Что такое менопауза
Постменопауза является естественным процессом, который вызван снижением, а потом прекращением производства яичниками эстрогена с прогестероном. В результате прекращается созревание яйцеклеток, матка атрофируется.
В первые годы после наступления постменопаузы у женщин могут наблюдаться нарушения режима сна, эмоциональные всплески, и множество осложнений.
В этом периоде также прекращается выделение эстрадиола — главного женского гормон. Матка уменьшается в размерах по причине миометрической атрофии. Особенно стремительно подобное происходит в течение первых пяти лет.
Механизм образования цистаденомы яичника и ее виды
Цистаденома яичника является полиэтиологичным заболеванием, то есть нельзя точно назвать причину ее образования. Принято считать, что ведущую роль в образовании данной опухоли играют гормональные нарушения. В отличии от эндометриоидных и интралигаментарных кист, цистаденому чаще всего диагностируют в пременопаузу, менопаузу и постменопаузу. В результате нарушения химических процессов, протекающих в эпителиальном слое яичника, его поверхность становится уязвимой, что приводит к появлению новообразований.
Какие заболевания могут развиваться
Однозначного ответа на этот вопрос нет. Но чаще всего наблюдается повышенное давление, связанное с гормональными изменениями. При отсутствии защиты гормонального типа ускоряется развитие атеросклероза. А это влечет за собой ишемическую болезнь сердца, развитие инсульта, приводит к инфаркту, и других сердечных патологий. После начала постменопаузы частота заболеваний увеличивается.
Почти половина женщин, у которого наступила менопауза, рискуют заболеть остеопорозом по причине потери кальция. Потому увеличивается риск переломов при падении.
Нередко возрастает риск появления злокачественных опухолей шейки матки, ее самой и яичников, а также внутриматочные кровотечения. Среди заболеваний, которые развиваются во время постменопаузы, часто встречаются кисты яичников.
Особенности лечения цистаденом во время беременности
Серозные цистаденомы яичников, особенно небольших размеров, не являются препятствием к зачатию и вынашиванию плода, поэтому могут быть случайной находкой при выполнении скринингового УЗИ в рамках ведения беременности.
Частота встречаемости цистаденом во время беременности невысока и составляет около 2%. В большинстве случаев образования обнаруживаются в течение первого триместра и способны к спонтанной регрессии в 80-95% случаев.
Сами по себе цистаденомы не вредят беременности, но, во-первых, при значительных размерах могут стать механическим препятствием во время процесса родов, а, во-вторых, хоть частота развития осложнений невысока, таковой риск существует. Поэтому, принимая решение о тактике лечения цистаденомы, необходимо соотнести риски развития осложнений от операции и риски развития осложнений со стороны кисты.
Операция проводится с применением лапароскопического доступа, в процессе её проведения обязательно требуется контроль сердцебиения плода. Показаниями к удалению цистанденом во время беременности являются:
- Сохраняющаяся после 16 недель беременности цистаденома,
- Размеры образования не более 12 см,
- Отсутствие признаков злокачественности,
- Поражение обоих яичников,
- Высокий риск перекрута ножки кисты или разрыва капсулы.
Противопоказаниями, соответственно, являются срок беременности более 18 недель, размер новообразования более 12 см и признаки озлокачествления цистаденомы.
Серозная киста
Такая патология встречается у более, чем 70% женщин, страдающих подобными заболеваниями.
Такая киста — это полость, заполненная прозрачной жидкостью, которую называют серозной. Ее отличает от других образований наличие плотной капсулы.
Особенностями ее являются:
- четкость контуров;
- малоэластичная плотная оболочка, сформированная из эпителиальных тканей;
- капсула кисты чаще образует 1 камеру и образуется на с одной стороны;
- размер может увеличиваться до 150 мм;
- вероятность перерождения в раковую опухоль очень большая.
В группу риска, как правило, попадают представительницы слабого пола, у которых наблюдается затяжной климакс. По норме этот период длится два-три года. После этого прекращаются менструации.
Типы кист яичников
Гинекологи выделяют несколько типов серозных кист:
- Простая, стенки которой выстланы эпителием, похожим по виду слизистыми клетками труб матки. Появляется обычно на одной стороне. Состоит из одной камер, но бывают и полости, состоящие из нескольких камер. Киста гладкостенная. Это означает,что внутри нее нет наростов. Увеличивается очень медленно, но может вырасти до 25 см и более. Но в раковое разрастание никогда не перерождается.
