19.04.2017Рубрика: МиомаАвтор: Pomiome
Последнее обновление статьи 07.12.2019
Миома – хоть и доброкачественная опухоль, однако представляет опасность для женского организма. Во-первых, она влияет на детородную функцию и может привести к бесплодию. Во-вторых, в 1 % случаев узел может перерасти в онкозаболевание. Вовремя выявить образование и определить его размер позволяет УЗИ миомы матки.
Идентификация миоматозных узлов и УЗИ
Когда женщина долго не может достигнуть состояния беременности или же начинает чувствовать себя плохо, она идет к врачу, который при пальпации может запросто найти причину ее бед. А выражается она в возникновении миомы матки. Тогда гинеколог отправляет ее на УЗИ, чтобы как можно более точно выявить все нюансы развития заболевания по фото ультразвука. Обычно применяют и трансабдоминальное УЗИ, которое позволяет получить информацию о локализации опухоли и размерах миоматозных узлов, и трансвагинальное ультразвуковое исследование, которое позволяет понять структуру миоматозного узла и рассмотреть даже узлы маленьких размеров.
Обычно на фото при УЗИ выявляются увеличенные размеры главного женского органа и возникновение в маточной полости сгустка округлой формы, который, к тому же, хорошо проводит звук. Если матка на фото УЗИ изменила свою форму, значит, миоматозные узлы достигли уже весьма приличных размеров.
Кроме того, классификация миомы с помощью УЗИ может делиться на субмукозную, интерстициальную или субсерозную. Субмекозная миома говорит о том, что локализация миоматозного узла находится под наружной оболочкой органа. Интерстициальная – это локализация опухоли непосредственно в мышечной ткани, а при субсерозном ее виде миоматозные узлы располагаются под слизистой матки.
Характер миомы матки женщина может попробовать выявить и самостоятельно в период менструации. Так, субмуктозное проявление миоматозного узла характеризуется схваткообразными сильными болями и большим количеством выделений. Также о таком ходе заболевания могут свидетельствовать и кровотечения вне менструации, которые приводят к анемии и бледности кожи. Если характер миомы матки субмуктозный, опухоль начинает быстро увеличиваться в размерах.
Интерстициальный характер также приводит к разрастанию опухоли до больших размеров, вследствие чего часто происходит маточная деформация. Может выражаться в дисменорее и обильном кровотечении. Данный вид миомы матки очень опасен для женщин, так как большой размер миоматозного узла является причиной застоя крови в органах. Это, в свою очередь, часто приводит к варикозу и тромбообразованию. Возникновение интерстициальных миоматозных узлов может привести к перитониту и прочим септическим осложнениям. Такая опухоль часто сопровождается постоянными болями в животе, температурой и выделением белей с кровью.
Субсерозное течение болезни самое скрытное. Зачастую женщина не выявляется у себя никаких симптомов. С такой миомой можно зачать и выносить ребенка. Локализация миоматозного узла происходит на стенке матки на так называемой «ножке». Хотя в некоторых случаях симптомы опухоли все же имеются: высокая температура, резкие боли, тахикардия. Если размеры миомы увеличиваются, то опухоль начинает негативно влиять на желудочно-кишечный тракт и мочеполовую систему. Однако какой бы размер не был у субсерозной миомы, женщина не избежит операции.
Хотя известно, что возникновение данного заболевания часто является причиной невозможности зачатия, симптомы миомы матки обнаруживаются и при уже наступившей беременности. Конечно, опухоль, которая присутствует на матке в период вынашивания ребенка, усугубляет развитие плода, но не является критическим показателем. И все же, большие размеры субсерозных узлов могут быть причиной деформации плода в момент вынашивания. Если миоматозные узлы растут очень быстро, то они могут давить на стенки органа и тем самым вызвать выкидыш. Если же опухоль расположена на территории шейки матки, то родоразрешение естественным путем для женщины противопоказано.
Однако зачастую наличие миомы матки никак не отражается на беременности. Особенно если размер миоматозного узла не превышает трех сантиметров.
Стоит отметить, что миома матки фото на УЗИ будет выглядеть как совершенно иная от матки структура. Размеры ее обычно указываются в неделях беременности, который будет свидетельствовать на самом деле о размере главного женского органа, соответствующего сроку вынашивания ребенка.
Дифференциальный диагноз
Часто появляется необходимость в обнаружении отличий между миомой матки и другими патологиями. Наиболее частые заболевания, с которыми приходится дифференцировать миому матки это:
- Саркома тела матки
- Опухоли яичников
- Некоторые воспалительные заболевания придатков матки
- Беременность
То самое заболевание, с которым часто путают миому матки, является саркома. Саркома матки – это злокачественная опухоль тела матки. Аналогично с миомой она образована из мышечной ткани или стромы эндометрия. Важнейшим отличительным признаком, который определяет опасность данного заболевания – дифференцированность клеток. Этот показатель, который определяется при гистологическом анализе, является отличием доброкачественных опухолей от злокачественных. При УЗИ также можно заподозрить саркому, ведь клетки, из которых она состоит, отличаются по звукопроводимости от клеток миомы. Соответственно при саркоме прогноз о течении и выздоровлении больной значительно хуже.
Важным методом дифференцировки всех остальных заболеваний от миомы выступает ультразвуковое исследование. Из-за своих особенностей оно позволяет оценить состояние тканей, в частности эндометрия. Но нельзя забывать и о возможных ситуациях, когда несколько заболеваний сочетаются и приводят к смазанной клинической картине, при которой самым быстрым методом определения точного диагноза является ультразвуковое исследование.
На УЗИ перепутать миому с беременностью практически нереально, хотя бы, потому что пациентку предварительно будет осматривать гинеколог, проверяя все прочие признаки беременности.
Лечение зависит от результатов полученных исследований. Иногда достаточно принимать препараты и миома может исчезнуть или значительно уменьшиться. В случаях, когда опухоль больших размеров, нельзя обойтись без оперативного вмешательства. Степень вмешательства зависит от места роста и особенностей фибромиомы, ведь операция может быть как радикальной (когда удаляется матка), так и органосохраняющей.
Если у беременной выявляется фибромиома матки, то ей необходим специальный уход и наблюдение. Чем больше опухоль, тем более тяжело и опасно для плода будут проходить роды. Иногда особо большие размеры миомы могут повлиять на внутриутробное развитие ребенка, приводя к различным аномалиям. Чтобы избежать таких последствий беременным необходимо наблюдение в динамике при помощи УЗИ.
