Какой бывает шейка матки перед месячными? Этим интересуются женщины, которые самостоятельно пытаются определить, наступила беременность или отсутствует. Но нужно знать не только, какая бывает матка перед месячными, но и то, какой вид у матки после месячных, а также в середине менструального цикла. Только знание различных состояний женского репродуктивного органа в разные периоды цикла позволит сделать правильные выводы о том, находится шейка матки перед месячными или после зачатия с эмбрионом. Выяснить все это несложно самостоятельно, для чего придется на ощупь проверить собственное влагалище. Если такой вариант не устраивает, отчаиваться не стоит, ведь поход к гинекологу никто не отменял. Врач способен дать намного более точную оценку женского состояния.
В чем сложность метода?
Женский организм устроен удивительным образом – сразу же после оплодотворения яйцеклетки начинается активный рост плодного яйца с продвижением в матку. Сразу же начинается активная гормональная и физиологическая перестройка – женщина готовится к благополучному вынашиванию и рождению ребенка. Но как самостоятельно определить беременность по шейке матки, еще до похода в женскую консультацию?
При осмотре у гинеколога на ощупь можно установить даже срок беременности – специалист с помощью пальпации определяет величину органа с растущим внутри эмбрионом. Можно назвать и более точную дату, если ведется график циклов, где отмечены дни овуляции. В домашних условиях самодиагностика будет лишь приблизительной. Необходимо иметь хотя бы общее представление о величине и форме шейки матки, ее плотности и цвете до зачатия и после свершившегося факта, как на рисунке.
Не все женщины, даже родившие, имеют полное представление о внутренних половых органах и как они работают. Какая роль каждого репродуктивного сегмента в ПА, при оплодотворении и вынашивании плода? Если нет этих элементарных знаний, трудно понять и то, как по шейке матки определить беременность.
Заглянуть к себе «туда», даже с зеркальцем, проблематично, особенно дамам с избыточным весом. Единственный способ сравнения шейки до беременности и после – ощупывание себя во влагалище при гигиенических процедурах, чтобы сравнить изменения.
Внимание: Этот вид диагностики очень точный, но и его рассматривают в комплексе ощущений и симптоматики. Из-за сложности проведения самостоятельно обследования им редко пользуются даже те, кто знает, как самой определить беременность по матке.
Пальпация матки в домашних условиях
Часто девушки перед походом к врачу желают самостоятельно проверить свои предположения относительно состояния детородного органа. Имея некоторые базовые знания и навыки, можно определить различные ее состояния в домашних условиях. Перед месячными шейка находится чуть ниже, чем при беременности. При беременности шейка находится высоко, плотно закрыта, а сама матка имеет рыхлую структуру.
Судить о состоянии органа только на основании пальпации нельзя. Для точного диагноза необходимо обследоваться у врача.
Как проводить пальпацию
Самостоятельную пальпацию проводят только в ознакомительных целях или при отсутствии возможности посещения специалиста.
Если женщина решила самостоятельно провести такое мероприятие, не следует забывать о возможных недостатках этой методики. Чтобы провести пальпацию без каких-либо последствий, необходимо помнить следующие указания гинекологов:
ногти перед проведением данной методики должны быть короткими и чистыми; руки следует тщательно вымыть и высушить; перед пальпацией следует надеть на руки стерильные перчатки из латекса; аккуратно вводить во влагалище указательный и средний палец; осторожно ощупать закругленный бугор во влагалище, вывести для себя определенное умозаключение на основе полученных данных и вынуть пальцы из влагалища; принять меры гигиены.
Недостатки пальпации в домашних условиях
Самостоятельная диагностика шейки во время месячных применяется только в случае необходимости, так как она имеет ряд недостатков. К ним можно отнести следующие:
при несоблюдении мер гигиены есть риск попадания инфекции и возникновения инфекционных заболеваний; если проводить пальпацию без должной осторожности, существует вероятность повредить шейку, что спровоцирует возникновение эрозии; тяжело точно определить, о чем говорит состояние органа, из-за отсутствия опыта и знаний в этой области; необходимость обратиться к врачу все равно не отпадает, так как точного диагноза самостоятельно женщина не может.
