В настоящее время наблюдается рост числа онкологической патологии центральной нервной системы. Она встречается во всех возрастных группах, имеет различную гистологическую характеристику, отличается агрессивностью роста и частотой рецидивов.
Нейробластома относится к опухолям эмбрионального происхождения. Что это означает? Каковы причины ее развития? Возможно ли полное излечение? Все это нужно знать, так как патология является довольно распространенной.
Определение, причины и особенности
Нейробластома представляет собой злокачественное образование из незрелых нейронов нервной системы. Растет на стадии развития зародыша из зачатков нервных клеток – нейробластов.
Является самой частой эмбриональной опухолью, встречается в 7-11% от общего их числа, а среди детских опухолей занимает 4 место. Проявляет себя от момента, когда ребенок только родился, до 15 лет. Чаще болеют новорожденные малыши женского пола. Средний возраст — диагностики 2 года.
Нейробласты – зачатки нервных клеток, это переходная стадия стволовой клетки в нейрон. Имеют способность к передвижению к нужному месту, где зреют, превращаясь в нервы. Образуют кору надпочечников, очень часто первичный рак образуется там.
Причины нейробластомы у детей до сих пор не выяснены. Возможно, возникновение происходит из-за мутации незрелых нервных клеток. Многие онкологи ставят основной причиной генетическую предрасположенность в семье. Но на вопрос, почему она возникает, ответить пока никто не смог.
Рассмотрим общие причины эмбрионального рака:
- острые, хронические заболевания матери;
- профессиональные вредности, вредные привычки и наркомания во время беременности;
- нервнопсихические нарушения;
- нарушения экологии;
- внутриутробные инфекции.
Имеется несколько существенных особенностей, отличающих болезнь от других типов рака:
- способна к непроизвольному обратному развитию, даже если есть метастазы;
- иногда агрессивно растёт, дает непредсказуемые отдаленные метастазы;
- не часто полностью созревает в нормальные нервные клетки;
- может трансформироваться в доброкачественную, которая легко поддается удалению, но такой случай – 1 на 1000.
Механизмы развития заболевания могут отличаться друг от друга.
- Нарушение созревания нервных клеток до рождения ребенка.
- Клетки растут, делясь, они становятся первичным очагом нейробластомы.
- Есть случаи, когда до 3 месяцев клетки дозревают, становятся нормальными нейронами.
- Если этого не происходит, она растет и метастазирует.
Статистика у детей и взрослых
Нейробластома считается наиболее распространенным злокачественным новообразованием у детей. Ее находят примерно в 14% случаев раковых опухолей. Она бывает врожденной или появляется в период до 5 лет, пик заболеваемости приходится на двухлетний возраст.
Треть из всех опухолей расположена в мозговом веществе надпочечника. Обычно имеет одностороннюю локализацию. Новообразования также могут найти и в пространстве за брюшиной, в грудной клетке, шее и тазовой области.
После 15 лет выявление нейробластом является крайне редким случаем, но описаны варианты развития даже в пожилом возрасте. При врожденной патологии нередко сочетается с другими аномалиями развития.
Классификация, особенности клинических проявлений
Как любое онкологическое заболевание, нейробластома имеет клинические стадии:
- опухолевые процессы на месте первичного очага;
- прорастание опухолевых тканей за пределы локализации;
- увеличение размеров, распространение к близлежащим лимфатическим сосудам;
- метастазирование к сторонним органам, костям, тканям, лимфоузлам. Метастазы диагностируются у 75%.
Разновидности по строению:
- классическая форма — незрелые клетки, растущие и захватывающие всё вокруг себя, агрессивно метастазирующие и рецидивирующие;
- ганглионеврома – зрелые нейроны, окружены капсулой, имеют четкие границы;
- ганглионейробластома – имеет признаки классической формы и ганглионевромы;
Разнообразные причины опухоли провоцируют различные симптомы, возникающие из-за разной локализации нейробластомы у детей. В зависимости от первичного расположения делится на несколько видов:
- поражение симпатической вегетативной нервной системы и надпочечников – симпатобластома;
- опухоль мозжечка – медуллобластома;
- опухолевые поражения нервной системы в брюшной полости – нейрофибросаркома;
- нейробластома сетчатки глаза – ретинобластома;
Патология проявляется триадой основных симптомов:
- общие симптомы рака (пример: сильное похудение);
- симптомы, связанные с локализацией опухоли;
- симптомы, появляющиеся из-за чрезмерного выброса опухолью гормонов в кровь.