Женщины часто беспокоятся о последствиях проведения ультразвукового исследования и о рисках развития осложнений. При проведении УЗИ на пациентку не влияют никакие лучи, как например, при рентгенологическом исследовании. Кроме того метод УЗИ широко используется в гинекологии, благодаря своей скорости и точности в достоверности получаемых данных. В среднем продолжительность исследования занимает около 15-20 минут и все сразу заносится в протокол. Результаты исследования должен оценивать только врач. Многим пациенткам перенесшим миому матки следует регулярно проводить ультразвуковое обследование.
На сегодняшний день благодаря хорошей подготовке специалистов и высокой результативности в диагностике при помощи УЗИ, риск тяжелого течения, при котором нельзя сохранить орган снижается, но нельзя забывать и о том, что своевременное обращение и диагностика являются залогом успешного лечения.
Как выбирают лечение при миоме
Как только женщине поставлен диагноз «миома матки», она должна часто посещать гинекологический кабинет и, как минимум, раз в три месяца делать УЗИ с фото. С помощью УЗИ врач уточняет локализацию миомы, размер узлов, различные патологии и следит за ходом лечения.
Именно узловая локализация играет важную роль в выборе лечения, поэтому и грамотно проведенное УЗИ очень важно. Способы избавления от опухоли могут либо безоперационные, либо хирургические, либо комбинированные, то есть применение и медикаментов, и осуществление операции. Лечение медикаментами проводят в любом случае для профилактики последующего роста опухоли. Также врач назначает общую санацию организма, чтобы поддержать и улучшить иммунитет, который понадобится для борьбы с миомой.
Другие способы лечения
Альтернативные методы исключают оперативное вмешательство и позволяют ликвидировать патологию с помощью медикаментозного лечения, малоивазивного вмешательства и нетрадиционных методов. Лечение опухоли с помощью лекарств подразумевает трёхмесячное прохождение гормонального курса. Успех этого способа зависит от степени поражения слизистой и мышечной оболочки матки. На раннем этапе развития болезни гормональные лекарства вызывают регресс патологии.
Малоинвазивное вмешательство предполагает эмболизацию маточных артерий. Эмболизирующие препараты вводят в маточные артерии посредством прокола нижней области живота. Эмболы закупоривают сосуды, тем самым препятствуя питанию маточных узлов. Через время опухоль отмирает и, проходя по шейке матки, рождается через влагалище. Уже спустя полгода после проведения операции у женщины появляется возможность забеременеть.
Для уменьшения болевых ощущений и воспалительных процессов допустимо использовать народные методы. Действенными считаются настойки из ромашки, тысячелетника и боровой матки. Желательно ежедневно делать компрессы из сока алоэ, сырой картошки и соли. Врачи не рекомендуют лечить миому исключительно нетрадиционными методами и обратиться за медицинской помощью, так как целебные травы не всегда бывают эффективными.
Виды лечения миомы
К сожалению, очень часто из-за того, что женщина вовремя не обратила внимания на тревожные симптомы, размеры опухоли становятся такими большими, что ее приходится удалять с помощью операции. Это может быть либо выскабливание органа, либо полное удаление матки. Ход оперативного вмешательства во многом зависит от возраста и положения женщины. Если девушка не рожала, ей будут стараться сохранить матку. Удаление матки в течение операции будет произведено в том случае, если фото УЗИ показало, что узел миомы уже не разделим с самим органом, или же когда опухоль проросла через всю полость и слои матки. Если на фото УЗИ и по результатам прочих анализов органа заметно начинающееся перерождение опухоли в злокачественную, при операции могут удалить и часть придатков. Метод выскабливания небезопасен с точки зрения возможных проколов матки и возможного инфицирования.
Диагностика
Диагностические мероприятия начинаются с опроса пациентки и осмотра при помощи гинекологического зеркала. Дополнительно врач может назначить такие лабораторные процедуры:
- Анализ мочи и крови (общий).
- КТ, МРТ;
- УЗИ с влагалищным датчиком – актуально при небольших узлах;
- Гистологическое исследование;
- Мазок на атипичные клетки и флору;
- Гистероскопия – используется для уточнения размера опухоли и ее места нахождения.
Маленькие новообразования обычно определяются случайно. Когда возникают первые симптомы, женщина обязательно должна обратиться к врачу.
Питание и народные средства
Что бы ни показало фото на УЗИ, женщины всегда были склонны пробовать вылечить миому народными средствами. Безвредное лечение можно проводить вместе с процедурами, назначенными врачом. Прежде всего, следует пересмотреть свой образ жизни и изменить питание. Внимание стоит сконцентрировать на богатых йодом продуктах, таких как креветки и морская капуста. В рационе должны присутствовать свежевыжатые соки и растительные масла с содержанием ненасыщенных жирных кислот.
Фитотерапия также может существенно помочь в лечении опухоли, но все же ее следует осуществлять под присмотром. Причина – это использование в лечении ядовитых растений, таких как аконит и мухомор. Они могут остановить рост миомы, но если дозировка превышена, на организме это скажется крайне отрицательно.
В настоящее время миома не является приговором, особенно если женщина выявила опухоль с помощью УЗИ еще на ранних стадиях.
Среди всех болезней женской репродуктивной сферы миома матки занимает одно из первых мест по частоте диагностирования. Это доброкачественное новообразование чаще обнаруживается у женщин, которым за 40, но случается, что патологию определяют также у женщин 20 – 30 лет. Своевременно выявить миому поможет УЗИ матки.
Множественная миома: разновидности
Данная патология проявляется в виде возникновения многочисленных узлов в матке или на полости репродуктивного органа. Основу отдельного узла составляют соединительный и мышечный компоненты. В группу риска появления болезни попадают женщины, достигшие тридцатилетнего возраста. Множественная миома встречается у 20% женского населения.
Отмечаются разновидности по расположению миоматозного узла:
- Сумбукозная миома находится под слизистой оболочкой и растёт внутри матки. Даже опухоль малых размеров способна принести ощутимый дискомфорт и болевые ощущения пациентке. Указанный вид миомы является причиной обильных кровотечений, поэтому женщина нуждается в переливании крови во время операции. При миоме сумбукозного вида пациентка страдает от бесплодия, анемии и регулярной потери крови. Миома становится причиной преждевременных родов и выкидышей.