Самостоятельно проводить диагностику шейки при месячных или их отсутствии весьма опасно. Даже если у женщины есть опыт и теоретические знания в этой области, делать поспешные выводы не стоит. Следует обратиться к специалисту для достоверной диагностики репродуктивного органа.
https://youtube.com/watch?v=khgPpiqz0Lw
https://youtube.com/watch?v=642YpJJUeLA
Где находится шейка матки?
Матка относится к внутренним органам, поэтому не видна. Шейка матки самой нижней частью выходит во влагалище, это видимая часть, по которой делают визуальную диагностику органа. Она плотно укоренена во влагалище, поэтому все ощущения передаются от стенок одного органа к другому (при ПА и прикосновениях).
Можно ощупыванием определить беременность по матке, а визуально – по шейке. Во внутренней полости матки постоянно продуцируется слизь, включая кровянистые выделения при месячных. В ее шейке формируется пробка, закупоривающая внутренний орган для защиты от инфекций и попадания влаги из внешней среды.
Внимание: Не думайте, что шейка – второстепенный орган, от ее состояния зависит уровень защиты плода и его удерживание при вынашивании. Если она потеряла упругость и эластичность, врач при осмотре может определить предстоящий выкидыш и предпринять меры по сохранению беременности. Специалист также знает, как определить беременность при миоме матки (внутренне новообразование от патологического разрастания тканей). При визуальном осмотре доктор может оценить только шеечную часть, но этого достаточно, чтобы оценить состояние здоровья всего детородного органа.
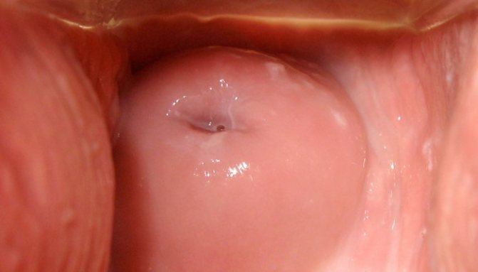
Шейка матки имеет простейшее строение – округлое мышечное тело, слегка выдвинувшееся в верхней части влагалища. Она отличается по структуре тканей и цвету от влагалищных стенок. Этот розоватый бугорок имеет покрытие слизью и небольшое отверстие в центре – цервикальный канал. Он сомкнут в обычном состоянии, но слегка расширяется при месячных.
Проход в матку заполнен слизистой пробкой. Размер шейки матки небольшой – примерно 2,5 см по окружности до 4 см в длину. Удивительно, как этот миниатюрный светло-розовый «туннель» раскрывается и расширяется при родах, чтобы в проход вышла детская головка!
Во время овуляции слизистая пробка разжижается, чтобы самые активные сперматозоиды смогли преодолеть этот барьер. Шейка матки чуть приподнимается и становится более мягкой, делая влагалище более свободным для проникновения мужского органа.
Что происходит во время месячных?
При осмотре шейки матки во время месячных заметно, что она приоткрывается, становится значительно мягче, опускается ниже. Это необходимо для свободного прохождения выделений наружу. Матка во время месячных избавляется от эндометрия и одновременно возобновляет весь внутренний слой. Чтобы это осуществить происходят некоторые сокращения, которые часто сопровождаются болевыми ощущениями. У рожавших женщин уровень дискомфорта при месячных часто значительно ниже. У них пропадает физиологический загиб в сторону крестца, что и вызывает более интенсивные боли во время менструации.
В это время женщине необходимо особенно тщательно следить за личной гигиеной. Маточный или цервикальный канал приоткрывается, что может способствовать проникновению инфекции внутрь. В это время рекомендуется не принимать ванну, не плавать в бассейне и не заниматься сексом. Также для предотвращения распространения инфекций нужно регулярно подмываться и своевременно менять прокладки или тампоны.
Какими бывают месячные
https://youtube.com/watch?v=VVKq3qmqgr0
https://youtube.com/watch?v=qcN8Sgv254U
Как на ощупь определить беременность
Каждый гинеколог знает, как определить беременность по матке даже на ранних сроках – нижняя часть этого органа информативна. Она смещается, меняется цвет, размер и плотность тканей, говорят, что шейка матки бывает мягкая и «дубовая». Эти изменения считаются наиболее существенными признаками беременности, наряду с отсутствием менструации в свои сроки. Кроме того, на шейке матки остаются следы:
- перенесенных операций;
- абортов и выкидышей;
- благополучных родов;
- внутренних маточных патологий.