Стадии и классификация нейробластомы
Если брать во внимание анатомо-физиологические структуры, внутри которых размножаются злокачественные клетки, их локализацию, в медицине принято подразделять обширную группу онкопатологии на такие виды, как нейробластома почки, надпочечников, мозга, а также желудочковая, забрюшинная и ольфакторная нейробластома.
При постановке клинического диагноза все медицинские сотрудники обязаны пользоваться единой системой классификации недуга. Одна из них выглядит следующим образом:
- онкопатология 1 степени — данный диагноз устанавливается на основании появления одного очага ракового процесса до пяти сантиметров в размере, при отсутствии метастазирования;
- злокачественное новообразование второй степени — характеризуется онкологическими изменениями, которые распространяются на зону диаметром пять на десять. Лимфатическая система и другие отдаленные органы не повреждены;
- нейробластома 3 степени — опухолевидное образование имеет размеры до десяти сантиметром, в процесс включаются близлежащие лимфоузлы;
- нейробластома 4 стадии — в эту категорию входят пациенты, у которых в организме есть первичный онкологический очаг и множественные отдаленные метастазы.
Клинические проявления в зависимости от локализации
Начальные симптомы нейробластомы у детей могут создавать видимость других заболеваний. Это происходит из-за метастазирования различных органов и систем.
Рак головы и шеи определяется пальпируемыми опухолевидными узлами, неврологическими симптомами, которые зависят от местонахождения и носят разные названия.
Симптом Горнера характеризуется:
- опущением верхнего века;
- сужением зрачка;
- слабой реакцией зрачка на свет;
- западением глазного яблока;
- нарушением выделения пота на лице;
- расширением сосудов конъюнктивы;
- покраснение кожи лица на стороне поражения.
Однако чаще опухоль выбирает своим «гнездом» район живота (забрюшинного пространства) в 72%, что характеризуется:
- визуальным увеличением объема живота;
- при ощупывании отсутствие болей, но четкое ощущение опухоли под кожей сцепленной с тканями вокруг;
- отечность ног;
- нарушение кишечной перистальтики, выглядит, как волнообразные сокращения;
- быстро врастает в спинномозговой канал, поражает спинной мозг.
Поражая скелет, опухоль проявляется склонностью к хромоте, болью, ломотой конечностей, может быть их паралич.
Образование грудного отдела вызывает:
- боль в груди;
- кашель «без остановки»;
- затруднение глотания;
- хрипы;
- нарушение работы сердца;
- визуально видны подкожные узелки;
- повышение температуры;
- нарушение координации движений;
- патология тазовых функций (не может нормально сходить в туалет);
- темные круги под глазами;
- может наступить нарушение или полное отсутствие движений конечностей;
- синдром Горнера;
- иногда деформация грудной клетки;
- высокое артериальное давление.
Причины развития опухоли
Причина формирования патологии учёными пока точно не установлена. Врачи установили, что в формировании болезни у детей участвуют эмбриональные бласты, не созревшие до зрелых нервных патогенов. У новорождённых опухоль не всегда приводит к заболеванию. Возможно развитие до зрелой ткани или до злокачественного новообразования.
Главной причиной считается приобретенная мутация патогенов под воздействием различных факторов. Что именно вызывает мутацию, пока точно не установлено. Усматривается связь между пороком развития и врождёнными нарушениями в иммунной системе.
Также есть доказанное подтверждение наследственной предрасположенности. При этой неоплазии болезнь формируется в раннем возрасте – ребёнок на 8 месяце жизни. Часто происходит образование нескольких очагов заболевания.
Еще одной причиной развития болезни считается генетический дефект – отсутствие у первой хромосомы короткого плеча. Обнаружение в раковых патогенах экспрессии или амплификации N-myc онкогена говорит о неблагоприятном прогнозе к терапевтическому лечению.
Осложнения до лечения опухоли
Есть несколько дополнительных проблем, которые сопровождают подобное заболевание:
- метастазы, повреждающие другие органы вплоть до потери рабочих функций;
- параличи вследствие поражения спинного мозга;
- выделения гормонов, провоцирует развитие различных паранеопластических синдромов, проявляющихся неврологической симптоматикой. Например, расстройства сна, дрожание глазных яблок, затруднение глотания, нарушение координации движений. Проявления зависят от характера выделяемого опухолью гормона.
…И как потом лечить?
