований:
Норма лейкоцитов в мазке у женщин
- Микробиология проводится посредством микроскопии. Для исследования забирается материал с области локализации грибка. При наличии предрасполагающих факторов обозначается рост грибка, что приводит к проявлению симптоматики заболевания.
- Посев на грибок для выявления уровня чувствительности спор к лекарствам. Процесс позволяет получить явную картину о возбудителе патологии. Анализ проводится с материалом биологического типа: моча, кал, мазок, мокрота. Забранный материал помещается в питательную среду, где созданы все условия для размножения. После выращивания колоний, начинаются тесты на чувствительность спор к лекарствам. Так определяется порог чувствительности грибковой инфекции. Продолжительность анализа до 10 дней, в этот период пациент получает поддерживающую терапию для снижения симптоматики патологии.
- Полимерно-цепная реакция (методика ПЦР) – это обязательный пункт, определяющий вероятность прогрессирования патологии.
- Иммуноферментный анализ подводит итог всех процедур, помогая подобрать самое лучшее лечение. Проверяя наличие антител в крови, специалисты наблюдают рост патогенной флоры с выделением иммуноглобулина LgG. Только благодаря данному анализу подтверждается молочница, так как бели могут быть признаком множества других патологий.
Каждая процедура преследует определенную функцию, потому проведение всех процессов должно быть комплексным. Данный метод позволит не только определить опасность, клиническую картину патологии, но и определить наиболее эффективный метод лечения кандидоза, исключающий появление рецидивов. В заключении после всех процедур специалисты выдают следующую информацию:
- Наличие/отсутствие грибковой микрофлоры;
- Видовую принадлежность возбудителя инфекции (молочницы);
- Количество колоний грибка.
Факт! Бессимптомное протекание болезни характерно содержанием грибка ниже показателя 104 КОЕ/мл, при равных или повышенных показателях выставляется диагноз кандидоз и проводятся тесты на порог чувствительности грибка к антимикотическим средствам.
Перед тем, как сдавать анализы, пациенту запрещено принимать противогрибковые препараты – в противном случае клиническая картина диагностики окажется смазанной. Лабораторные анализы и исследования назначаются для повторов в процессе и окончании лечения. Только отрицательный результат мазка дает понимание эффективности терапии. В случае отсутствия ожидаемого эффекта, назначается другая схема лечения с применением иных лекарственных препаратов.
Виды исследований
Диагностика молочницы безболезненна и не причиняет существенного дискомфорта. Начинается она со взятия мазка на анализ. Если данных из мазка будет недостаточно, нужно сдать мочу, сделать ПЦР, ИФА, посев на микрофлору. Лечение зависит от результата исследования. Не зная, какие анализы сдать на молочницу, следует изучить представленную информацию.
Анализ мазка
Мазок берут из влагалища при помощи стерильной щеточки. Для взятия мазка женщине необходимо согласиться на обычное гинекологическое обследование с введением во влагалище специального расширителя и последующего осмотра стенок матки.
В день забора мазка воздерживаются от сексуальных контактов и употребления спиртных напитков. От скорости взятия анализов на определения молочницы зависит эффективность лечения, потому представленных рекомендаций нужно придерживаться.
Собранные выделения врач наносит на специальные стекла. В лаборатории выделения на стеклах окрашивают специальным веществом и изучают под микроскопом. При наличии хорошей лаборатории результат исследования будет известен через несколько часов.
При молочнице у мужчин мазок забирают из уретры или области вокруг ануса. Для анализа подходят слюна, сперма и секрет простаты.
Посев на микрофлору
Для посева материал забирают из влагалища, рта или кожи вокруг полового члена. Изъятые фрагменты помещают в благоприятную для развития кандид среду. Если грибок есть в организме, то спустя некоторое время он начнет быстро размножаться.