По состоянию влагалищной части можно многое понять, например, если плоская шейка – женщина не рожала, конусовидная – были роды. Но не только есть возможность по шейке на ощупь определить беременность. Реально понять фазу цикла (предовуляционная, овуляция, предменструальная).
Специалист легко диагностирует свершившийся факт оплодотворения, даже ориентировочный срок беременности. У нерожавших женщин этот зев маленький и округлый, после родов он смыкается как щель. После кесаревого сечения шейка больше похожа на зев нерожавшей, хотя шейка становится чуть больше по размеру.
Об этом нужно знать, перед тем как определить беременность на ощупь по матке:
- У женщин до беременности шейка твердая, примерно как крылья носа, после зачатия – мягче, примерно как губы.
- До беременности шейка имеет бархатистый розовый цвет, после – синеет (от активного кровообращения и разрастания сосудистой сетки, чтобы активно снабжать плод питательными веществами).
- Под действием прогестерона (гормон) шейка матки опускается – следствие свершившегося оплодотворения.
Вернемся к вопросу «как самой определить беременность на ощупь?» Учитывая выше сказанное – только по относительной мягкости и опущению шейки. Визуальные изменения, без специального инструмента для осмотров, заметить сложно.
Можно ли выявить заболевание?
Безусловно, пальпация шейки матки в домашних условиях позволяет получить ответы на некоторые вопросы. Однако для выявления каких-либо патологий следует все-таки обратиться к специалисту.
Зачастую для обнаружения болезни обычного осмотра бывает недостаточно, и доктора прибегают к другим, более информативным, методам:
- бактериологическому тесту;
- цитологическому исследованию;
- кальпоскопии;
- биопсии.
Ко всему прочему, даже специалист при проведении осмотра с использованием зеркал сможет обнаружить только самые грубые нарушения в структуре органа (явную эрозию, цервицит и т. п.). При самостоятельной же пальпации «заглянуть» внутрь женщине все равно не удастся, и, как следствие, выявить какой-либо недуг практически не представляется возможным.
Каждая женщина должна следить за изменениями, происходящими в половой сфере, чувствовать малейшие ухудшения в состоянии здоровья, уметь определить фазу менструального цикла, разбираться в изменениях со стороны матки во время овуляции и месячных. Перед менструацией шейка матки опускается вниз, размягчается, ее канал слегка приоткрывается. С помощью наружного осмотра шейки матки можно не только выявить различные заболевания, но и определить наступление беременности. Для этого нужно знать, какова шейка матки на ощупь перед месячными и правила ее осмотра.
Можно ли пальцем нащупать шейку матки при беременности
Опубликовано admin в 02.06.2019
Период родов является одним из самых важных периодов в жизни женщины. Органы женской половой системы активно готовятся к процессу родов. В частности, шейка матки. Для благоприятного течения родов, для того чтобы плод спокойно прошел через родовые пути, необходимо достаточное расстояние в зеве шеечной части.
Почему это важно знать?
Женский организм устроен по такому принципу, что все в его работе взаимосвязано. Все физиологические процессы направлены на то, чтобы достичь определенной цели — создать яйцеклетку для возможности зачатия и вынашивания ребенка.
В каждом менструальном цикле женщины повторяются одни и те же естественные перемены, приводящие к моменту овуляции. После ее наступления существует только два пути — перестройка организма в преддверии месячных либо беременность. Для контроля зачатия и сохранения собственного здоровья очень важно хорошо знать все изменения, которые переживают яичники, матка и шейка матки перед месячными.
Определение
Шейка является частью главного органа женщины. Она соединяет матку с влагалищем. Состоит из трех слоев: слизистого, мышечного и наружного – соединительно-тканного. В норме шеечная часть матки перед родами в длину около 3 см и ширина тоже около 3 см. В шейке выделяют зев и две стенки: передняя и задняя. Во время беременности главный орган подвергается изменениям под воздействием гормонов – прогестерона и эстрогена. Шейка матки перед родами удлиняется, становится менее эластичной. Усиливается кровообращение в ее сосудах, она становится сине-багрового цвета.
Строение женской половой системы
К внутренним репродуктивным органам у женщин относятся:
- Влагалище – это канал, соединяющий шейку матки (нижнюю часть матки) с внешней частью тела. Он также известен как родовой канал.