Лечение нейробластомы входит в круг обязанностей широкого круга специалистов, занятых в онкологии (химиотерапевт, радиолог, хирург). Изучив все особенности опухоли, они совместно разрабатывают тактику воздействия на неопластический процесс, которая будет зависеть от прогноза на момент установления диагноза и от того, как опухоль реагирует на проводимые мероприятия. Таким образом, лечение нейробластом может включать следующие этапы и методы:
- , представляющую собой введение противоопухолевых препаратов по специальным схемам. Особенно действенной оказалась химиотерапия в сочетании с пересадкой костного мозга.
- Хирургическое лечение, предусматривающее радикальное удаление новообразования. В настоящее время перед радикальной операцией нередко проводится химиотерапия, которая позволяет справиться не только с опухолью (замедлить рост), но и с ее метастазами (привести их к регрессии).
- , которую, правда, современная онкология использует все реже, заменяя оперативным вмешательством, ведь облучение со своей стороны может быть небезопасно и нести определенную угрозу жизни и здоровью ребенка (возможно повреждение лучами отдаленных органов). Лучевую терапию назначают только строго по показаниям: после нерадикального оперативного удаления, низкой эффективности других методов, химиотерапии, в частности, при неоперабельной опухоли, которая по тем или иным причинам не реагирует на химиотерапевтическое воздействие.
Безусловно, успех лечения напрямую зависит от стадии болезни.
Использование радикального метода в самом начале развития опухоли (1 ст.) дает надежду на полное избавление от заболевания. Однако это не освобождает малыша и его родителей от плановых посещений врача и проведения необходимых исследований с целью предупреждения рецидива, который хоть и крайне редко, но все же бывает.
Вероятность полного выздоровления не исключается и на стадии II при условии успешно проведенного оперативного вмешательства (2А ст.) с предварительным химиотерапевтическим лечением (2В ст.).
Воздействие на опухоль, достигшей третьей и, тем более, 4 стадии, сопряжено с определенными трудностями. В данных случаях все больше надежда возлагается на статус клиники, ее географическое положение и оснащенность оборудованием, а также на квалификацию и опыт специалистов.
Что касается перспектив 4 стадии нейробластомы, то здесь в лечении предпочтение отдают химиотерапии, которая проводится до оперативного вмешательства (удаление первичного очага) и после него. Ну а дальше – как Бог пошлет.
Диагностика
Диагностика нейробластомы, как и любого другого заболевания, начинается со сбора анамнеза у ребенка и родителей. Важен возраст пациента, чем младше ребенок, тем ниже группа риска неблагоприятного исхода.
Далее проводят анализы мочи, крови. Кровь нужно проверить на содержание ферритина, повышенное его количество может говорить о наличии незрелых нейронов.
Далее определяют визуально наличие опухоли с помощью рентгенографии, компьютерной томографии, МРТ, ультразвукового исследования.
Диагностика с помощью МРТ дает более точную картину опухоли.
На фото УЗИ нейробластомы надпочечника у плода:
Окончательный диагноз ставится на основании биопсии опухолевой ткани из первичного очага, с помощью которой определяют степень ее злокачественности. Определение гена MYCN — гена рака, при исследовании клеток говорит о неблагоприятном прогнозе. Наличие высоко уровня производных гормонов группы катехоламинов (адреналин, норадреналин, дофамин) в моче, анемии крови говорит о росте, активном ее развитии. Обращают внимание на наличие маркеров опухоли, таких как:
- нейронспецифическая энолаза;
- ганглиозид GD2;
- хромогранин А;
- нейропептид Y;
Но данные онкомаркеры могут указывать на другие опухоли.
Обязательно проведение аспирационной биопсии костного мозга, 10% поражений при нейробластоме приходятся на него.
Для определения метастаз проводят исследование скелета, рентген грудной клетки и живота, ангиографию (для точного рассмотрения питания первичного очага, метастаз от кровеносных сосудов).
Выживаемость детей с нейробластомой на разных стадиях
Выживаемость маленьких пациентов зависит от того, в каком возрасте и на какой стадии было диагностировано новообразование. Также имеют значение морфологические особенности строения нейробластомы и содержание ферритина в крови больного. Наиболее благоприятный прогноз доктора дают детям, не достигшим годовалого возраста.
Если обратиться к статистическим данным о выживаемости при диагностировании болезни на разных стадиях, то картина складывается следующая:
- Самые хорошие шансы имеют пациенты, лечение которых было начато на самой ранней, I-ой стадии – больше 90% больных выживает.