Предлагаем ознакомиться Как избавиться от появления папиллом
Для определения лучшего препарата, который может справиться с конкретной разновидностью грибков, на разросшуюся колонию поочередно наносят несколько видов лекарственных средств. При этом специалисты внимательно наблюдают за тем, какое средство приводит к гибели кандид. Именно его и назначают пациенту.
ПЦР и ИФА
При помощи анализа ПЦР в забранном материале удается обнаружить ДНК и РНК кандид. Исследованию подвергается кровь из вены. ПЦР обычно назначают при хронической молочнице. Это позволяет определить точный вид грибка и выбрать правильное лечение. ПЦР считается высокочувствительным анализом.
Одновременно с полимерными реакциями и поиском ДНК, специалистами вычисляется количество имеющихся иммуноглобулинов в плазме крови. Иммуноферментный анализ на молочницу (ИФА) делают с целью точного определения количества иммуноглобулинов, поскольку именно они способствуют скорейшей нейтрализации опасных грибков.
Лечение кандидоза у женщин
Вне зависимости от формы заболевания, требуется лечение кандидоза. Как правило, применяется курс антибактериальных препаратов, подбираемых на основании результата анализов. В первую очередь необходимо избавиться от грибков кандида, а это можно сделать посредством противогрибковой терапии локального действия, то есть вагинальных таблеток, суппозиториев, мазей, гелей.
Важно! Самолечение недопустимо! Вид терапии, лекарства подбирает только доктор. Все зависит от индивидуальности заболевания у женщин, состояния и наличия дополнительных отягощающих факторов, например, сахарного диабета, ЗППП и прочего.
Назначаемые оральные противогрибковые препараты помогают избавиться от кандидоза уже через короткое время, а вот интровагинальные препараты следует принимать намного дольше. Самые популярные средства для вагинального локального лечения:
- Составы с кетоконазолом;
- Составы с клотримазолом;
- Пимафуцин;
- Залаин.
Воздействуя местно, эти медикаменты помогают полностью исцелиться от кандидоза в легкой форме, при невозможности приема системной терапии, например, в период беременности. Однако, если молочница уже хроническая и половые органы достаточно сильно поражены, потребуются не только местные, но и системные лекарства. Наиболее используемые препараты:
- Леворин;
- Нистатин;
- Клотримазол;
- Итраконазол;
- Флуконазол;
- Йодосодержащие препараты.
Завершение противогрибковой терапии требует полного восстановления микрофлоры влагалища. Возможно назначение пробиотиков, эубиотиков, присутствующих в вагинальных свечах определенного типа. В обязательном порядке необходимо заняться повышением иммунитета, максимально устранить возможности и причины заражения молочницей и пропить курс витаминов. В любом случае, назначения делает доктор, к которому нужно обратиться как можно быстрее, обнаружив даже малейшие признаки кандидоза.
Содержание грибков в норме
Бывает такая ситуация, что мазок на флору покажет молочницу, а гинеколог говорит, что кандидоза нет. Не стоит в этот момент обвинять врача в некомпетентности и срочно искать нового. Ведь грибок в небольшом количестве может находиться практически у каждого человека. И если вы не чувствуете никаких неприятных симптомов, то стоит только озаботиться укреплением иммунитета, а затем через некоторое время сдать повторный анализ.
Вовремя сделанный анализ на кандидоз позволить подтвердить или опровергнуть диагноз. Поэтому не стоит затягивать с посещением врача и как можно быстрее провести все необходимые мероприятия.
Можно подумать, что анализы – это неоправданная трата времени и средств, но быстрая и правильная постановка диагноза позволит не тратить лишние ресурсы на лечение, которое не будет помогать справиться с болезнью.
Также обязательно стоит посетить врача и сдать анализ, если неприятные симптомы появились впервые. Ведь женщина, никогда не сталкивающаяся с молочницей может спутать ее проявление с симптомами других заболеваний. Да и даже если врач не обнаружит у вас кандидоза – лишняя забота о своем здоровье еще никому не мешала.