- Папиллярная относится к грубососочковым цистаденомам. Она представляет следующую стадию развития простой. Сосочки начинают развиваться после нескольких лет после начала формирования кисты. Внутри на стенках имеются плотные сосочки на широких ножках. В половине случаев такая киста перерождается в злокачественную, давая метастазы.
- Пограничная папиллярная имеет признаки доброкачественного или злокачественного образования. Стенки выстланы множеством плотных сосочков. Она не растет, но становится злокачественной в половине случаев.
- Муцинозная киста является полостью, выстланной железистыми эпителиями. Всегда многокамерная. Часто быстро растет (примерно до 35 см). Содержимым кисты является слизь. Она очень богата пептидами.
Киста цистаденома при беременности
При размерах кисты 3 см и менее ее удаление не производят. Опухоль при этом не оказывает отрицательного влияния на протекание беременности.
Если опухоль внушительных размеров или растет очень быстро, без операции не обойтись. Прогноз при отсутствии лечения не утешительный. Смещая матку, образование может привести к ее разрыву, что очень опасно не только для плода, но и для женщины.
Удаляется опухоль лапароскопически после 14 недель беременности. В это время плацента уже сформирована, что дает большие шансы на сохранение беременности. Раньше оперативное вмешательство проводится лишь при возникновении угрожающих жизни женщины состояний, к которым относят разрыв кисты, перекрут ее ножки и т. д.
Симптомы патологии
Чтобы своевременно лечить кисту, следует знать, как она проявляется. Среди основных симптомов:
- Боли в нижней части живота. Но это не сама киста болит. Тянущая болезненность возникает, когда капсула ее растягивается и наблюдается увеличение ее до размеров, превышающих 5 см в длину.
- Усиление боли сигнализирует о появлении осложнений. К подобным осложнениям относятся: нагноение кисты, разрыв капсулы перекручивание ножки ножки.
- Учащение испускания мочи, а порой ее недержание. Это связано со сдавлением пузыря кистозной опухолью.
- Запоры, возникающие в случаях пережатия кишечника.
- Увеличивается живот, но такое наблюдается при развитии гигантской кисты.
Если размеры кисты небольшие, например, их диаметр не более 3 см, симптомов ее наличия практически нет. Ее выявляют лишь при УЗИ.
Серозные кисты яичников относятся к доброкачественным патологиям придатков. По другому патология называется цистаденомой. Эту кисту необходимо очень тщательно исследовать, потому как под ее видом развиваться рак яичника.
Данная цистаденома может длительно протекать без каких-либо симптомов и может вырасти до больших размеров. Прогрессирующая киста не поддается консервативной терапии.
У представительниц слабого пола, не достигших сорокалетнего возраста цистаденома, часто маскируется под фолликулярную кисту, а иногда под лютеиновую.
Во время УЗИ не всегда получается точно определить вид опухоли. Серозная киста случайно обнаруживается гистологом, и точно диагностируется лишь после операции.
Кистозная полость, переродившаяся в раковую опухоль, дает следующие симптомы:
- увеличение живота за счет накопления жидкости;
- резкое снижение массы тела;
- постоянное ощущение слабости;
- периодическая депрессия;
- небольшое повышение температуры.
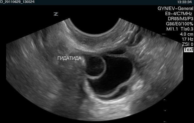
Гидатида Морганьи
Новообразования в виде кист могут возникать как поодиночке, так и группами. Если это одиночные кисты, которые не вызывают беспокойства, их можно не лечить. К тому же они, как правило, не препятствуют беременности. Когда же кист много, то обязательно требуется лечение.
Данные новообразования часто бывают круглой и овальной формы. Поверхность у них гладкая и достигает размера около 2 см.
Смотреть галерею
Кисты висят на ножке, их еще называют привеском фаллопиевых труб. Чтобы проверить женщину на наличие гидатид, требуется ультразвуковое исследование. С его помощью диагностируются маточные трубы на предмет проходимости и новообразований. В случае, когда гидатида вырастает до трех сантиметров в диаметре, она может вызвать неприятные ощущения:
- чувство дискомфорта;
- ноющие боли в паховой области;
- боли в состоянии покоя.
Если же возникает сильная острая боль, то это может свидетельствовать о перекручивании кисты. В таком случае требуется немедленное оперативное вмешательство.
Причины развития
Причины возникновения серозных полостей яичника не установлены. Но на это влияют часто следующие факторы:
- нарушение баланса половых гормонов;
- патологии эндокринной системы;
- воспаления в органах малого таза;
- аборты в прошлом;
- операции на органах брюшной полости;
- большие нагрузки на организм;
- частые сильные стрессы;
- неправильное употребление гормональных препаратов.