- Показатели для второй стадии ниже – 70-80%.
- На третьем месте по количеству выживших пациентов находится стадия 4 – 75%. Это связано с тем, что опухоль нередко спонтанно регрессирует.
Если нейробластома развилась до третьей стадии, то при качественном и своевременном лечении выживает 40–70% больных. Самый пессимистичный прогноз дают пациентам старше годовалого возраста, у которых диагностирована заключительная, четвертая стадия болезни – по статистике выживает только 1 больной из пяти.
Loading…
Поделитесь с друьями!
Лечение нейробластомы
Достаточно долгое время идет изучение этой опухоли, но до сих пор её лечение остается важной проблемой детской онкологии.
Среди методов, применяемых для лечения, существуют:
- химиотерапия;
- оперативное лечение;
- лучевая терапия;
- хирургическое удаление;
- трансплантация костного мозга;
Средние сроки лечения составляют от 6 месяцев до 2 лет.
Выбор методов лечения и комбинирования их зависит от стадии опухоли, её реакции на терапию.
Стадии опухолевого процесса по международной опухолевой классификации (TNM):
TNM расшифровывается:
- T – это tumor, c лат. опухоль. Характеризует распространение первичного узла новообразования;
- N – это nodus с лат. узел. Характеризует метастазы лимфоузлов;
- M – это metastasis, – c лат. метастаз или перемещение. Показывает наличие отдаленных метастазов.
Так у каждой стадии будет свой код
- Стадия 1 – T1 M0 N0;
Единичный очаг до 5 см, лимфоузлы не поражены, метастазов нет.
- Стадия 2 – T2 N0 M0;
Единичный очаг от 5-10 см, лимфоузлы не поражены, метастазов нет.
- Стадия 3 – T1-2 N1 M0
Очаг соответствует первым двум стадиям, есть поражения лимфоузлов, метастазов нет. Возможна картина Т3NxM0: Единичный очаг больше 10 см, поражения лимфоузлов невозможно определить, метастазов нет.
Существует так же более современная классификация нейробластомы. Разработана международной группой риска нейробластомы (INGR).
Стадия L1. Опухоль в определенном месте, без других очагов, удаляется хирургически.
Стадия L2. Первичный очаг в одном месте, но удалить хирургически не возможно из-за некоторых факторов.
Стадия M. Нейробластома метастазирует в другие органы и системы.
Стадия MS. Ставится малышам до 18 месяцев. Рак проникает в кожу, костный мозг, печень.
Важно! Ни в коем случае не применяйте по отношению к ребенку лечение, которое вам могут посоветовать знакомые, лечившиеся от рака других органов, тканей. Нейробластома представляет собой отдельный тип опухолей, методы лечения другого рака к ней неприменимы!
Самый волнующий вопрос: Какой прогноз и как предотвратить болезнь?
Для прогноза очень важен возраст ребенка. Родители грудного малыша (до года) могут всегда рассчитывать на благоприятное течение болезни. В других случаях время относительного благополучия зависит от места расположения новообразования и его стадии. Найденная на первой или IVS стадии опухоль, дает больше надежды, чем другие степени: 90% детей живет более 5 лет, далее показатели снижаются: с 2-3 стадией шанс прожить пять лет имеют 70-80% маленьких пациентов, 4 стадия отпускает пятилетний срок 40-70% детей (60% составляют дети в возрасте до года). При этом с сожалением следует заметить, что в медицинское учреждение попадают малыши, имеющие уже 3 или даже 4 стадию заболевания.
Каких-либо особых рекомендаций и советов по предупреждению развития данной опухоли заранее дать невозможно, поскольку причины ее появления до сих пор никому не известны, за исключением семейной предрасположенности. Но тут понятно, если у близких родственников диагностировалась подобная патология, то к планированию беременности очень желательно привлечь генетика, возможно, он поможет избежать слез и волнений, связанных с рождением больного ребенка.
Химиотерапия
В основном проводится препаратами противоопухолевой группы. Эти препараты кроме основного своего действия, уничтожают клетки волос и микрофлору желудочно-кишечного тракта. Начиная химиотерапию врач:
- проводит индивидуальный подбор препарата, рассчитываю дозу в зависимости от массы тела;
- младенцу до полугода назначает химиопрепараты после тщательного обследования;
- применяет химиотерапию комплексно с другими видами лечения;
- комбинирует препараты.
