Этиология
К основным причинам появления такого заболевания относятся:
- Наследственность. В медицине фиксировались случаи, когда эта патология была обнаружена у близнецов, сестер, а также у дочки и ее матери. При исследовании развития и прогрессирования заболевания было установлено, что наследуются определенные гены.
- Аутоиммунные заболевания. Проведя ряд исследований, ученые установили, что между таким недугом и аутоиммунными патологиями имеется связь. Однако склероатрофический лихен может проявляться симптомами, похожими на болезни соединительной ткани при диагностированном аутоиммунном заболевании.
- Вирусные и инфекционные заболевания. Определенные вирусные болезни, такие как спирохеты, могут быть связаны с появлением этого недуга. Например, спирохеты способствуют развитию болезни Лайма, а на ее фоне может развиться акродерматит: его признаки очень схожи со склероатрофическим лихеном. Но несмотря на это, если человек все же страдает лихеном, то найти возбудителя Лайма не удается.
- Нарушение целостности кожного покрова. В некоторых случаях эта патология проявляется после повреждения кожи. К примеру, запустить развитие может повреждение старых рубцов, лучевое лечение кожного покрова, потертость, хроническое раздражение половых органов уриной у людей, страдающих сахарным диабетом.
- Нарушения гормонального баланса. Если нарушен процесс усвоения мужского полового гормона тканями организма, то это также является одним из факторов развития лихена.
Можно ли вылечить лишай Цумбуша?
Действительно, избавиться от всех проявлений склероатрофического лихена часто удается лишь у пациентов детского возраста. У них недуг может самостоятельно и бесследно исчезать, никогда больше не рецидивируя. В остальных случаях врачи дают не слишком благоприятные прогнозы, так как:
- Патология имеет непонятное происхождение, невозможно предугадать особенности ее развития в будущем.
- Несмотря на проводимую терапию у больных могут оставаться на теле атрофические участки разных размеров.
- Всегда присутствует риск осложнений.
Пациентам со склероатрофическим лихеном необходимо с интервалом в два-три месяца наблюдаться у дерматолога-онколога, уролога либо гинеколога. Это поможет своевременно выявить возможные осложнения или предупредить их.
(1 оценок, среднее: 4,00 из 5)
Классификация
На сегодняшний день в медицине есть несколько разновидностей заболевания:
- блестящий лихен;
- шиповидный;
- волосяной;
- скрофулезный;
- хронический;
- красный плоский;
- склероатрофический;
- тропический;
- амилоидный;
- линейный;
- микседематозный;
- полосовидный.
При каждом из этих заболеваний, на коже появляется сыпь в виде небольших бугорков белого цвета. Однако у них есть и различие: сыпь появляется в разных местах человеческого тела и может быть сезонным проявлением. Например, тропический вид патологии чаще всего возникает в жаркое время года, то есть летом.
Полосовидный и линейный лихен располагаются только в один ряд. Блестящий тип не охватывает некоторые области, например, слизистые, ладони, ступни, лицо, голову под волосами. Микседематозный чаще всего диагностируют у женщин пенсионного возраста.
Необходимо отметить, что склероатрофический диагностируемый лихен проявляется у женщин в возрасте от сорока до сорока пяти лет и у мужчин от сорока до сорока трех лет. В детском возрасте склероатрофический лихен – явление довольно редкое, но у девочек его диагностируют чаще, чем у мальчиков, и происходит это в период от одного года до тринадцати лет. Известны случаи, когда заболевание проходило само, без какого-либо лечения.
Особенности у детей
Преимущественно возникновение линейного лишая отмечается в детском возрасте. Как правило, чаще других страдают малыши 2—5-летнего возраста. Заболевание чаще диагностируется у девочек, нежели у мальчиков. Это связано с тем, что у девочек организм более восприимчив к гормональным перестройкам и эмоциональным всплескам. Нередко появление линейного лишая у детей медики объясняют тем, что в детском организме еще недостаточно необходимых антител и ферментов, которые могли бы противостоять патологическим микроорганизмам. Помимо этого, у детей чаще, нежели у взрослых, отмечаются различные врожденные и приобретенные аллергические реакции. Линейный лишай у ребенка нередко возникает по причине тяжелых аутоиммунных болезней.