- Для субсерозной опухоли характерен стремительный рост и безболезненность на ранней стадии развития. Узел имеет ножку и расположен в мышечной ткани матки. Патология давит на внутренние близлежащие органы и препятствует их функционированию, прорастая по направлению брюшной полости. Бессимптомность заболевания затрудняет диагностику и становится причиной позднего обращения за медицинской помощью.
- Опухоль интрамурально-субсерозной разновидности расположена на поверхности матки, выступая на несколько сантиметров. Узлы прорастают как внутрь матки, так и по направлению к брюшной полости. Для опухоли характерны небольшие размеры – от нескольких миллиметров до трёх сантиметров.
- Интрамуральная симптомная лейомиома локализуется в мышечной ткани матки и разрастается по направлению к брюшной полости. Множественные опухоли данного типа могут находиться в области шейки матки и в перешейке. Заболевание сопровождается болевыми ощущениями в области живота, отдающими в поясницу, обильными менструациями и возникновением межменструальных периодов. Патология оказывает давление на прямую кишку и мочевой пузырь, тем самым провоцируя возникновение запоров проблемного мочеиспускания. Если возникает некроз маточного узла, у пациентки выделяются кровяные сгустки из детородного органа и появляются симптомы интоксикации.
- Фибромиома – это новообразование круглой формы, состоящее из гладкомышечной ткани. Опухоль растёт под влиянием изменений гормонального фона и может достигать нескольких десятков килограммов в весе. Диаметр опухоли варьируется от нескольких миллиметров до нескольких десятков сантиметров. Миомы данного типа бывают как единичными, так и множественными.
Что это такое и велика ли опасность?
Миома – доброкачественная опухоль миометрия (то есть она образуется в среднем мышечном слое матки). Может быть сформирована:
- только из мышечных волокон и тогда она носит название леймомиома;
- из соединительных волокон совместно с мышечными – в этом случае речь идёт о фиброме.
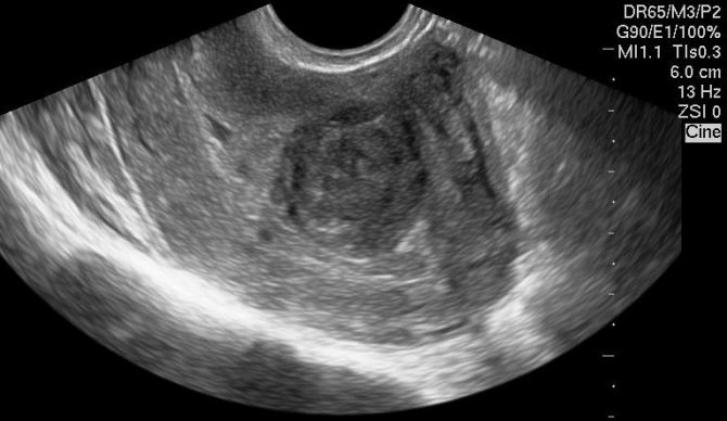
Фото 1. Как выглядит миома матки на УЗИ.
Статистика частоты развития подобных опухолей располагает разными данными. Считается, что пациентки старше 40 сталкиваются с миомами в 40% случаев гинекологических заболеваний, а у более молодых женщин (20 – 30 лет) они встречаются в 15 – 20% случаев.
Значительная опухоль – это потенциальная причина выкидыша либо врождённых нарушений в развитии плода из-за чрезмерного давления на матку.
Причины появления заболевания
Гинекологи называют миому гормонозависимой доброкачественной опухолью. Это значит, что развитие ее происходит из-за воздействия женских половых гормонов. Но часть ученых уверена, что повышение уровня эстрогенов — только пусковой механизм болезни. Причины возникновения миоматозного узла состоят в неправильном делении единственной клетки миометрия (мышечного тела матки). Почему клетка начинает делиться неправильно, на данный момент не установлено. Существуют 2 основные теории:
- генетический дефект, при котором клетка формируется во внутриутробном периоде развития, а делиться начинает при достижении девочкой возраста первых месячных;
- клетка делится неправильно из-за малого количества беременностей, когда несколько циклов подряд тело матки готовится к зачатию, а оно не наступает.

Развитие миоматозного узла могут спровоцировать следующее факторы:
- воспалительные гинекологические заболевания;
- эндометриоз;
- изменения гормонального фона (половое созревание, беременность и пр.);
- травмирование слизистой оболочки и мышечного слоя матки, связанные с хирургическими вмешательствами (аборты, кесарево сечение и т. п.);
- эндокринологические заболевания;
- избыточная масса тела и малоподвижный образ жизни.
Провоцирующие факторы неспособны вызвать миому без ее основной предпосылки — наличия дефектной клетки. Но они могут ускорить процесс роста миоматозного узла.
Причины возникновения
Гинекологи до сих пор гадают о точных причинах появления миом. Известны лишь факторы, которые провоцируют патологический процесс. К ним относятся:
- гормональный дисбаланс;
- воспалительные процессы в матке;
- гинекологические вмешательства, типа абортов и выскабливаний;
- неправильное питание;
- хронические стрессы, снижающие иммунитет женщины;
- генетическая предрасположенность к развитию новообразований.
Общие сведения
Факторы риска
К основным факторам риска возникновения миомы матки относят:
- длительно существующий в организме женщины дисбаланс стероидных гормонов,
- перенесенные воспалительные заболевания матки,
- внутриполостные вмешательства (выскабливание, медицинский аборт),
- избыточный вес в сочетании с высокой частотой стрессовых состояний.
Также многие исследователи подтверждают генетическую обусловленность нарушений клеточного роста в миометрии, приводящую к цепи нарушений в иммунной и гормональной системах.
Симптомы
Обычно для миомы матки характерны определённые симптомы (о признаках читайте ниже в описаниях патологий), которые могут быть обнаружены как по отдельности, так и комплексно. Например:
- Продолжительные менструации с обильными кровотечениями, в медицине их ещё называют меноррагиями. Их появление можно объяснить тем, что увеличившаяся опухоль мешает гладкой мускулатуре матки нормально сокращаться. Это приводит к нарушению функционирования артериол, размещённых между маточными стенками.
- Менструальный период становится более болезненным, что объясняется всё теми же процессами нарушения вывода отторгнутого эндометрия.
- Кровотечения между менструациями – говорят либо о нарушении в процессе созревания эндометрия, либо о деформациях матки. В медицине подобное явление называется “метроррагии”.
- Отсутствие зачатия при регулярной полноценной половой жизни также может стать косвенным признаком миомы. Дело в том, что опухоль приводит к нарушениям в циклическом функционировании эндометрия, что является препятствием для закрепления плодного яйца.