Считается что наименее токсичный препарат для лечения нейробластомы – это «Мелфалан». Согласно исследованием, он отличается более высоким уровнем эффективности, повышает уровень выживаемости, в т.ч. младенцев. Особое значение принес во время лечения ретинобластомы, где вводился непосредственно в центральную артерию сетчатки глаза.
Как распознать нейробластому?…
Для установления диагноза в первую очередь обращаются к возможностям клинической лабораторной диагностики, которая включает:
- Определение катехоламинов
, их предшественников и метаболитов
в моче
ребенка. Усиленное выведение продуцируемых опухолью веществ в непомерных количествах будет отражаться в анализе. - Избыточное выделение в кровь гликолитического энзима нейронов, называемого нейроно-специфической енолазой (NSE)
, может указывать на развитие опухолевого процесса и, кстати, не только нейробластомы. Повышение уровня NSE характерно для других опухолей: лимфомы, нефробластомы, саркомы Юинга, поэтому данный онкомаркер едва ли может подойти для дифференциальной диагностики, зато он хорошо зарекомендовал себя в прогностическом плане: чем ниже уровень маркера, тем благоприятнее прогноз. Например, при нейробластоме ст. IVS неспецифической енолазы всегда меньше, чем при аналогичной опухоли 4 стадии просто. - Важным онкомаркером нейробластомы считают ферритин
, который активно продуцируется, но железо при этом не используется (анемия), а поступает в кровь. Изменение количества данного маркера отмечается преимущественно в 3-4 стадии болезни, в то время как на начальных этапах (1-2 стадии) его уровень слегка повышен или вообще остается в пределах нормы. В период лечения показатель имеет тенденцию к снижению, а во время ремиссии и вовсе возвращается к норме. - Высокий уровень мембрано-связанных гликолипидов – ганглиосайдов, можно выявить в сыворотке крови большей части пациентов с нейробластомой, при чем, быстро растущая неоплазия увеличивает показатель в 50 и более раз, но активная терапия способствует значительному падению содержания маркера, рецидив же, наоборот, заметно его повышает.
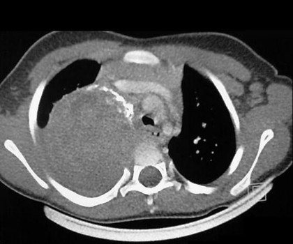
К другим методам диагностики нейробластомы относят:
нейробластома на диагностическом снимке
- Костно-мозговую аспирационную биопсию
и/или трепанобиопсию грудины и крыла подвздошной кости, биопсию подозрительных на метастазы очагов — полученный материал направляется на цитологический, иммунологический, гистологический, иммуногистохимический анализ (в зависимости от возможностей лечебного учреждения); - Ультразвуковую диагностику
, ведь УЗИ быстро и безболезненно находит новообразование в брюшной полости и органах таза; - Рентгенографию
грудной клетки, которая сможет отыскать локализованную там опухоль; - КТ, МРТ
и другие методы.
Подозрение на отдаленное метастазирование ставит задачу немедленного и особо тщательного изучения не только костного мозга, но и костей скелета. С данной целью использую такие методы, как R-графия, радиоизотопная сцинтиграфия, трепано- и аспирационная биопсия, КТ и МРТ.
Схемы лечения
В зависимости от стадии, существуют несколько схем лечения.
Стадия 1. Радикальная операция по удалению + наблюдение за ребенком, как профилактика возможных рецидивов.
Стадия 2.
А. Оперативное лечение во всех случаях, кроме «гантелеподобной» нейробластомы.
Б. Химиотерапия с последующей радикальной операцией.
Стадия 3-4. Обычно не подлежит удалению. Если есть возможность, удаляют агрессивно, часто с частями органов и здоровых тканей. Проводят химиотерапию, обязательна пересадка костного мозга.
Нейробластома забрюшного пространства 4 степени
Данная опухоль может образовываться вдоль позвоночного столба. Нейробластома забрюшинного пространства встречается очень часто (50%) и считается одной из худших, так как в этой области тела находятся почки с надпочечниками, мочеточники, поджелудочная железа, грудной проток, стволы, часть двенадцатиперстной, ободочной кишки, брюшной аорты, полой вены, локализуются лимфоузлы и сосуды.
: увеличение живота, усложняются процессы дыхания, происходит деформация грудной клетки, онемение ног, паралич, нарушается работа мочевого пузыря, кишечника, повышается температура, давление, проявляются отеки.