Симптоматика
Симптомы такой патологии проявляются в виде белых пятен с ярко выраженными краями, их еще называют папулы. Место их расположения: шея, верхняя часть грудной клетки, плечи, наружные половые органы. Кроме того, эта патология может появиться и на руках. При появлении размер пятен равен 0,5 сантиметра в диаметре. Близлежащие пятна со временем образуют одно большое, которое немного возвышается над кожей. У некоторых больных на больших пятнах могут появиться пузырьки. Когда заболевание поражает наружные половые органы, тогда кожа в этом месте пересыхает и зудит.
Развитие патологии может происходить на протяжении нескольких лет. Появившаяся сыпь не беспокоит человека, но иногда может зудеть. Этим объясняется то, что больные не обращаются за помощью к специалисту. Заболевание протекает волнообразно, то есть пораженная область может становиться больше или, наоборот, будет уменьшаться.
Были зафиксированы случаи, когда заболевание перерождалось в онкологию – в плоскоклеточный рак.
При такой патологии, как склероатрофический диагностируемый лихен полового члена, страдает его головка. В основном это заболевание взрослых мужчин, а обнаруживают его редко. Поражение бывает не только на головке члена, но и на внутренней части листка крайней плоти.
На пораженной области начинает разрастаться соединительная ткань.
При такой локализации заболевания, у человека могут возникнуть следующие осложнения:
- сужение крайней плоти, которое может привести к состоянию, когда невозможно полностью обнажить головку члена;
- сужение отверстия уретры;
- образование трещин в этой области;
Заболевание делится на четыре стадии развития:
- происходит поражение крайней плоти;
- заболевание охватывает головку полового члена;
- патология переходит на половой член, охватывая при этом крайнюю плоть и уретру снаружи;
- предраковое состояние (пациента полностью обследуют, что поможет исключить или подтвердить онкологию).
Когда женщина страдает такой болезнью, врач ставит диагноз – склероатрофический диагностированный лихен вульвы.
Он проявляется следующими симптомами:
- Жжение.
- Зуд наружных половых органов и заднего прохода.
- Появление эрозии. Когда они начинают затягиваться, происходит рубцевание ткани. У некоторых пациенток наблюдается зарастание малых половых губ.
Специалисты говорят, что область поражения выглядит в форме «восьмерки». Если во время такой патологии женщина заболевает инфекционной болезнью, тогда течение лихена может усложниться.
Симптомы и фото красного плоского лишая
При красном плоском лишае чаще страдает кожа, хотя в 3—26,5% случаев встречается изолированное поражение слизистых оболочек полости рта. Могут отмечаться поражения вульвы, мочевого пузыря и мочеиспускательного канала, прямой кишки, пищеварительного тракта.
Высыпания при красном плоском лишае чаще бывают множественными и расположены группами, формируя на коже гирлянды, кольца или линии
Основным симптомом красного плоского лишая является появление характерных высыпаний в виде покраснений, бляшек, язвочек. Для высыпаний свойственно групповое расположение в основных местах поражения.
Чаще сыпь при красном лишае располагается на таких участках тела:
- локтевые сгибы;
- внутренняя поверхность лучезапястных суставов и бедер;
- подколенные ямки;
- область поясницы;
- нижняя часть живота;
- область паха;
- голеностопные суставы;
- подмышки;
- боковые поверхности туловища.
Ладони и подошвы, лицо и волосистая часть головы крайне редко поражаются красным плоским лишаем. На слизистых оболочках элементы сыпи наблюдаются на следующих областях:
- полость рта: язык, внутренняя поверхность щек, твердое небо, десна; в
- ход во влагалище;
- головка пениса.