- Матка – полый грушевидный орган, который является “домом” для развивающегося плода. Матка делится на две части: шейка матки, которая является нижней частью, открывающейся во влагалище, и основной орган матки, называемый корпус или тело матки. Корпус может легко расширяться, чтобы держать развивающегося ребенка. Канал через шейку матки позволяет сперме войти, а менструальной крови выйти.
- Яичники – это небольшие овальные железы, расположенные по обе стороны матки. Яичники вырабатывают яйцеклетки и гормоны.
- Фаллопиевы трубы: это узкие трубки, которые крепятся к верхней части матки и служат туннелями для яйцеклетки из яичника в матку. Зачатие, оплодотворение яйцеклетки спермой, обычно происходит в маточных трубах. Затем оплодотворенная яйцеклетка движется в матку, где имплантируется в слизистую стенку.
Перед родами
Шейка матки перед родами, начиная с 38 недели, начинает активно готовиться, совершая раскрытие своего зева. Это состояние связано со снижением действия главного гормона беременности – прогестерона, увеличения эстрогена и окситоцина. Ее состояние является одним из показателей готовности к рождению ребенка. Основные изменения, которые происходят:
- Меняется размещение матки в малом тазу (опускается ниже).
- Изменяется эластичность, шеечная ее часть становится мягче.
- Сокращается длина, даже до 1 см. Происходит сглаживание шейки, то есть расширяется пространство для входа в шейку.
Раскрытие шейки матки перед родами происходит постепенно и плавно.
Раскрытие шейки матки – единственный достоверный критерий готовности организма к родам. Определяет его врач акушер-гинеколог на гинекологическом кресле, начиная за 1–2 недели до предполагаемого срока родов. Женщина располагается на кресле, врач проводит визуальный осмотр, затем осуществляет осмотр шейки матки перед родами, то есть определение состояния путем пальпации (ощупывания) рукой. Вводит врач два пальца во влагалище, пытаясь достичь маточного зева и определить основные свойства:
- Длину шейки.
- Ее ширину.
- Эластичность.
- Консистенцию.
- Степень раскрытия зева (сколько пропускает пальцев).
Затем врач, учитывая вышеперечисленные критерии, делает заключение о готовности организма родовой деятельности, то есть определяет свойства шеечной части, главным из которых является раскрытие шейки матки перед родами.
«Метаморфозы» женщины
Цикл менструаций является уникальным процессом, протекающим ежемесячно. Основным его предназначением считается подготовка женского организма к зачатию. Состоит он из маточных и яичниковых циклов.
Процессы, протекающие в яичниках, подразделяют на такие фазы цикла у женщины:
- фолликулярную;
- овуляторную;
- лютеиновую.
Стадии маточного цикла:
- менструальная;
- пролиферативная;
- секреторная.
Эти органы выполняют разные функции, но их циклы протекают одновременно. Обусловлено это изменениями, происходящими с гормональным фоном перед месячными.
Особенности деятельности шейки напрямую зависят от фазы цикла. По этой причине она на разных этапах опускается или приподнимается, становится рыхлой и мягкой или упругой. Этот орган имеет свой цикл, в зависимости от которого меняется его тонус и местоположение во влагалище. Изменения затрагивают также эпителий, наружный зев и характер секрета.
Симптомы изменений
Женщина не всегда ощущает, когда начинается раскрытие матки при родах. Как правило, этот процесс безболезненный и физиологичный. Основные симптомы, которые она может испытывать:
- Ощущения тяжести внизу живота, иррадиирущей в пах и половые губы, проходящей самостоятельно.
- Симптомы тяжести в области поясницы, ощущения болей ноющего характера.
- Отхождение слизисто-кровяной пробки, произошедшее самостоятельно.
- Начинаются регулярные схватки, изначально с интервалом в 25 минут, затем по мере раскрытия до 1 схватки в 5 минут и одной схватки в 1 минуту. Важно вести подсчет, сколько происходит схваток и с каким интервалом.
Стадии раскрытия
В раскрытии матки выделяю несколько стадий, характеризующихся разным состоянием шейки. Каждую из стадий сопровождают свои ощущения. Основные стадии следующие:
- Первая стадия характеризуется медленным раскрытием матки, начиная с раскрытия до одного или двух пальцев в течение недели до родов, доходя до раскрытия перед родами за 4–6 часов, но не более 10 см. Сопровождается процесс регулярными схватками, но редкими.
- На второй стадии происходит раскрытие примерно 1 сантиметр в час, расширяется шеечная часть до 10 см и более, схватки идут уже каждую минуту.