На 4 стадии поражаются лимфоузлы, костный мозг, появляется хромота, иммунитет сводится к нулю, человек становится слабым, бледным, увеличивается печень, на коже наблюдаются синюшные пятна. Лечение данной злокачественной опухоли в забрюшинном пространстве зависит от того, где изначально она образовалась, из каких клеток.
Нейробластома на четвертой S стадии (1 и 2 степени, метастазы в печень, костный мозг, кожа) может самопроизвольно регрессировать или перейти в доброкачественную. Это случаться у детей до 1 года.
Одним из самых распространенных онкологических заболеваний, встречающихся в детском возрасте, является нейробластома – злокачественная опухоль. В числе новообразований у детей она занимает 4 место после лейкоза, злокачественной лимфомы и саркомы.
Выявляется нейробластома в раннем детском возрасте – в период от 1 года до 3 лет. Определенной локализации нейробластома не имеет – может образоваться в любой части тела, однако наиболее серьезная локализация – в области заднего средостения и за брюшиной.
Причина
Единственной достоверной причиной возникновения нейробластомы можно считать наследственный фактор.
Формы нейробластомы
Существует 4 формы нейробластомы – в зависимости от локализации и типа клеток.
Мелуллобластома
. Локализуется глубоко в мозжечке, из-за чего ее оперативное удаление делается очень сложным. Характерна мелуллобластома быстрым появлением метастазов и от этого – быстрым летальным исходом. Первые симптомы развития мелуллобластомы можно заметить по нарушению равновесия и координации движения.
Ретинобластома
. Она поражает сетчатку глаза. Развитие этой опухоли приводит к метастазам в головной мозг и слепоте.
Нейрофибросаркома
. Это злокачественная опухоль симпатической нервной системы. Располагается обычно в брюшной полости и дает метастазы в лимфатические узлы и в кости.
Симпатобластома
. Локализуется в надпочечниках и симпатической нервной системе. Впервые образуется у плода в чреве матери при формировании нервной системы. Локализуется в грудной полости. Поражает спинной мозг, от чего происходит паралич конечностей.
Четвертая стадия нейробластомы
Развитие нейробластомы проходит четыре стадии. Наиболее тяжелая – четвертая стадия. В этой стадии нейробластома отдаленно метастазирует в кости скелета, лимфатические узлы, мягкие ткани и проч. 4 стадия является генерализованной формой заболевания. В свою очередь 4 стадия нейробластомы по классификации 1987 года разделяется на 4А и 4В. Стадия 4А – это Т1, Т2 и Т3 – соответственно единичная опухоль размером менее 5 см в диаметре, единичная опухоль размером от 5 до 10 см в диаметре и единичная опухоль более 10 см в диаметре. Кроме того, к стадии 4А относятся:
M 1 — имеются отдаленные метастазы. При этой стадии нейробластомы проводится операция по удалению первичной опухоли, а до и после нее проводится химиотерапия – несколько курсов винкристина и циклофосфамида.
Стадия 4В – это Т4 множественные синхронные опухоли; N — нельзя определить, есть ли поражения регионарных лимфатических узлов; М — нельзя оценить, есть ли отдаленные метастазы.
Лечение детей этой стадии – очень трудная задача. Необходима прежде всего агрессивная тактика интенсивной высокодозной химиотерапии. Требуется также пересадка костного мозга.
Диагноз при четвертой стадии нейробластомы плохой – даже при использовании современных программ терапии пятилетняя выживаемость не превышает 20%.
К сожалению, онкологические недуги безжалостны и не выбирают себе жертву, а поражают всех подряд – и взрослых, и деток. Определенный процент заболевания этого плана встречаются исключительно у представителей определенных групп. Так, есть заболевания, свойственные исключительно для мужчин или для женщин, например, рак простаты или онкологическое поражение шейки матки. Кроме того есть отдельный список недугов, поражающих лишь самых незащищенных представителей человечества, а именно – деток. Среди таких видов онкологического поражения находится и нейробластома.
Болезнь нейробластома – заболевание относящееся к группе солидных опухолей и имеет злокачественную природу. Она развивается из незрелых клеточек симптатической нервной системы, которые подверглись мутации. Соответственно, опухоль может локализироваться в любом месте, где располагаются ткани такого типа. В большей части случаев образование располагается в мозговых слоях надпочечников, а также в районе нервных сплетений с обеих сторон позвоночника. Как показывает статистика, чаще всего нейробластому находят в зоне живота и лишь одна пятая часть формирований вырастает выше – около груди или шеи.