- Трудности с мочеиспусканием, болезненные ощущения в крестце или области поясницы, даже запоры могут стать следствием развития миомы. Кажется, что подобные симптомы могут быть вызваны чем угодно, но эксперты доказали что при достижении опухолью значительных размеров она становится источником целого комплекса нарушений в работе малого таза. Воздействуя физически на прилежащие органы и ткани, миома мешает их нормальной работе. Это явление характерно для опухоли субсерозного типа, растущей не внутрь матки, а в сторону малого таза.
- Боли внизу живота. Многие гинекологические заболевания сопровождаются ноющими и тянущими болями в нижней части живота, но если боль усиливается и становится резкой, это повод насторожиться. Интенсивные болевые ощущения могут появиться вследствие нарушения питания разросшейся опухоли. При этом миома перекрывает кровеносный сосуд, который её питает. Пациентка чувствует боль, которая может становиться интенсивнее при половом сношении, врачебном осмотре или простом нажатии на живот.
- Уровень гемоглобина в крови. Является частью клинического анализа и служит самым ярким симптомом наличия миоматозного образования. Снижение гемоглобина говорит о том, что женский организм истощен из-за длительных и сильных кровотечений и ему не хватает времени на восстановление. Поэтому показатель эритроцитов в анализе пациентки будет ниже нормы, а это означает анемию. Однако традиционное лечение анемии в виде приёма препаратов железа и обогащения рациона определёнными продуктами в данном случае будет безрезультатно. Только устранение причины болезни, то есть удаление миомы, изменит ситуацию к лучшему. Ведь понижение гемоглобина и прочие признаки анемии являются вторичными и подтверждают наличие миомы.
Симптомы и признаки
Заболевание миома шейки матки можно заподозрить, зная его проявления. Некоторые из симптомов можно определить самостоятельно. Характер проявления признаков заболевания зависит от того на какой стадии находится образование и какая у него локализация.
Миома шейки матки симптомы и признаки, фото
В том случае, если миоматозный узел располагается во влагалищной части цервикального канала, характерными симптомами будут: болезненность внизу живота. Образование сдавливает соседние ткани и органы, что вызывает затруднение с мочеиспусканием и актом дефекации. При активном росте деформирует шейку матки.
Перешеечное расположение миомы шейки матки, характеризуется сильными болями, также отмечается затрудненное мочеиспускание и трудности с актом дефекации. Возникают рецидивирующие циститы. Из-за роста узла возможна деформация тела матки, что приводит к сложному вынашиванию беременности.
При корпоральном расположении миома шейки матки симптомы и лечение необходимо дифференцировать с другими гинекологическими заболеваниями. Потому, что симптоматика такова: выраженный болевой синдром, с иррадиирующими болями в область влагалища и яичников, а также обильные продолжительные менструации. По мере роста появляются признаки заболевания, узел диагностируется и назначается способ лечения.
Как выглядит патология на снимке?
УЗИ позволяет доктору выяснить такие параметры, как:
- форма, локализация и размеры главного женского органа;
- толщина миометрия;
- его структура;
- наличие полипов;
- признаки миомы.
Врач-сонолог определяет миому как округлый объект с гетерогенной структурой и чёткими границами, делающими сигнал датчика слабее.
Эхогенность и структурные особенности миомы напрямую зависят от места возникновения опухоли и от типа тканей, её образующих. К примеру:
- дейомиомы будут выглядеть на экране УЗ-аппарата как однородные, гипоэхогенные образования (из-за гладкомышечных волокон низкой дифференциации);
- фибромы врачи отмечают как более “светлые” образования повышенной плотности.
Интрамуральный узел
Находящийся в структуре маточной стенки узел принято называть интрамуральным. Он располагается в проекции миометрия и обычно не приводит к деформации маточных стенок или контуров полости. Выделяют мелкие (8 – 15 мм), средние (15 – 35 мм) и крупные (35 – 70 мм) интрамуральные узлы.
Субмукозные узлы
Узлы, растущие внутрь матки, получили название субмукозных. Они могут быть определены как однородные образования пониженной плотности и овальной формы. Фоном для опухоли будет служить маточная жидкость или внутренняя слизистая ткань.
Оно даёт возможность детально рассмотреть субмикозный узел, определить его положение, контуры и проникновение в прилежащие отделы матки.
Субсерозный узел
Образование, растущее в направлении брюшины, называют субсерозным миоматозным узлом. Он не только делает контур матки бугристым, но даже меняет её положение относительно центра таза (если узел серьёзно разросся).
Комплексная процедура позволит увидеть сосуды, снабжающие кровью миому.
Леймомиома
Однородность эхоструктуры наблюдается при леймомиоме за счёт содержания в ней большого количества гладкомышечных волокон. Опухоль также отличается сниженной эхогенностью.
Есть ряд признаков, способных косвенно указать на развитие миомы:
- увеличение размеров матки;
- деформация её контуров;
- определённая группа патологий узловой ткани и её неоднородность;
- заметная васкуляризация периферии узла и его средней части при комплексном обследовании с использованием допплера;
- патологическая очаговая эхоструктура миометрия при диффузной форме миомы, сопровождающаяся снижением эхоплотности и нечёткостью контуров. Однако контур органа при этом не изменён и деформаций нет.
Узи миомы матки: описание патологии и ошибок её диагностирования
Среди всех болезней женской репродуктивной сферы миома матки занимает одно из первых мест по частоте диагностирования. Это доброкачественное новообразование чаще обнаруживается у женщин, которым за 40, но случается, что патологию определяют также у женщин 20 – 30 лет. Своевременно выявить миому поможет УЗИ матки.
Как часто проводят УЗИ при миоме?
Если обнаружена миома любой этиологии, то повторять обследование нужно каждые 3 – 6 месяцев. И хотя перерождение узлов в злокачественные опухоли встречается крайне редко, заболевание может стремительно прогрессировать. Любые болезни матки требуют динамичного наблюдения, чтобы избежать осложнений и оперативных вмешательств, и миома – не исключение.
Заключение
Учитывая возможные сложности со здоровьем из-за тех или иных патологий матки, важно уделять пристальное внимание мониторингу своего состояния.
Необходимо прислушиваться к ощущениям и не лениться лишний раз сходить к врачу. При этом обязательно нужно соблюдать все рекомендации и не пропускать обследования. Кроме того, если была проведена операция, потребуется пройти УЗИ и после удаления миомы.