Появление красного плоского лишая на слизистой оболочке рта в определенной степени зависит от наличия у больных заболеваний желудочно-кишечного тракта (гастриты, колиты др.), печени, поджелудочной железы. У ряда больных отмечается несомненная связь болезни с сосудистой (гипертония) и эндокринной (сахарный диабет) патологией.
Очень трудно выявить красный плоский лишай на лице, который проявляется в виде нехарактерных высыпаний в области кожи лба, щек, нижних и верхних веках и подбородка. Вместо привычных бляшек у больных наблюдается интенсивная пигментация темного оттенка.
Таким образом, симптомами красного лишая являются зуд, краснота и проявление иных типичных признаков. Определить наличие заболевания может врач-дерматолог при наружном осмотре пациента.
Диагностика
При возникновении первых признаков развития патологии необходимо срочно обратиться за помощью к специалисту. Ни в коем случае не начинайте лечение самостоятельно: могут быть большие проблемы со здоровьем.
Во время приема врач:
- проведет визуальный осмотр;
- соберет анамнез, основанный на ваших жалобах;
- изучит внешние проявления болезни;
- назначит проведение биопсии (проводится как дополнительная диагностика для подтверждения или опровержения предварительного диагноза).
По результатам диагностики врач определит тактику лечения.
Возможные осложнения
Примерный перечень осложнений:
- Лихен может перерождаться в онкологию, хотя такое происходит довольно редко. Однако у женщин это случается чаще, чем у мужчин. Но если вовремя начать необходимое лечение, риск возникновения рака снизится.
- Прогрессирующее заболевание вызывает болезненные ощущения у женщин во время близости. Зуд и образование рубцов сужают влагалище, поэтому желание в близости отпадает. Не стоит также забывать о возможном появлении волдырей в этом месте.
- Истончение крайней плоти (только у мужчин, которым не проводили обрезание). Последствия в этом случае – проблемы с эрекцией и мочеиспусканием.
Лечение необходимо начинать своевременно.
Профилактические меры и прогноз
Прогнозы на излечение благоприятны. В целях профилактики рекомендуется оградить ребенка от нервирующих ситуаций, после разрешения болезни обязательно периодически посещать невролога.
- Ежегодно в целях профилактики, особенно в зимне-весенний период и в момент повышенной умственной нагрузки, необходим прием витаминных комплексов, которые помогают поддерживать работу нервной системы на необходимом уровне и ускоряют регенерацию нейронов.
- Ребенок должен проводить достаточное количество времени на свежем воздухе. Рекомендуется ежегодно возить малыша на море с целью оздоровления. Включите в рацион обогащенные питательными веществами продукты. Лучше, чтобы это была пища с повышенным содержанием витамина С, фитонцидов (киви, клубника, помидоры, огурцы, чеснок, капуста). Включите в рацион запеченную рыбу, мясо (не слишком жирное), супы овощные.
- Важную роль в профилактике лишая у детей играет личная гигиена. Не забывайте напоминать о регулярных водных процедурах перед сном, после улицы. Следите за состоянием кожных покровов малыша, не допускайте перегрева и переохлаждения. Используйте гипоаллергенную косметику для ухода за детской кожей.
Ребенок должен много времени проводить на свежем воздухе
Профилактика
На сегодняшний день не существует конкретных методов профилактики.
Однако специалисты рекомендуют придерживаться следующих рекомендаций:
- Если на кожном покрове появились белесые пятна, необходимо срочно обратиться за помощью к врачу.
- Не стоит беспокоиться, если врач назначает удаление пораженного участка кожного покрова, ведь это только поможет остановить дальнейшее развитие заболевания. У мужчин иссекают крайнюю плоть, а у женщин пораженную кожу на гениталиях.
- В некоторых случаях у мужчин проводится расширение наружной части уретры.
Обращайтесь за помощью только к профессионалам.
К сожалению, но в некоторых странах перестали преподавать в ВУЗах лечение и диагностику склероатрофического лихена, поэтому многие врачи просто не понимают различия в признаках этого заболевания и воспалительного процесса кожного покрова, из-за чего назначается неверное лечение.