Вероятность развития кисты увеличивается при наличии более двух факторов.
Какие факторы связаны с появлением простых кист
Некоторые медицинские исследования оценивали факторы, которые могут быть связаны с появлением кист яичников у женщин в постменопаузальном периоде.
Эти поражения чаще встречались у пациенток, получающих заместительную гормональную терапию (либо только эстрогены, либо эстрогены плюс прогестины), а также у женщин с недавней менопаузой.
Ученые провели более исчерпывающий анализ в большой популяции. Они обнаружили, что кисты яичника были связаны с возрастом (чем моложе женщина, тем выше риск возникновения кисты), наличием такой вредной привычки, как курение, предыдущей историей операций по поводу доброкачественных гинекологических состояний, предыдущей историей доброкачественной кисты яичника, высшим образованием, преждевременной менопаузой и первой беременностью до 20 лет. Не было обнаружено никакой связи с использованием заместительной гормональной терапии, применением гормональной контрацепции, бесплодием или историей бесплодия.
Также исследователи обнаружили, что предыдущая гистерэктомия, возраст и вес пациенток были в значительной степени связаны с простыми кистами.
Причины возникновения гидатиды яичника
Довески яичника и маточной трубы – это дизонтогенетические заболевания. Они возникают на ранних сроках внутриутробного развития в период закладки репродуктивных органов. В процессе своего формирования органы проходят сложный цикл. Они постепенно эволюционируют из нескольких тонких протоков – расширяются и сужаются, соединяются вместе или расщепляются. В процессе этих измененийпроисходит выделение яичников, матки и маточных труб. Кроме основных органов, от эмбриональных зачатков могут отпочковаться и рудиментарные структуры – довески (гидатиды).
Гидатида яичника – это остаток эмбрионального мюллерова протока. Представляет собой полость размерами 2-8 мм с четкими ровными контурами. Гидатида соединена с яичником тонкой ножкой. Внутри образование содержит прозрачную серозную жидкость.
Интересно знать: гидатиды бывают не только у женщин на яичниках, но и у мужчин на яичках. До определенного момента мужские и женские половые органы развиваются по одному пути, поэтому и некоторые врожденные патологии будут схожи.
Точные причины нарушения развития яичника и формирования гидатиды не известны. Предполагается влияние следующих факторов:
- Прием женщиной лекарственных препаратов с тератогенным эффектом.
- Лучевое облучение.
- Проживание в экологически неблагоприятном районе.
- Работа с пестицидами, лакокрасочными и другими опасными материалами при беременности.
Все эти факторы сказываются на 6-16-й неделе гестации, когда идет активная закладка и формирование репродуктивных органов.
Признаки развития осложнений
К признакам патологии относят:
- внезапную боль внизу брюшины со стороны развития;
- беспричинные тошнота, рвота, которые не приносят облегчения;
- нарушения стула и испускания мочи;
- усиление ЧСС;
- понижение уровня давления;
- появление липкого пота;
- выделения из половых органов в виде кровяных сгустков;
- бледность и возможная потеря сознания.
При заболевании есть небольшой риск развития злокачественной опухоли. Всего в медицинской практике, согласно статистическим данным, было зарегистрировано 16 злокачественных новообразований из 8 600 простых кист. По разным данным, уровень злокачественности равляется 0,19%. 0,41% женщин, у которых была диагностирована киста, заболели раком яичников. 0,44% женщин без кисты получили злокачественную опухоль яичников.
Какие особенности связаны со злокачественным новообразованием? Это, наверное, самый интересный вопрос. Однако информация, представленная в имеющихся исследованиях по этому вопросу, к сожалению, скудна. На основании данных, полученных в исследованиях, которые включали восемь случаев рака яичников, ученые обнаружили, что большинство из них (6/8) были I стадии.
Диагностика
Как же проводить дифференциальную диагностику между цистаденомой доброкачественного характера и раком яичника? В это докторам помогают такие методы функциональной диагностики, как ультразвуковое исследование, компьютерная томография, магнитно-резонансная томография. Порой такая диагностика бывает нелегка даже для самых опытных специалистов.
Ультразвуковая диагностика органов малого таза
Есть довольно характерные ультразвуковые признаки рака яичника, которые в 95% встречаются в случаях онкопатологии. это такие признаки как: многокамерные образования, утолщение капсулы, затрагивание смежных органов и их прорастание. Но, как вы заметили, что такие же признаки имеет и цистаденома. Именно поэтому, если врач УЗ – диагностики получает такой результат, Не стоит заранее оглашать пациенту результат, это еще не означает, что это рак яичника, а нужно отправить больную к онкологу, где диагноз будет установлен только после гистологического исследования материала.