Стадии
Медики выделяют четыре основных стадии развития нейробластомы:
В первой стадии роста опухоль локализируется в районе первичного очага;
Ко второй стадии она покидает его пределы, однако еще не выходит на другую сторону позвоночного столба;
Нейробластома 3 стадии затрагивает обе стороны позвоночника, сопровождаясь поражением лимфатических узлов;
Четвертая стадия развития нейробластомы характеризуется выделением отдельных метастаз в разные органы, ткани, костную систему и лимфоузлы.
Стадии развития могут протекать по-разному, что зависит от индивидуальных особенностей организма. Так в раннем детском возрасте (до достижения одного года) рост образования происходит особенно стремительно. При метастазировании поражается головной мозг, кроме того страдают кости, печень, кожа и самые отдаленные лимфоузлы.
Лечение
После уточнения диагноза для которого используется исследование клеток, забранных при помощи биопсии, доктор подбирает наиболее подходящую схему терапевтической коррекции нейробластомы. Меры, используемые при этом, зависят от множества различных факторов, среди которых общее состояние здоровья, стадия недуга, разные индивидуальные особенности.
Специалисты проводят пункцию головного мозга, чтобы узнать поражен ли он. Для определения размеров образования, а также для поиска метастаз используют технологии ультразвука, а также томографию (компьютерную и магниторезонансную), сцинтиграфию, остеосцинтиграфию, а также позитронно-эмиссионню томографию.
Для терапии нейробластомы обычно используют следующие методики:
Химиотерапевтическое воздействие;
Методы лучевой терапии;
Оперативное хирургическое лечение.
Если заболевание находится на первой и начальной второй стадии формирования, то опухоль удаляют хирургическими методами. Обычно радикальная резекция нейробластомы на ранней стадии развития не вызывает в дальнейшем рецидивов и метастазирования.
Если опухоль еще не распространилась на вторую часть позвоночного столба, но уже дает метастазы, после операции больному понадобиться пройти еще курс, включающий в себя послеоперационную химиотерапию, а также облучение.
Если больному был поставлен диагноз «третья стадия нейробластомы» — это говорит о довольно крупных размерах образования, что делает его неоперабельным. На этом этапе доктора прикладывают все усилия, чтобы немного уменьшить размеры опухоли без хирургического вмешательства. Для этого может осуществляться дооперационная химиотерапия, после которой операция может стать возможной. После проведения резекции образования для того чтобы устранить резидуальные опухоли практикуется использование методов лучевой терапии.
К сожалению, несмотря на высокий уровень развития современной науки и техники, медицина еще не способна эффективно излечивать нейробластомы на четвертой стадии развития. На этом этапе даже использование максимальных доз химиотерапевтического воздействия в комплексе с пересадкой костного мозга часто не оказывает желаемого результата.
У маленьких пациентов иногда диагностируют болезнь на так называемой четвертой «с» стадии развития. Такая разновидность опухоли характерна для детей до года, она представляет собой наличие первичного образования, а также отдаленных метастаз. Как показывает докторская практика, такой недуг частенько регрессирует сам собой.
Прогноз
Мы говорили о том что собой представляет нейробластома, 4 стадии, симптомы, лечение болезни рассмотрели. Если нейробластома была обнаружена на первой стадии своего развития, то терапия в ста процентах случаев оканчивается полным выздоровлением. Примерно такие же результаты (97%) наблюдаются и у пациентов со второй стадией. При обнаружении опухоли на третьей стадии роста и развития выздоровление наступает в 60% случаев, если лечение было грамотным и своевременным.
Однако, если недуг был обнаружен уже на четвертой стадии, то процент выздоровления намного меньше – всего лишь 10-20%. Тем не менее, нужно учитывать, что уровень развития нашей медицины продолжает расти. На сегодняшний день медики разрабатывают и тестируют новые разновидности химиотерапевтического и иммунотерапевтического воздействия, которые дадут шансы на жизнь даже очень серьезным больным с запущенными формами рака.
Нейробластома – сугубо «детская» опухоль, взрослым она уже не грозит. Это злокачественное новообразование берет свое начало где-то на уровне эмбриогенеза, развиваясь из нейробластов – зародышевых клеток симпатической нервной системы, которым назначено было стать полноценными нейронами. Однако в силу различных обстоятельств созревание нейробластов нарушается, они остаются в зародышевом состоянии, но при этом не теряют способности к росту и делению. Наличие в нервной ткани новорожденного ребенка очагов нейробластов, которые не завершили свое созревание, во многих случаях и есть нейробластома.