Источник: https://MediGid.com/uzi/organy/malyj-taz/zhenshhiny/matka/mioma.html
Есть ли возможность ошибки?
Видно ли на УЗИ миому матки? Нет стопроцентно точных диагностических методов, и УЗИ, к сожалению, не исключение. Ошибки возможны в интерпретации результатов и на этот процесс влияет целый ряд факторов:
- Квалификация специалиста, проводящего обследование. Если доктор не умеет “читать” снимок и неверно трактует полученные результаты, то ошибок не избежать.
- Неправильная подготовка пациента и нарушение оптимальных сроков проведения диагностики.
Есть несколько типичных ошибок в диагностике и расшифровке опухолей матки, и их стоит рассмотреть.
Одновременное увеличение миоматозного узла и матки
Равномерное увеличение матки может являться вариантом нормы у женщин, имеющих несколько детей или достигших определённого возраста. Также увеличение органа может встречаться при аномалиях его развития или аденомиозе (разновидности внутреннего эндометриоза). Залогом корректного обследования в данном случае станет внимательный сбор анамнеза и установление признаков, характерных для аденомиоза:
- зубчатость и размытость контуров срединного эха;
- маточные стенки разной толщины;
- миометрия “пятнистой” структуры;
- полости анэхогенной плотности в матке в первой половине цикла.
Также могут быть выявлены признаки, характерные для седловидной матки:
- двойное срединное эхо на уровне дна;
- патологическая толщина миометрия в центре органа.
Интрамуральные узлы или расширенные вены миометрия?
Есть риск перепутать недавно образованные интрамуральные узлы и расширившиеся вены миометрия. В этом случае доктору достаточно провести многопозиционное сканирование сомнительного образования в комплексе с допплеровским цветным картированием для выявления характерного венозного кровотока.
Опухоли яичников и субсерозные узлы
Субсерозные узлы с узким основанием нужно суметь отличит от значительной опухоли яичника, а для этого необходимо тщательное обследование, которое лучше произвести трансвагинально.
Подтверждением миомы служит выявление других узлов или кальцификатов, а также увеличенная в размерах матка.
Субмукозный узел или полип?

Узел определяется специалистом, если контур эндометрия в месте его расположения как бы “выпячен” в полость.
Кроме того, между тканью органа и слизистым слоем образован эхонегативный ободок плюс определяется взаимосвязь узла со внутренней слизистой поверхностью матки.
В то же время полип, возникший в базальном слое, как бы “вырастает” из нормального эндометрия, не затрагивая мышечную часть матки.
Можно ли спутать миому и беременность?
В медицинской практике случаются ошибки, и не всегда неопытному доктору удается отличить миоматозное образование от плодного яйца. Для повышения точности исследования оно проводится дважды на 6 – 8 дни цикла и после окончания месячных. Это важно, потому что только в начале цикла миома покажет свой истинный размер. В дальнейшем под воздействием гормонов она может отекать и казаться больше.
Если данные повторного УЗИ подтверждают предварительный диагноз, то контролировать состояние матки пациентке необходимо раз в полгода – год.
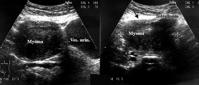
Фото 2. Заключение. Расшифровка.
Особенности диагностического поиска и возможные ошибки при исследовании
Ультразвуковое исследование не дает стопроцентной гарантии выявления миомы матки. Случается, что узел не визуализируется на УЗИ – при малых размерах опухоли, а также в случае неправильно проведенного обследования (во время менструации, во вторую фазу цикла и т. п.). В этой ситуации врач может порекомендовать пройти повторное исследование. Помощь в диагностике оказывают и другие методы: МРТ, гистероскопия, лапароскопия.
Дифференциальный диагноз проводится с такими заболеваниями:
- Эндометриоз. При обеих патология отмечается увеличение матки. Отличительным признаком эндометриоза является появление очагов повышенной эхогенности, зазубренная линия М-эхо;
- Киста или опухоль яичника. Эту патологию дифференцируют с субсерозной миомой, расположенной рядом с придатками. Отличительной особенностью миомы является связь со стенкой матки, а также наличие других узлов;
- Полип эндометрия часто путают с субмукозной миомой. В пользу полипа говорит тот факт, что он не связан с мышечным слоем матки и сливается с эндометрием. Миома растет из миометрия и при продвижении в полость матки раздвигает эндометрий с образованием ободка между опухолью и слизистой оболочкой;
Полип эндометрия легко перепутать с сумбукозной миомой без проведения дифференциальной диагностики.
- Саркома – злокачественная опухоль матки. Миома отличается от рака тем, что при последнем появляются неоднородные очаги в структуре опухоли, однако этот признак нельзя считать критичным. Заподозрить злокачественную опухоль помогает допплерометрия. При саркоме усиливается кровоснабжение узла, резистентность кровотока падает, появляются патологически расширенные сосуды.
Часто задаваемые вопросы:
Может ли УЗИ ошибочно показать миому матки?
Да, это возможно в том случае, когда ультразвуковое исследование было проведено не в положенный день цикла или выполнено на старом оборудовании. За миому могут быть приняты кисты яичника, полипы, расширенные венозные сплетения и другие образования.
Может ли врач ошибиться и не найти миому?
Образования малых размеров не всегда хорошо видны на УЗИ. Есть вероятность, что врач-узист не заметит узла размерами 5-6 мм. Опухоль визуализируется позже, при достижении размеров 7-8 мм и более.
Миоматозный узел небольшого размера (до 6 см) не всегда может быть выявлен специалистом во время обследования.
Может ли случиться так, что на повторном УЗИ не найдут миому?
Да, такое возможно. Вероятно, под видом миомы скрывалась другая патология матки или придатков. Субмукозную миому часто путают с полипами эндометрия, интерстициальную – с эндометриозом, а субсерозную – с кистами яичника.
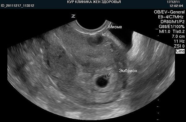
Можно ли перепутать миому с беременностью?
Спутать миому с беременностью можно только на ранних сроках, когда плодное яйцо плохо визуализируется и выглядит как некое образование в полости матки. На 6-й неделе гестации хорошо виден хорион, определяется сердцебиение эмбриона. Если беременность приняли за миому, а женщина сомневается, нужно сдать кровь на ХГЧ (хорионический гонадотропин человека). Этот анализ позволит точно узнать, произошло ли зачатие ребенка. Важно помнить, что беременность не исключает наличие миомы, и эти два состояния могут идти вместе.