Анализ крови на определение онкомаркеров
Самым часто определяемым маркером онкопатологии является CA125. Его норма не должна быть более 35 Единиц в миллилитре. Если есть сомнительные данные ультразвукового исследования и высокий уровень данного белка, с большей вероятностью можно предположить злокачественную опухоль. Однако, стоит сказать о том, что уровень этого белка имеет тенденцию к повышению при доброкачественных новообразованиях, таких как эндометриоз, например. Это вспомогательный метод, позволяющий собрать факты о большей либо меньшей вероятности злокачественного процесса.
Компьютерная томография – исследование, основанное на выполнении с помощью рентгеновского излучения множества изображений срезов для детализации патологического образования, его локализации, связь с соседними органами, признаки прорастания в соседние ткани. Также при раке яичника могут визуализировать увеличенные группы лимфатических узлов.
Диагностическая лапароскопия – это один наиболее точный метод в диагностике злокачественных новообразований, потому как при выполнении лапароскопии можно визуально оценить новообразования, его локализацию и связь с соседними органами, и что самое главное, взять образец ткани для гистологического исследования и установить точный диагноз.
Серозная киста правого яичника
Главная причина развития серозной полости на яичнике справа — гормональные патологии. В группе риска состоят женщины с:
- нерегулярными месячными;
- ранним началом менструаций или слишком поздним;
- наступление климакса;
- патологии половых органов;
- развития бесплодия;
- неоднократная беременность.
Симптомы развития правосторонней серозы яичника:
- болезненность и дискомфорт в правой стороны в нижней части брюшины;
- нарушения функций репродукции;
- участившееся мочеиспускание, нарушения стула;
- уплотнение молочных желез.
Методы лечения
Недавно появившуюся кисту можно лечить медикаментозно. Она часто рассасывается, не оставляя следа. В курс лечения также включаются витамины, антивоспалительные гормональные препараты. Можно использовать и средства народной медицины. Но такое возможно крайне редко.
Цистаденома, как правило не рассасывается и не лечится медикаментозно. В 90% случаев ее приходится удалять оперативно, особенно, если она выросла до размеров более 3 см в диаметре.
Если исследования показали, что киста яичника доброкачественная, врачи стремятся сохранить максимум тканей яичника, удаляют лишь опухоль. Яичник удаляется, если образование уже злокачественное.
Проблема кист у женщин в постменопаузе остается спорным вопросом в гинекологической практике. Кисты яичников часто встречаются у женщин без симптомов в постменопаузе. Риск малигнизации очень низок. Гистологически большинство кист представляют собой серозные цистаденомы.
Лечение придаточных кист у бессимптомных женщин в постменопаузе пока еще остается спорным вопросом в гинекологической практике среди врачей всего мира. Хотя лечение этих поражений, безусловно, перешло от систематического хирургического удаления к более консервативному подходу, многие гинекологи все еще неохотно советуют такое консервативное лечение своим пациенткам, предпочитая хирургическое вмешательство.
Виды операции и методы хирургического вмешательства
При оперативном удалении цистаденомы врачи пользуются такими видами операций:
- Самая актуальный вид операций — лапароскопия. Это наименее травматический, бескровный тип оперативного вмешательства. Восстановление после нее проходит быстро. Больная уходит из стационара уже через 3-4 дня.
- Лапаротомия, полостная операция, как удаление аппендикса. Проводят ее реже, и только при необходимости удаления большого количества тканей. Восстановление происходит в течение 10 суток. После нее остается шрам.
К основным методам хирургического вмешательства относятся:
- цистэктомия, удаление кисты и капсулы яичника, неважно какого (справа или слева);
- клиновидная резекция, представляющая собой удаление клина пораженных тканей;
- овариэктомия, означающая удаление полости вместе с железой;
- аднексэтомия ( удаление кисты,яичника и придатков.
Способ и метод оперативного вмешательства выбирает врач, в зависимости от результатов обследования.
Некоторые проблемы, связанные с объектом лечения, остаются до сих пор нерешенными, такие как размер поражения, выше которого следует рекомендовать хирургическое вмешательство, риск скручивания. Продолжаются исследования, в процессе которых специалисты пытаются выяснить, какие факторы связаны с появлением патологии, как долго следует проводить последующее наблюдение в случае консервативного лечения, какую периодичность контроля следует рекомендовать и, что наиболее важно, если поражение остается на месте, то каков реальный риск развития злокачественной опухоли.