- Третья стадия характеризуется полным завершением процесса раскрытия и полной готовностью к рождению плода.
Раскрытие на 1 палец
Минимальная ширина, на которую раскрывается матка, это 1 палец доктора, проводящего осмотр. Один палец примерно составляет 1,5–2 см. Происходит данный процесс на 38 или 39 неделе беременности, то есть означает начавшийся период подготовки к родам. Женщина может ощущать тяжесть в области влагалища, небольшой дискомфорт, тянущие боли внизу живота и в пояснице, почему и обращается к доктору. Но 1 палец не означает госпитализацию в стационар, можно в данном состоянии оставаться дома.
Незрелость шейки
Шейку называют незрелой весь период беременности. Почему незрелая? Какие признаки определяют? В это время она плотная, эластичная, не пропускает зев даже 1 палец. И длина ее около двух сантиметров. Если, начиная с 38 недели беременности, раскрытие не происходит, шейка считается незрелой, это уже вариант ненормального течения беременности, почему и важно вовремя диагностировать данное состояние.
Необходимо использовать дополнительные методы, стимулирующие процесс раскрытия. Зрелая шейка матки перед родами размягченная, короткая и раскрыта на необходимое число сантиметров.
Причины незрелости
Незрелость матки означает состояние, при котором она не становится мягкая, не происходит ее укорочение, и она не раскрывается в положенный срок. Это препятствует началу нормальной родовой деятельности. Определяется примерно около 39 недель. Зев должен раскрыться в сроке 40 недель последовательно на 1 палец, затем на 2 пальца и до того состояния, что пропускает ладонь. Почему не происходит расширения:
- Недоразвитие органов малого таза, врожденные аномалии.
- Нервные расстройства, ощущения тревожности.
- Недостаточность выработки гормонов эстрогеновой группы и окситоцина.
- Сильные схватки, спазм мускулатуры.
- Недостаточное количество околоплодных вод.
- Возраст женщины старше 35 лет.
Если шейка не раскрывается в сроке от 35 до 40 недель, то это состояние пробуют оставить без лечения. Возможно, в силу особенностей организма, процесс произойдет немного позднее. Если в сроке 40 недель нет признаков того, что матка раскрывается, то встает проблема о том, как ускорить раскрытие шейки матки. Принимают меры как немедикаментозные (упражнения, стимулирующие расширение) и медикаментозные (лекарственные препараты, катетер, палочки). Также лечению подвергаются женщины с сахарным диабетом второго типа, роженицы, перенесшие тяжелый гестоз. Недостаточное открытие грозит развитием ранней гипоксии плода, а может быть и асфиксии.
Немедикаментозное лечение
Немедикаментозное лечение включает в себя физические упражнения, стимулирующие раскрытие шейки матки. Они являются начальным этапом лечения. Можно делать упражнения обычные, которых хватает в повседневной жизни. Примеры упражнений:
- Заниматься уборкой, но очень осторожно, без тяжелых нагрузок.
- Совершать прогулки по улице каждый день.
- Возможно занятие плаванием.
- Регулярное занятие сексом также стимулирует процесс раскрытия матки. Поскольку во время секса происходит улучшение кровообращения в матке, а также доказано, что в сперме содержатся вещества, ускоряющие течение родов.
Если плод доношенный, то можно попробовать использовать очистительную клизму. Вода, находящаяся в клизме, при попадании в кишку стимулирует заднюю стенку матки, вызывает расширение шейки.
Медикаментозное лечение
Основным методом лечения является медикаментозный. Нельзя самостоятельно назначать себе препараты. Назначает только лечащий врач акушер-гинеколог, который уверен в диагнозе незрелости шейки и считает, что уже необходимо женщине рожать. Основные используемые препараты и методы:
- Препараты простагландина, гормона, стимулирующего расслабление гладкой мускулатуры. Он способствует раскрытию зева матки. Используют, как правило, гели с простагландинами: Прожестожель 1%. Вводят во влагалище, несколько раз в сутки, постоянно контролируют динамику состояния. Возможно использовать и простагландины внутривенно. Также таблетка простагландинов может подействовать стимулятором.
- Гормон родовой деятельности – окситоцин (раствор или таблетка), вводят его внутримышечно также стимулирует родовую деятельность, действует быстрее простагландинов.