На снимке хорошо видна интрамуральная миома и эмбрион. Предполагаемый срок беременности – 5-6 недель. Миома не выходит в полость матки и на данном этапе не мешает развитию плода:
Ультразвуковое исследование – это удобный и доступный метод диагностики миомы матки. Эта процедура неинвазивна, проходит безболезненно для пациентки, не требует длительной подготовки и позволяет с высокой точностью выявить патологию. К недостаткам метода можно отнести возможность диагностических ошибок – узлы малых размеров не всегда визуализируются и могут быть приняты за другие заболевания. Для уточнения диагноза показано проведение других методов обследования.
Несмотря на то, что миома – опухоль доброкачественная, она может доставить немало проблем. Считается, что она может исчезнуть самостоятельно, но опыт многих пациенток гинекологических отделений свидетельствует об обратном. Со временем миоматозные узлы могут разрастись, а сама опухоль достичь больших размеров. Кроме того, из доброкачественной миома может очень просто перерасти в злокачественную опухоль, вылечить которую намного сложнее.
И все же, следует выделить женщин, которые состоят в особой группе риска. Миоме подвержены те, у кого часто наблюдаются заболевания органов малого таза и различные воспаления; женщины, которые делали аборты, пользовались средствами внутриматочной или оральной контрацепции, а также те женщины, у которых менструация наступила достаточно поздно для их возраста. Именно данной категории представительниц прекрасного пола необходимо как можно чаще посещать гинеколога.
Когда и как делают?
Когда лучше делать УЗИ при миоме матки? Пациентку обычно интересует, на какой день цикла проводится процедура, и какое именно исследование применяется. Женщин волнует, покажет ли вообще ультразвук миому?
Если назначено исследование через брюшную стенку, то его можно выполнить в любой день цикла и даже в процессе месячных. Но случается, что маленький миоматозный узел может скрываться в толще миометрия во время овуляции, поэтому для достоверности обследования желательно проводить его в начале цикла или в день, назначенный врачом.
Видео 1. Субмукозная миома матки.
Исключительным случаем является субмикозная миома, особенности которой делают желательным прохождение УЗИ на 19 – 24 дни цикла. Дело в том, что в это время внутренняя слизистая поверхность матки обладает гиперэхогенными характеристиками и оптимальной толщиной.
Но лучше всего делать УЗИ на пятый – десятый дни женского цикла, когда слой эндометрия наиболее тонок, что создает хорошие условия для поиска возможных патологий. Это шанс обнаружить новообразования в самом начале их развития, а также возможность свести к минимуму диагностические погрешности.
Классификация
В процессе диагностики и лечения очень важно определить вид патологии. Опираясь на расположение узлов, выделяют такие виды миомы:
- Субсерозная – опухоль разрастается снаружи, прорастая в брюшину.
- Субмукозная – образование локализуется в подслизистых слоях, произрастая в матку.
- Интерстициальная – узлы формируются внутримышечно.
По расположению к маточной оси узлы делятся на:
- Корпоральные – распространенный вид, формирующейся внутри шейки;
- В перешейке матки – располагается между шейкой и телом матки;
- Шеечные – опухоль формируется в месте перехода шейки во влагалище.
Опираясь на результаты опроса пациентки и осмотра на кресле, доктор подозревает какой-либо тип образования. Чтобы подтвердить диагноз женщине необходимо пройти дополнительные исследования.
Что такое миома матки и чем она опасна
Миома матки – это доброкачественное новообразование гладкомышечной ткани, которое постепенно увеличивается в размерах, но редко переходит в онкологический процесс. Является наиболее частой опухолью в женском организме: согласно данным Всемирной организации здравоохранения ее диагностируют в 10-20% женщин во всем мире. Частота ее выявления значительно возрастает после 35 лет и в период климакса.
У многих пациенток заболевание протекает практически бессимптомно, поэтому миома матки чаще является случайной находкой во время ультразвукового исследования. Однако, она может давать опасные для здоровья женщины осложнения:
- Некроз и распад опухоли. Проходит на фоне нарушения кровоснабжения из-за механического давления на сосуды и выделения большого числа факторов воспаления. Сопровождается развитием острого воспалительного процесса (вплоть до пельвиоперитонита). Требует неотложного хирургического вмешательства.
- Женское бесплодие. Опухоль изменяет трансфигурацию матки, что делает невозможным вынашивание плода.
- Нарушение функционирования соседних органов (мочевого пузыря, прямого кишечника).
- Рост риска развития осложнений во время беременности и родов (отслоение плаценты, плацентарная недостаточность, гипоксия плода, большие кровопотери).
- Переход в злокачественный процесс. Встречается очень редко, характеризуется быстрым ростом и ранним распространением метастазов.
Энциклопедия УЗИ и МРТ
Миома матки представляет собой опухоль доброкачественного характера. Такая опухоль возникает достаточно часто и включает в себя гладкомышечную или соединительную ткань.
Миому выявляют у примерно 20% женщин старше 35 лет, это заболевание занимает 3 место по встречаемости среди гинекологической патологии.
По патолого-анатомическим данным, истинная частота миомы достигает 77%.
Прошел тот день, когда единственным способом узнать характер патологии матки было вмешательство в организм с целью забора тканей, в наше время достаточно дешево и крайне эффективно стало делать ультразвуковое исследование при подозрении на миому матки.
Причины возникновения
Существует несколько основных теорий касательно причин возникновения патологического процесса:
- Гормональная. Было проведено ряд исследований, в которых установлено, что у больных женщин повышается продукция фолликулостимулирующего гормона и понижается лютеинизирующего. Это приводит к росту концентрации эстрогенов в организме пациентки.
- Влияние эпидермального фактора роста. Установлено, что при миоме матки значительно повышается его продукция железистыми клетками, которые находятся в эндометрии. Это способствует активному разрастанию гладкомышечных волокон.
- Гиперпластическая гипотеза. Ряд исследователей рассматривают заболевание как гиперплазию мышечных волокон. Она возникает под воздействием нарушения кровоснабжения органа или агрессивных факторов внешней среды и вредных привычек женщины.
Также ведутся дискуссии касательно того, каким образом сопутствующие заболевания (например, киста яичников, эндометриоз, аденомиоз или перенесенный рак шейки матки) могут стать независимой причиной обнаружения многоузловой миомы на УЗИ.