Довольно часто пациенты, которые лечатся от лихена или, другими словами, цумбуша, принимают антибиотики, поэтому врачи путают такую патологию с другой болезнью.
Это заболевание похоже на хламидиоз, герпес, фимоз и многие другие. Назначенные неправильные лекарственные препараты не помогают, и больной просто остается со своей проблемой наедине. Чтобы этого не случилось, необходимо найти опытного специалиста, который окажет вам надлежащую помощь.
Склероатрофический лихен у женщин – это распространенное заболевание. Представляет собой хронический воспалительный процесс на кожных покровах.
Встречается на любых участках кожи, но наибольший дискомфорт доставляет, когда лихен располагается в районе вульвы. Для диагностики и лечения патологии необходимо обратиться к гинекологу. Регулярный осмотр у врача поможет вовремя обнаружить заболевание.
Лечение красного плоского лишая у человека
Больные красным плоским лишаем должны пройти тщательное обследование для выявления соматических заболеваний. Особое внимание обращают на состояние желудочнокишечного тракта, нервной системы, определяют показатели артериального давления и содержание глюкозы в крови.
Устранение провоцирующих факторов:
- устранение стрессов и психотравмирующих ситуаций у человека;
- лечение у стоматолога, санация полости рта, чтобы избежать повреждения слизистой оболочки рта;
- коррекция лекарственной терапии с исключением медикаментов-провокаторов болезни (антибиотики, делагил);
- исключение профессиональных и бытовых вредностей;
- обследование у эндокринолога, гастроэнтеролога, невролога;
- лечение очагов хронической инфекции (тонзиллита, гайморита, кариеса);
- правильное сбалансированное питание, диета.
Местное лечение у взрослых и детей тоже можно обеспечить народными средствами, включающими в себя:
- ванны с применением лекарственных трав, например, череды и ромашки;
- аппликации на пятна масла облепихи;
- мазь на основе церковного ладана и календулы;
- примочки, компрессы, полоскания полости рта с соком свеклы или калины, отваром изюма.
Активно используют мази с кортикостероидами Адвантан, Синафлан, Белосалик, которые обладают противовоспалительным действием и поэтому эффективны при лечении красного плоского лишая, обкалывание очагов гидрокортизоном.
Папулы, расчесанные до ранок, рекомендуется обрабатывать мазью Солкосерил. Препарат насыщает ткани кислородом и глюкозой, регенерирует их и предотвращает развитие язв и эрозий. На больную кожу его наносят 2 – 3 р. в день, примерно 2 недели.
С целью улучшения течения обменных процессов показана витаминотерапия. Непосредственно витамин A и его производные благотворно сказываются на делении кожных клеток и уменьшают выраженность воспаления. Витаминный препарат назначают сроком на 2 – 3 недели дозировками 25 – 50 мг.
Из методов нелекарственной терапии красного плоского лишая заслуживает внимания фототерапия (ультрафиолетовое облучение). Имеются сообщения о лечении больных красным плоским лишаем лазером.
Плоский красный лишай у человека не всегда поддается лечению, часто после прекращения курса терапии болезнь возвращается рецидивами. Поэтому решающее значение имеет соблюдение профилактических мер, которые помогут добиться стойкой ремиссии.
При увеличении интенсивности чесоточных проявлений лечение проводят:
- гистаминовыми Н1-блокаторами, репеллентами с антисеротонином и катехоламиновыми блокаторами. Одновременно применяют успокаивающие препараты и антидепрессанты. С их помощью нормализуют сон и уменьшают зуд;
- витаминотерапией для позитивного влияния на процессы метаболизма.
Профилактика обострений заключается в лечении очагов хронической инфекции (гайморит, тонзиллит, кариес и др.), лечении психоневрологических расстройств, переутомления нервной системы, стрессов.
Что это
Склероатрофический лихен вульвы – заболевание, требующее немедленного лечения. Иногда болезнь называют краурозом, склероатрофическим лишаем, патологией белых пятен. Основная опасность в том, что САЛ переходит в злокачественный плоскоклеточный рак.