- Используют палочки ламинарии. Палочки вводят во влагалище, в канал матки. Эти палочки способствуют его расширению чисто механическим путем (когда палочки соприкасаются с жидкостью, они разбухают в канале). Палочки доказали свою эффективность, но используются редко.
- Механическим путем действует и катетер Фолея, который вводят в шеечный канал и расширяют его. Помимо того, когда выполняется введение катетера, то вырабатывается значительное количество простагландинов. Этот способ быстрее действует остальных.
Таким образом, для нормального течения беременности необходимо своевременное и правильное раскрытие матки при родах. Важно следить за ее состоянием начиная уже с последних недель беременности. Только врач может диагностировать, когда она не раскрылась, и назначить соответствующее лечение.
Какая на ощупь шейка матки перед месячными и при беременности
Шейка матки перед месячными на ощупь становится не такой, как в остальные дни цикла. По ее состоянию легко вычислить, когда именно начнутся месячные (сколько примерно дней до них осталось). Некоторые женщины даже проводят с этой целью во время ПМС или когда хотят забеременеть самостоятельную диагностику в домашних условиях. Но делать это, не имея соответствующей подготовки, не рекомендовано, и даже может быть чревато опасными последствиями.
После месячных
После менструального цикла в норме шейка подготавливается к предстоящему зачатию. Отторжение эндометрия прекращается, заканчивается кровотечение, происходит резкое сужение маточного канала. Матка снова поднимается вверх, эндометрий опять нарастает.
Снаружи после критических дней шейка приобретает более плотную консистенцию, становится твердой и сухой. Закрывается цервикальный канал, что позволяет избежать любых инфекционных поражений внутри матки.
Для того чтобы женщина могла самостоятельно определить состояние своей матки, следует сравнить показания на протяжении трех-четырех менструальных циклов. В норме на ощупь она должна быть твердой.
Как выглядит шейка матки перед месячными
В соответствии с днем цикла шейка матки каждый месяц меняет не только свое положение, но и становится разной на ощупь. Изменяется и ее структура.
Как выглядит шейка перед месячными? Чтобы разобраться в этом, нужно понимать, какие процессы происходят в женском организме. После овуляции, которая наступает в середине цикла, организм женщины и матка готовятся к оплодотворению яйцеклетки. Появляется дополнительный эндометрий. Происходит постепенное изменение формы и увеличение матки перед началом месячных. Перед овуляцией открывается цервикальный канал, чтобы сперматозоиды могли беспрепятственно проникнуть к своей цели. Когда овуляция заканчивается, канал постепенно сужается и матка начинает свою подготовку к возможной беременности. Узнайте нормы толщины эндометрия по дням цикла в статье по ссылке.
Каким изменениям подвергается матка на протяжении менструального цикла?
Внимание! Уникальная возможность сделать свою жизнь лучше! Похудеть за месяц это реально, нужно только…. Читать далее
Менструальный цикл подразумевает множество последовательных изменений в организме женщины, которые обеспечивают ее репродуктивную функцию. Каждый месяц наблюдается кровотечение, обозначающее начало нового периода. Таким способом организм женщины возобновляет внутренний слой матки, чтобы подготовить его в возможной беременности. Матка и шейка также подвергается определенным изменениям как накануне менструации, так и после нее.
Все началось с того, что мой маленький кроха, стал отказываться от еды. Кушал, как дюймовочка, его мучали боли в животе. У него завелись паразиты. Дети все тянут в рот, чтобы избежать заражения нужно. Читайте полностью>>
Разрешена ли самодиагностика
Самоосмотры проводить можно, особенно если женщина чувствует недомогание или ее что-то беспокоит. Научиться точно определять состояние и положение матки – задача не из легких. Но опыт приходит со временем. Если самообследование проводит регулярно, то уже спустя несколько циклов вы сможете точно диагностировать состояние своего организма и половой системы.
Проводится диагностика с соблюдением определенных простых, но очень важных правил. Эти условия должны беспрекословно соблюдаться:
- никаких обследований во время менструального цикла, это чревато занесением инфекции;
- в первую очередь запомните: не стоит самообследоваться чаще одного раза в день, лучше делать это 3 раза в неделю;
- манипуляции желательно проводить в одинаковое время;
- если есть воспаление, диагностику придется отложить.
Техника проведения самоосмотра
Перед тем, как приступить к гинекологическому осмотру, следует тщательно подготовиться:
- Подстричь ногти. В противном случае существует вероятность ранения поверхности ШМ.