Терапия стволовыми клетками
При высокой степени риска смертельного исхода проводят аутогенную трансплантацию стволовых клеток. Костный мозг людей выращивает стволовые клетки, из которых потом зреют другие клетки крови. Врачи с помощью аппаратуры пропускают кровь малыша через фильтр, собирая стволовые клетки. Далее убивают высокой дозой химии оставшиеся опухолевые клетки, снова вводят стволовые клетки, которые перемещаются обратно в костный мозг и где снова начинается кроветворение.
Как лечится нейробластома у ребенка?
Лечение будет зависеть от стадии и других факторов. Рак можно вылечить любым из перечисленных ниже способов:
- Операция. Хирургическое вмешательство часто проводится для удаления как можно большего количества опухоли (резекция). Операция может оказаться невозможной, если рак распространился.
- Химиотерапия. Это лечение рака с применением токсичных лекарств, которые убивают раковые клетки или останавливают их рост. Их можно вводить в вену, вводить в ткани или принимать внутрь перорально. Их можно вводить до или после операции, или же они могут быть основным лечением нейробластомы, если операция невозможна. Лекарство вводится циклично, с перерывами между приемом.
- Радиационная (лучевая) терапия. Терапия с применением высокоэнергетических рентгеновских лучей или других видов излучений. Лучевая терапия применяется, чтобы убить раковые клетки или остановить их рост. Излучение может быть проведена снаружи тела (внешнее) или внутри тела (внутреннее), при котором в вену вводиться радиоактивный йод (MIBG). Ребенку необходимо будет остаться в больнице до окончания лечения.
- Химиотерапия/излучение в высоких дозах с трансплантацией стволовых клеток. Молодые здоровые кровяные клетки (стволовые клетки) берутся у ребенка или у кого-то другого. За этим следует применение большого количества химиотерапевтических и/или радиационных препаратов. Это приводит к повреждению костного мозга. После химиотерапии или облучения ребёнку пересаживаются стволовые клетки для обновления костного мозга.
- Иммунотерапия. Эта процедура помогает иммунной системе организма атаковать раковые клетки. Применяется, также, когда есть высокий риск возвращения рака.
- Ретиноидная терапия. Ретиноидная терапия может быть назначена после химиотерапии/излучения в высоких дозах и трансплантации стволовых клеток. Он может быть рекомендован при высоком риске возврата рака. Это уменьшит вероятность рецидива или повторения.
- Поддерживающая терапия. Назначается после основного лечения, за которым следуют различные побочные эффекты. При болях, лихорадке, инфекциях, тошноте и рвоте назначаются лекарства и другие методы терапии.
При любом раке ожидаемое выздоровление ребенка (прогноз) может быть разным. Иметь ввиду:
- Немедленное получение медицинской помощи важно для лучшего прогноза.
- Необходимо постоянное последующее наблюдение во время и после лечения.
- Проходите испытания новых методов лечения, если врачи их предлагают, это возможно поможет улучшить результаты и снизить побочные эффекты.
Стадии заболевания
Медики выделяют четыре стадии проистечения нейробластомы:
Первая стадия: нейробластома локализуется в зоне первичного очага.
Вторая стадия: новообразование покидает первичный очаг, но еще не достигло другой стороны позвоночника.
Третья стадия: опухоль поражает обе стороны позвоночника и лимфатические узлы.
Четвертая стадия: нейробластома распространяет метастазы в отдаленные мягкие ткани, в кости, в лимфу.
Прогноз
Общая пятилетняя выживаемость детей с нейробластомой оставляет семьдесят процентов. Чем выше стадия онкологии, тем меньше шансов на успешное лечение. При четвертой стадии рака у ребенка выживаемость в течение пяти и более лет оставляет всего сорок процентов, однако у детей до одного года эта цифра достигает шестидесяти. Чем младше ребенок, тем больше у него шансов даже при высоких стадиях.
Если на первой или второй стадии было произведено лечение, то нейробластома крайне редко рецидивирует. Более часто рецидивы возникают после лечения третьей степени опухоли, но не с меньшей частотой, чем при других формах рака. У малышей 4 стадия очень часто приводит к рецидиву, что делает прогноз неблагоприятным при выявлении патологии на позднем сроке.