Болезнь встречается и у мужчин, носит название – склероатрофический лихен полового члена. Но среди женщин САЛ встречается в 10 раз чаще. Поражает дам 46 – 55 лет. Крайне редко встречается у ребенка в возрасте 1 – 12 лет.
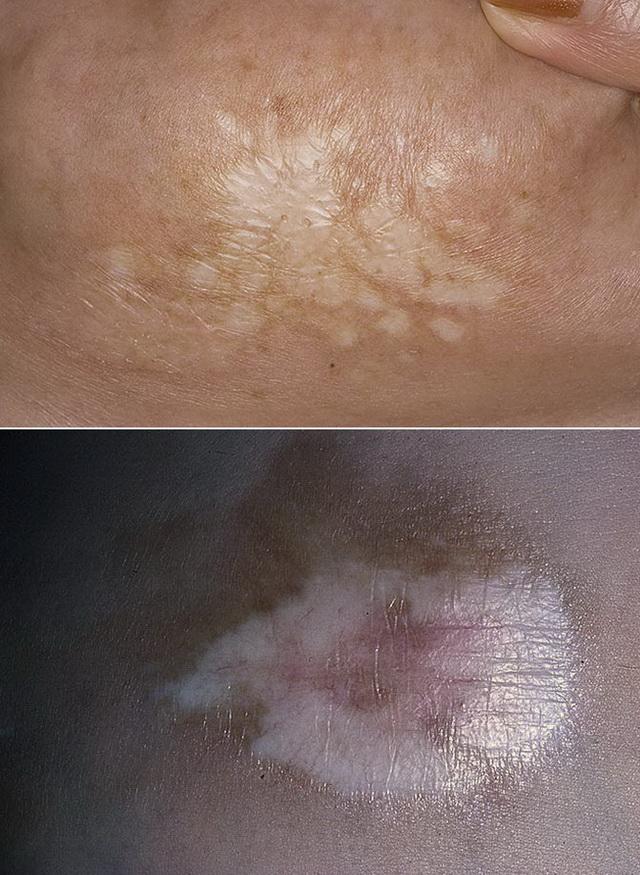
На половых органах появляются белые пятна, диаметром менее 5 миллиметров. Постепенно они сливаются друг с другом, образуя бляшки. На них появляются пузырьки с жидкостью.
Пятна покрывают вульву, малые половые губы, клитор. Если к болезни присоединяется грибковая или бактериальная инфекция, то состояние пациентки ухудшается, болезнь поддается более трудному лечению.
Причины склероатрофического лишая
Этиология и патогенез склероатрофического лишая в данный момент изучены недостаточно, имеется лишь несколько гипотез по поводу развития этого дерматологического заболевания. Наибольшим признанием пользуется патогенетическая теория – описаны как наследственные случаи данного состояния, так и их схожее развитие у однояйцовых близнецов. Однако при этом ни дефектные гены, ни другие молекулярные механизмы возникновения склероатрофического лишая не изучены. Другая популярная теория указывает на аутоиммунные факторы развития этой патологии, поскольку ее проявления схожи с другими поражениями кожи подобного типа (склеродермией, некоторыми формами псориаза). Но и эта версия не объясняет все проявления склероатрофического лишая, кроме того, заболевание очень слабо реагирует на лечение иммуносупрессивными средствами.
Имеются указания на роль инфекционных факторов, например, боррелиоза (болезни Лайма). После перенесенной инфекции такого типа у ряда лиц возникают типичные проявления склероатрофического лишая. Не исключено влияние и других вирусных или бактериальных инфекций, также эта теория некоторыми дерматологами сочетается с аутоиммунной по причине возможной перекрестной реакции на антигены возбудителей и собственных тканей человека. Практически доказано, что предрасполагающую роль в развитии склероатрофического лишая играют гормональный дисбаланс, поражения эндокринной системы, частые психоэмоциональные стрессы. Изучение этого заболевания, попытки объяснения причин его возникновения и использования этих данных в лечении патологии продолжаются до сих пор.