Беременность
Миома шейки матки при беременности одна из нелегких проблем в акушерско-гинекологической практике. Решение данной проблемы в основном зависит от того на каком этапе была диагностирована миома шейки матки. Возникновение миоматозных узлов возможно в любом периоде беременности. Это возможно при воздействии провоцирующих факторов. Нередко именно миома в шейке матки является причиной бесплодия. Такой вариант возможен при наличии миоматозных узлов больших размеров. Но все же, если беременность наступила, то это может говорить о наличии узлов небольших размеров. Такие узлы часто впервые диагностируются у беременной женщины при первом плановом УЗИ исследовании. Как правило, миома таких размеров никоим образом не влияет на протекание беременности. После подтверждения диагноза «миома в шейке матки» и беременность, пациентка предупреждается о всевозможных осложнениях, контроль за такими пациентками более тщательный.
Следующим вариантом соотношений между «миома на шейке матки и беременность», является истмико-цервикальная недостаточность.
Данная патология возникает в результате того, что миоматозный узел увеличивается в размерах, тем самым препятствует смыканию стенок шейки. В свою очередь это приводит к самопроизвольному аборту либо преждевременным родам.
Наступление беременности в некоторых случаях возможно даже при миоматозных узлах больших размеров. Но в этом случае возникнет вопрос о сохранении беременности, так как при развитии беременности узлы оказывают давление на плод и это влечет за собой непоправимые последствия. Значительно снижаются шансы на наступление беременности в том случае, если у женщины помимо миомы шейки матки имеются другие сопутствующие заболевания. Либо при наличии миоматозных узлов различной локализации.
Разновидности миомы матки
Также выделяют 3 типа миомы матки в зависимости от ее типа роста:
- интрамуральная (опухоль растет в толщи гладкомышечных волокон стенки органа);
- субмукозная (рост происходит в полость матки, вплоть до ее полной обструкции);
- субсерозная (новообразование увеличивается и со временем выпирает в сторону брюшной полости).
Субсерозная миома также отличается цитологически. Ее часто называют фибромиомой, поскольку в ее составе находится большее число соединительных волокон. Однако благодаря этому ее рост происходит медленнее.
Миома может быть единичной, так и множественной. Описано случаи, когда у женщины во время УЗИ обнаруживали более 20 отдельных узлов.
Единичная миома: разновидности
Данную разновидность опухоли легко определить по наличию одного или двух узлов внутри или на поверхности матки. В зависимости от характера, природы и локализации определяются виды новообразования:
Разновидности лейомиом матки
- Узловая миома развивается без проявления симптомов на протяжении долгого времени и обнаруживается случайно при гинекологическом осмотре. Возникновение образования сопровождается болевыми ощущениями во время полового акта, обильными кровопотерями и нарушением функционирования репродуктивных органов пациентки.
- При интерстициальной миоме наблюдается поражение полости и шейки матки. Образование разрастается внутрь матки и брюшную полость, поражая слой миометрия. Встречаются множественные узлы. Женская болезнь этого типа чаще всего обнаруживается у пациенток, достигших тридцатипятилетнего возраста. Для ранних симптомов характерно возникновение воспалительных процессов в области малого таза и выделения слизистого вещества из детородного органа. Достигая десяти сантиметров, опухоль сдавливает внутренние близлежащие органы.
- При субмукозной разновидности отмечается стремительное развитие узла и острые болевые ощущения. Среди причин возникновения выделяют частые прерывания беременности, инфекционные заболевания репродуктивных органов и переизбыток гормона эстрогена.
- При субсерозном виде миомы не возникает трудностей диагностирования, так как узлы растут быстро и достигают больших размеров. Учащённое мочеиспускание, запоры и возникновение геморроя становятся поводом пройти гинекологическое обследование на наличие субсерозного узла. Патология уменьшается в размерах и рассасывается самопроизвольно во время наступления климакса. Чаще всего причиной заболевания является проведение абортов самостоятельно.
- При интралигаментарной миоме возникают серьёзные нарушения в анатомическом строении внутренних органов малого таза. Во время менструального цикла не наблюдается сбоев или обильного кровотечения, но эта разновидность опухоли приводит к осложнениям во время беременности.
- Неуточнённая лейомиома возникает в результате позднего наступления репродуктивного периода женщины, механического и химического воздействия на репродуктивные органы и гормонального дисбаланса.
- Шеечная опухоль локализуется в мышечном слое шейки матки. Сложно предугадать развитие растущей миомы и скорость увеличения в размерах. Болевые ощущения распространяются не только на полость матки, но и на область яичников, поясницы и детородных органов. Шеечная патология опасна тем, что деформирует полость и шейку матки, тем самым прерывая беременность на ранних стадиях и вызывая бесплодие. Выявить данное заболевание возможно на поздних стадиях, применяя гинекологический осмотр. Если маточная опухоль представляет опасность для жизни пациентки, шейку матки удаляют вместе с опухолью.
Как часто проводят УЗИ при миоме
Когда лучше делать УЗИ при миоме матки? Ультразвуковое исследование используется не только для диагностики, но и для контроля роста и развития новообразования. Современные рекомендации советуют проводить УЗИ матки у таких пациенток не реже 1 раза в год. Это позволит своевременно обнаружить женщин, которым требуется плановое хирургическое вмешательство:
- большие размеры опухоли, которые превышают размер плода на 14 недели беременности;
- быстрый рост новообразования (более 2 см в поперечном размере);
- распространение опухоли на шейку матки;
- перекрытие процессов более половины просвета органа;
- развитие реактивного воспаления в окружающих тканях.
Нередко отмечается длительная стабилизация или даже регресс размеров опухоли. Наиболее часто это происходит у пациенток старше 75 лет.
В послеоперационном периоде также необходим контроль состояния пациентки, чтобы избежать раннего рецидивирования опухоли. Поэтому всем делается УЗИ-контроль через 3, 6 и 12 месяцев после осмотра у гинеколога, который проводил вмешательство.
Медикаментозное лечение
Консервативная терапия уместна в случаях, когда опухоль не прогрессирует, имеет маленькие размеры, не приносит дискомфорта пациентке. Как правило, медикаментозное лечение назначается при интерстициальной и субсерозной миоме. Суть терапии – прием гормональных препаратов для уменьшения размеров опухоли. Для этого назначаются такие медикаменты:
- Антиэстрогены, к группе относится Тамоксифен;
- Гестаген;
- Даназол – антагонисты гонадотропинов;
- Оральные контрацептивы;
- Бусерелин.