- Тщательно вымыть руки, чтобы не занести инфекцию.
- Надеть стерильные медицинские перчатки, они уберегут матку от проникновения патогенных микроорганизмов.
Лучшее положение для проведения осмотра – сидя. Чтобы было удобнее, можно присесть на унитаз или биде. Но лучше сесть на корточки или просто поднять ногу и зафиксировать ее на возвышенности. Если удобнее лежа нащупать ШМ, можно проводить самообследование и в таком положении. Вводятся во влагалище два пальца (средний и указательный). Следите за движениями, они не должны быть резкими, чтобы не причинили травму слизистой.
Во время обследования под пальцами обнаружите плотный бугорок, он и является ШМ. Если есть соответствующий опыт, можно легко определить – твердая она или, наоборот, мягкая. А также легко понять состояние цервикального канала – закрытый или открытый – это свидетельствует про овуляцию или другие состояния.
Осмотр беременной
Осматривая себя в период беременности, женщина сможет определить вероятность выкидыша на ранних сроках. Так, в интересном положении ШМ длинная и плотная. Если она укорочена (меньше 2,5 см), это становится серьезным поводом досрочного обращения к специалисту, прохождения обследования и даже госпитализации.
До предположительной даты родоразрешения подобные медосмотры позволяют определить готовность ШМ к родовой деятельности, особенно это актуально, когда начинается третья часть беременности. Она становится короче, разглаживается и пропускает в свой зев 1–2 пальца. Живот может опуститься. На разных срок беременности ШМ выглядит и прощупывается по-разному.
Мнение врачей
Хотя самообследование влагалищного дна и ШМ может быть очень информативным, специалисты не рекомендуют женщинам самостоятельно пальпировать шейку. И на то есть ряд причин, которым посвящены многие новые статьи. Всегда существует риск проникновения инфекции, что в итоге может привести к бесплодию. Неаккуратное проведение осмотра чревато травматизацией слизистой, а это путь к развитию эрозии.
В совокупности с инфекциями такое состояние может быть очень рискованным и способно окончиться даже развитием онкологических процессов.
Гинекологи утверждают, что самостоятельно невозможно качественно оценить состояние ШМ. Ведь специалисты, кроме пальпации, используют дополнительные инструменты — зеркала. Только с их помощью можно точно судить о состоянии органа.
Даже доктор не даст комментарий, не сделает заключение и не поставит точный диагноз только на основании пальпаторного обследования шейки матки и тем более не установит беременность, потому что в обязательном порядке учитываются другие сопутствующие факторы и симптомы, особенности организма, проводится УЗИ. Узнайте на какой день задержки УЗИ покажет беременность в статье по ссылке.
Состояние шейки только дает повод судить о скором наступлении месячных или возможной беременности. Это повод пройти дополнительные обследования, сдать анализы и т. д.
Цервикальный канал перед овуляцией
О скором наступлении овуляции женщина может догадаться по нескольким признакам. О приближении овуляторного процесса свидетельствует:
- поднятие шейки матки кверху;
- канал приоткрывается и размягчается;
- наличие липких выделений.
В пиковые дни для зачатия расположение шейки матки тоже достигает своей максимальной точки, при этом консистенция ее становится весьма рыхлой, а канал раскрывается на максимально возможную ширину для обеспечения лучшей проходимости для сперматозоидов.
Самостоятельное исследование цервикального канала позволяет установить в эти дни его высокую степень влажности и одновременно с этим очень мягкую поверхность всей матки.
«Плюсы» и «минусы» самодиагностики
Самообследование матки не дает полной картины о ее состоянии, а только поможет выстроить некоторые предположения. Пожалуй, это единственная положительная сторона такой процедуры. А вот отрицательных моментов намного больше. Это и возможность занесение инфекции, травматизации, что грозят воспалениями, осложнениями, которые ведут к бесплодию.
Фото как выглядит шейка матки перед месячными и во время беременности не сможет помочь проанализировать состояние органа. Следует ориентироваться только по тактильным ощущениям.
Если есть интересующие вопросы, их всегда можно задать своему гинекологу. При необходимости женщина может провести самостоятельное обследование шейки матки, но делать это необходимо только в крайних ситуациях и не чаще трех раз в неделю.