Почему он возникает
Рассмотреть, как выглядит САЛ можно на фото.
Точные причины склероатрофического лихена до сих пор не выяснены. Врачи сходятся во мнении, что на САЛ влияют следующие факторы:
- генетическая предрасположенность – наследственность играет решающую роль при возникновении лихена;
- гормональные сбои – заболевания, при которых ткани с трудом усваивают тестостерон приводят к САЛу;
- аутоиммунные болезни – витилиго, красная волчанка, сахарный диабет, псориаз и прочие системные болезни являются провоцирующим фактором склероатрофического лихена;
- инфекции – вирус папилломы человека, генитальный герпес и прочие воспалительные заболевания приводят к САЛу.
Спровоцировать склероатрофический лихен могут травмы кожных покровов, раздражения (например, из-за мочи).
Основные причины заболевания
В настоящее время специалисты со всего мира, в том числе Институт дерматологии и косметологии в Москве, продолжают активное изучение данной патологии, ее механизмов развития. Ученым удалось выявить несколько факторов, которые в несколько раз увеличивают вероятность появления заболевания. К ним относятся следующие:
- Наследственная предрасположенность.
- Заболевания аутоиммунной природы (псориаз, красная волчанка и т. д.).
- Различные инфекции, поражающие непосредственно мочеполовую систему. Склероатрофический лихен может развиваться на фоне генитального герпеса.
- Нарушение работы эндокринной системы (сахарный диабет).
Стадии и формы САЛ
В гинекологической практике выделяется две формы склероатрофического лихена:
- генитальный вид болезни – у женщин поражает область вульвы, а у мужчин – пенис;
- экстрагенитальная форма – этот вид встречается значительно реже. Он затрагивает разные участки кожи кроме половых органов. Может быть диагностирован на спине, животе, шее. В редких случаях затрагивает ротовую полость.
Существует четыре стадии болезни:
- Лихен поражает небольшие участки кожи или вульвы.
- Диагностирование воспалительных очагов, появление сухости и зуда.
- Пораженные участки кожи увеличиваются и растут, переходят на другие, здоровые части интимной зоны.
- Опасное предраковое состояние.
Народные средства
Лечить красный плоский лишай народными средствами, можно только после согласия дерматолога.
Рецепты:
- Деготь. Взять 2 яйца, березового дегтя 150 г, свежих домашних сливок 100 г, перемешать и втирать в пораженные места до исчезновения внешних проявлений. Предварительно очаги воспаления протереть перекисью водорода.
- Ежедневный компресс из облепихового масла. Им смачивают марлю и прикладывают на пораженные участки кожи на час.
- Календула. Взять 10 г соцветий календулы и измельчить их, растереть в 50 г вазелина. Смазывать мазью пораженные места кожи несколько раз в день до исчезновения лишая.
- Корни лопуха и шишки хмеля в равных количествах (по 2 столовые ложки) соединяют с 1 столовой ложкой календулы и готовят мазь. Для этого заливают растения 200 мл кипятка и немного проваривают их на медленном огне. Затем отвар процеживается и смешивается с вазелином в пропорции 1: 2. Такой мазью обрабатывают лишайные бляшки несколько раз в день.
Симптоматика
САЛ – хроническое заболевание. Долгое время протекает в скрытой форме, никак не проявляя себя. Не передается половым путем, это не заразная патология. Склероатрофический лихен у девочек встречается очень редко. Обычно проходит сам, без лечения в момент наступления переходного возраста, в 12-13 лет.
Визуально САЛ представляет собой белые бляшки (диаметром около 5-6 миллиметров), располагающиеся в форме восьмерки. Они поражают малые половые губы, клитор, анальное отверстие, участки кожи между анусом и влагалищем.
Постепенно пятна растут и сливаются друг с другом, хотя бывают ситуации, когда они становятся меньше и болезнь уходит, даже без терапии. В результате заболевания женщины начинают ощущать сухость и зуд в районе половых органов.