Действие лекарственных средств основано на вызове искусственного климакса. Принимаются препараты дозированно, не больше 3-6 месяцев. После истечения указанного времени женщина должна сделать небольшой перерыв и повторить терапию. К дополнительному лечению относится установка спирали Мирена.
Большую миому нужно лечить только хирургическим путем. Для этого существует несколько современных методов, которые будут рассмотрены ниже.
Как выглядит миома матки на снимке УЗИ
Ультразвуковую диагностику проводят как в амбулаторных, так и в стационарных условиях. Перед ее началом пациентка должна в течение 6 часов удержаться от приема пищи, чтобы повысить информативность обследования.
В назначенное время женщина приходит на исследование, снимает верхнюю одежду и ложится на кушетку на спину, оголяя при этом живот. На кожу наносится специальный гель, который повышает проходимость для ультразвуковых волн. Врач ставит датчик над лобковой костью и наклоняет его немного вниз.
Во время обследования специалист обращает внимание на эхопризнаки миомы матки – локальное уплотнение стенки. Структура опухоли несколько отличается от остального миометрия. Внешний край остается четким, он может выпирать как в просвет матки, так и в брюшную полость. Эхогенность новообразования умеренно сниженная. Пример можно увидеть на следующем фото.
Дополнительную информацию можно получить при проведении УЗИ трансвагинально. При этом датчик вводится через влагалище и шейку матки непосредственно в полость органа. Это позволяет более тщательно обследовать структуру опухоли, а также определить характер ее роста.
В сомнительных случаях это также дает возможность проведения биопсии увеличенного узла, чтобы отправить образец ткани на цитологическое исследование. Этим можно полностью исключить злокачественность процесса. Этот метод диагностики проводят в специализированных клиниках перед оперативным вмешательством.
Лечение
Лечение миомы шейки матки может проводиться разными методами, которые зависят от точной локализации патологии, размера новообразования, возраста пациентки и ее общего состояния здоровья. При больших размерах миомы пациентке могут назначить терапию посредством хирургического вмешательства. Если узловые образования в области шейки матки имеют допустимые размеры, возможно назначение приема специальных препаратов и гомеопатии. Также в качестве дополнения к основному лечению возможно назначение фитотерапии и других альтернативных методов, в том числе и средств народной медицины.
Несмотря на допустимость народного лечения, проводить его самостоятельно не рекомендуется, все мероприятия должны быть назначены только доктором.
Хирургическое лечение
Оперативное вмешательство наиболее эффективный метод лечения миомы шейки матки. Ранее хирургическое лечение миомы предполагало удаление вместе с миомой детородного органа, но современные методы более щадящие, и после терапии, при желании, женщина сможет зачать, выносить и родить полностью здорового малыша. Удаление миомы может быть выполнено следующими способами:
- гистерэктомия — удаление узла, выполняемое через влагалище;
- лапаротомия — операция, в ходе которой делается разрез брюшной стенки (проводится под общим наркозом);
- лапароскопия — малоинвазивное хирургическое вмешательство выполняемое через три небольших отверстия;
- ФУЗ-абляция — проводится нагрев тканей опухоли, приводящий к разрушению ее клеток;
- эмболизация — закупорка сосудов, питающих опухоль, в ходе чего она становиться меньше и распадается.
Рекомендуем к прочтению Синдром Иценко Кушинга — симптомы у женщин, лечение, причины
Лапароскопия, эмболизация и ФУЗ-абляция являются щадящими методами терапии. После проведения операции по удалению миомы у пациентки полностью сохраняются репродуктивные функции и возможность рожать детей.
В крайне тяжелом случае может быть назначена операция по удалению матки, после чего пациентка потеряет возможность забеременеть. Но такая радикальная операция обычно проводится только у тех женщин, которые не планируют в будущем рожать детей или у пациенток после наступления климакса.
Медикаментозное лечение
Консервативные методы терапии рационально применять в случаях, когда миома имеет небольшие размеры, не прогрессирует и не вызывает дискомфорт у больной. Чаще лечение лекарственными средствами применяется при субсерозных и интерстициальных миомах. Принцип такого лечения заключается в приеме гормональных средств, уменьшающих размер образования.
К таким лекарствам относятся следующие:
- антиэстрогены;
- оральные контрацептивы;
- бусерелин;
- гестаген;
- даназол.
Принцип действия гормональных препаратов заключается в вызове искусственного климакса. Прием лекарств осуществляется дозировано на протяжении от трех месяцев до полугода. В конце курса пациентка должна на некоторое время прекратить прием препаратов. А потом повторить терапевтический курс. Также в качестве дополнительного способа лечения возможна установка гормональной внутриматочной спирали «Мирена».
Гомеопатия
Курс гомеопатии необходим для устранения клинической симптоматики и остановки развития миомы, а также может назначаться для профилактики возможных рецидивов. Терапия заключается в приеме на протяжении нескольких месяцев монопрепаратов, которые улучшают функционирование щитовидной железы и яичников, нормализуют гормональный фон и уменьшаю избыток веса.
К группе этих препаратов относятся:
- Фосфор;
- Сицилия;
- Сабина;
- Кониум;
- Туя;
- Альбус ляпис;
- Игнация;
- Устилаго.
Прием препаратов должен выполняться со строгим соблюдением всех назначений и рекомендаций лечащего доктора. Также во время лечения категорически запрещается употреблять спиртные напитки, чай и мяту.
Народные методы
Применение народных способов терапии рационально только в тех случаях, когда она проводится в качестве дополнения к основному лечению, которое назначил гинеколог. К наиболее популярным народным средствам лечения можно отнести:
- Терапия перекисью — необходимо ежедневно использовать тампоны, предварительно пропитанные перекисью. Такой способ лечения способствует более быстрому рассасыванию опухоли, но передозировка высококонцентрированной перекисью может привести к ожогу слизистой оболочки влагалища и шейки матки, поэтому все действия нужно строго согласовывать с доктором.
- Апитерапия — заключается в использовании пчеловодческой продукции, например, прополиса или меда.
- Фитолечение — использование специального лекарственного сырья на растительной основе.
- Йодотерапия — так же, как и в случае с перекисью, применение выполнятся только с использованием тампонов и очень бережно.
Самостоятельные попытки лечения в домашних условиях могут привести к осложнениям и серьезным последствиям. Важно предварительно согласовать все действия с врачом.

