Чтобы определить состояние органа, требуется немалый опыт, а это значит, что при его отсутствии обследование будет неинформативным и не даст никаких результатов. Только опытный доктор способен распознать изменения, оценить их и назначить дополнительные методы обследования, потому что положение шейки матки по дням цикла постоянно меняется, и эти особенности необходимо обязательно учитывать.
Видео. Две жизни под угрозой. Внематочная беременность.
Недавно нашла статью, где рассказывается, как по положению матки можно определять овуляцию (т.е. эффективный плодотворный период). Довольно интересно, но вот как правильно нащупывать шейку матки – не знаю. Как ее правильно находить и как пальцем определить состояние?
Женский организм имеет взаимосвязанные между собой органы и системы органов, общая цель которых – зачать, хорошо выносить и родить здорового ребенка. В результате совсестной работы органов, каждый месяц в организме женщины происходит овуляция – зрелая яйцеклетка выходит из фолликула. При отсутствии зачатия, организм начинает вырабатывать менструацию, чтобы избавиться таким образом от неиспользованных яйцеклеток.
Рассмотрим, как же меняется шейка матки в зависимости от различных фаз менструального цикла, и какое положение занимает она при приближении месячных.
Каким образом проводится обследование
Шейка матки представляет собой полое тело размером 2,5×3 см, которое соединяет влагалище и матку. Чтобы нащупать шейку матки, достаточно ввести во влагалище средний палец на всю длину. В конце полости влагалища Вы наткнетесь на небольшой бугорок (или выпуклость) – это и будет шейка матки. Самостоятельное обследование в разные фазы менструального цикла позволит женщине определять положение и состояние шейки матки. Что дает возможность без применения тестов выявлять наступление беременности. Кроме того, так можно определять подходящие для зачатия периоды.
Лучше всего шейку матки нащупывать в таких позах:
- на корточках;
- на унитазе;
- если поставить одну ногу на возвышение (стульчик, ванну и т.п.).
Для получения достоверной информации при таких обследованиях положение тела должно быть каждый раз одинаковым. Обследование надо проводить после окончания месячных, лучше всего, в одно и то же время суток. Пальпация не проводится при подозрениях на наличие инфекции, при воспалениях половых органов или в период менструации.
Как определить, насколько высоко расположена шейка матки
Если шейка матки расположена низко, то ее можно легко нащупать серединой пальцевой подушечки, а если высоко – то даже кончиком сложно будет дотянуться. Степень открытия можно определить следующим образом: закрытое положение шейки характеризуется углублением в ней, напоминающим маленькую щель, а при открытом положении углубление становится более значительным и округлым.
Состояние шейки матки перед месячными
Для понятного объяснения состояния шейки матки в преддверии месячных потребуется некоторая аналогия. Незадолго до месячных шейка матки напоминает собой сухую и твердую землю, которая не способна принять в себя семя и вырастить из него растение: шейка опускается, твердеет, становится сухой, ее отверстие плотно закрывается, а сама шейка находится в крайнем нижнем положении. Еще одна аналогия – сравнение шейки матки с кончиком носа: такой же твердой и плотной она становится. Слизь в цервикальном канале густеет, закрывая канал и не давая сперматозоидам проникать внутрь.
Когда наступает период овуляции, и женский организм готов к зачатию, шейку матки можно сравнить со вспаханной землей, которая готова принимать в себя семя: она набирает влагу и становится рыхлой, поднимаясь вверх. Внешний зев шейки открывается, чтобы принимать сперматозоидов в цервикальный канал, которые будут стремиться слиться с яйцеклеткой. Чтобы облегчить путь сперматозоидам, слизь в цервикальном канале становится жидкой.
Шейка матки в период месячных
При месячных шейка матки становится более мягкой и приоткрывается, чтобы дать возможность менструальной крови полностью выйти. Именно из-за открытия шейки матки в период месячных женщины часто начинают ощущать дискомфорт и боль.
Шейка матки в период беременности
Признаком беременности служить твердая, закрытая и поднявшая вверх шейка матки.
Врач прописала вагинальные таблетки от дисбактериоза, ничего особенного. Я сегодня ставила одну таблетку и нащупала во влагалище какую-то шишечку, причём всего лишь по длине среднего пальца. Это опущение матки? С чем это может быть связано, раньше там ничего такого не было
У меня тоже так,спросила у гинеколога. она сказала что это нормально и нет никакого опущения.