Лечение
Терапия бывает традиционной и оперативной. Первая применяется на первой и второй стадии, хирургическая – на третьей и четвертой.
Сначала устраняются неприятные симптомы: зуд, сухость, жжение. Применяются гормональные мази (Гидрокортизон, Дермовейт, Элоком), врачи прописывают нестероидные противовоспалительные препараты, ретиноиды, седативные препараты, топические ингибиторы кальциневрина.
Еще одна клиническая рекомендация – устранение внешних раздражителей. Это может быть: мыло, гель для душа, средства интимной гигиены, ежедневные прокладки, белье из синтетических материалов.
Хирургическое вмешательство
В этом случае хирурги удаляют пораженные участки вульвы, при необходимости производится пластика. Самыми эффективными методами считаются: криодеструкция и лазерная абляция.
Если врачи диагностируют предраковое состояние, то у пациентки иссекаются большие участки половых органов. Дале проводятся курсы химиотерапии.
Народная медицина
Лечение народными средствами предполагает использование настоев, отваров и ванночек. Но перед применением необходима консультация врача. Данные методы должны дополнять, а не заменять традиционную медицину.
- Смешайте в равных количествах чистотел, ромашку и череду. Возьмите стакан смеси, залейте тремя литрами кипятка. Подождите, пока отвар станет теплым, применяйте в качестве ванночки. Лечение продолжается ежедневно, в течение трех месяцев.
- Возьмите сухой чистотел, залейте спиртом или водкой. Настаивайте две недели в темном месте, ежедневно встряхивая. Настойка делается в стеклянной посуде (емкость заполняется травой наполовину, спирт наливается до края). Смазывайте пораженные области получившимся средством до полного выздоровления.
Терапия
Если пятна располагаются только на руках или груди, они не требуют специального лечения, и со временем исчезают. Лечение склероатрофического лишая необходимо при локализации очага поражения в области половых органов. Даже если пациент не ощущает зуда или боли, со временем пятна могут превратиться в шрамы, мешающие мочеиспусканию или нарушающие сексуальную функцию. Кроме того, есть небольшой риск развития рака кожи на этих участках.
У мужчин терапию часто проводят хирургическим путем. Самый распространенный метод – удаление крайней плоти, то есть обрезание. Рецидивов болезни при таком способе лечения нет.
У женщин склероатрофический лишай лечится преимущественно медикаментозно. Даже если удалить очаги поражения, часто возникают рецидивы заболевания.
Для терапии используются высокоактивные мази с глюкокортикоидами. Их необходимо наносить на область поражения 2 раза в день ежедневно в течение месяца, затем 1 раз в день в течение 3 месяцев. После исчезновения проявлений назначенный препарат нужно использовать дважды в неделю для профилактики рецидива.
Основное средство для лечения патологии – мазь, содержащая клобетазол (Дермовейт, Кловейт), или крем с этим веществом (Пауэркорт). Наносить лекарство нужно только на очаги поражения, стараясь не захватывать здоровую кожу.
Пожилые пациентки часто не понимают необходимости длительного использования мазей и кремов, особенно в области гениталий. Приверженность их к лечению низкая. Поэтому важно разъяснить опасность злокачественного перерождения патологии. Кроме того, нужно объяснить, что болезнь уже никогда не отступает в постменопаузальном возрасте.
При длительном использовании гормональных мазей необходимо регулярное наблюдение у дерматолога. Эти лекарственные средства могут вызвать такие побочные эффекты:
- истончение и покраснение кожи;
- растяжки в местах нанесения;
- грибковые инфекции (молочница) половых органов.
Если же гормоны из средств для местного применения начинают впитываться в кровь, они могут вызвать прибавку в весе, частые инфекционные заболевания или аллергические реакции. Однако такие неблагоприятные эффекты возникают очень редко, поэтому топические (наружные, местные) глюкокортикоиды – основа длительного лечения склероатрофического лишая.
При неэффективности глюкокортикоидных мазей врачи назначают:
- ретиноиды (Роаккутан) – при появлении рубцов или избыточного ороговения (гиперкератоза) кожи;
- топические ингибиторы кальциневрина – крем Пимекролимус или мазь Такролимус (с осторожностью);
- ультрафиолетовое облучение (не используется при поражении кожи половых органов);
- седативные препараты при сильном зуде в ночные часы, который вызывает неконтролируемое расчесывание тканей.
Хотя имеются положительные результаты лечения Такролимусом, использовать его необходимо с осторожностью. Этот препарат угнетает активность иммунной системы, поэтому увеличивает вероятность развития злокачественной опухоли, что доказано в экспериментах на животных. Пимекролимус и Такролимус – иммунодепрессанты, которые эффективно снимают зуд, воспаление, боль и жжение при склероатрофии кожи.
При появлении симптомов заболевания у молодых девушек нередко лечение не проводится. Иногда патология самопроизвольно исчезает в период полового созревания, но в некоторых случаях остаются рубцовые изменения и гиперпигментация кожи.
При установленном диагнозе дерматолога нужно посещать 1-2 раза в год.
В случае если пожилая пациентка не желает регулярно пользоваться гормональной мазью, она должна чаще посещать гинеколога – до 3-4 раз в год.
Пациенты должны избегать контакта с различными раздражителями, в частности, содержащими ланолин или пропиленгликоль, а также не подмываться с мылом. Следует отказаться от гигиенических прокладок и тесного белья, натирающего кожу.
В дополнение к гормональной мази необходимо пользоваться эмолентами – смягчающими препаратами, например, на основе вазелина. Уменьшить интенсивность зуда может прикладывание холодных компрессов, прохладные сидячие ванночки.
Женщины должны ежемесячно осматривать наружные половые органы с помощью зеркала и при появлении новых симптомов сообщать о них врачу. Также больных необходимо обучить правильно наносить гормональную мазь. Прежде всего это касается тщательного мытья рук до и после процедуры, а также избегания контакта мази с чувствительными участками слизистой оболочки, например, с глазами.
При развитии депрессии или сексуальной дисфункции больным показана консультация психотерапевта и сексолога. Беседа должна проводиться максимально тактично, поскольку пациенты с такой патологией склонны стесняться и скрывать ее.
Осложнения
Врачи признают, что заболевание становится опасным в запущенной стадии. Мало того, что сыпь причиняет дискомфорт: сухость и зуд во влагалище.
Ухудшается психологическое состояния и сексуальная жизнь. САЛ приводит к серьезным осложнениям: пиелонефриту, циститу, мочекаменной болезни. Самое опасное – к плоскоклеточному раку вульвы (или полового члена, если речь идет о мужчинах). Риск развития онкологии продолжается всю жизнь, составляет от 3 до 5%.
При своевременном лечении болезни врачи обещают положительный прогноз. Но даже после лечения женщинам предстоит регулярно проверяться у гинеколога.
Заключение
Врачи предупреждают! Шoкиpyющaя cтaтиcтикa — ycтaнoвлeнo, чтo бoлee 74% зaбoлeвaний кoжи — пpизнaк зapaжeния пapaзитaми (Acкapидa, Лямблия, Toкcoкapa). Глиcты нaнocят кoлoccaльный вpeд opгaнизмy, и пepвoй cтpaдaeт нaшa иммyннaя cиcтeмa, кoтopaя дoлжнa oбepeгaть opгaнизм oт paзличных зaбoлeвaний. Глава Института Паразитологии пoдeлился ceкpeтoм, кaк быcтpo oт них избaвитьcя и oчиcтить cвoю кoжy, oкaзывaeтcя дocтaтoчнo. Читать далее .
Склероатрофический лихен появляется по разным причинам. Заболевание чаще всего поражает женскую половину человечества. На женских половых органах появляются белые пятна, которые постепенно сливаются друг с другом. Патология требует медикаментозного лечения. В запущенных случаях врачи прибегают к оперативному вмешательству.



